医影在线

标题: CT26852:胸部ct。体检发现。 [打印本页]

作者: xupengjie    时间: 2010-6-3 17:26
标题: CT26852:胸部ct。体检发现。
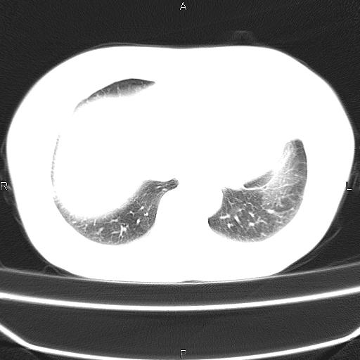
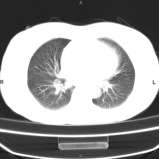
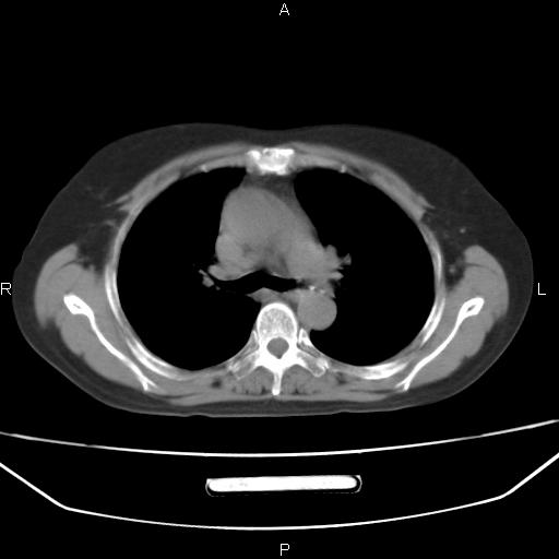
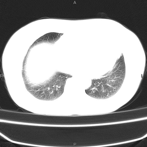
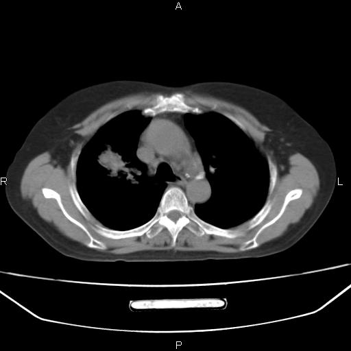
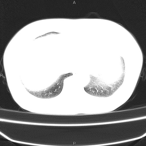
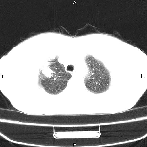
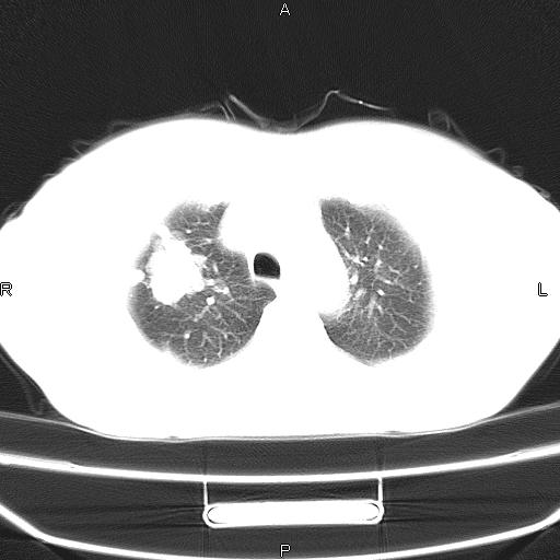
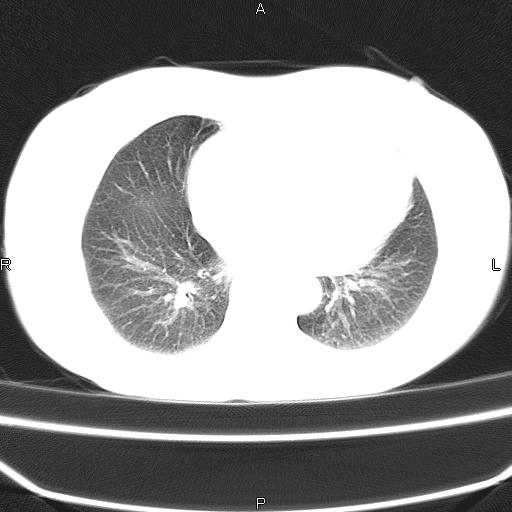
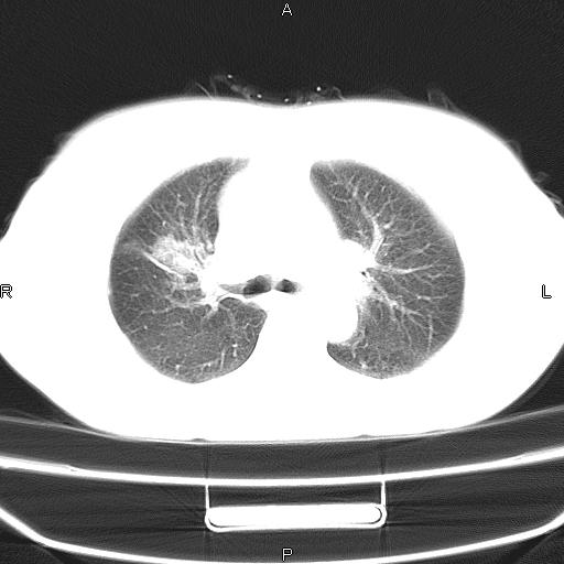
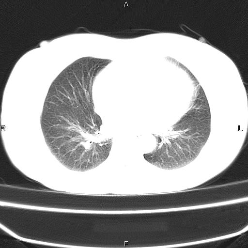
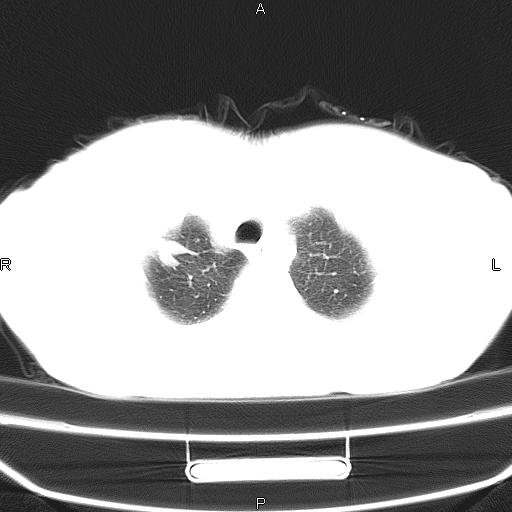
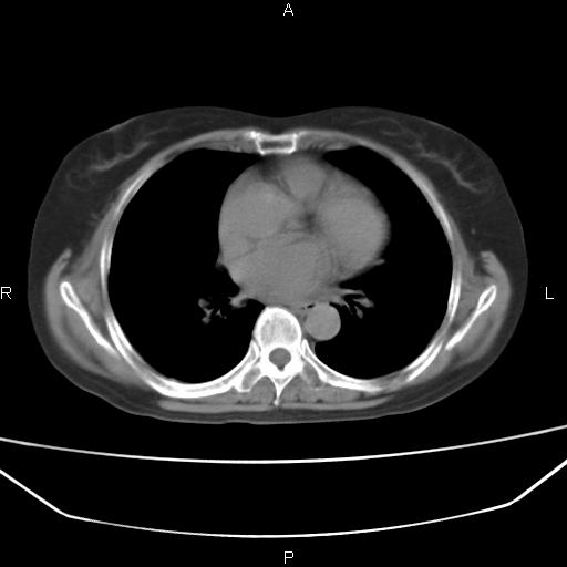
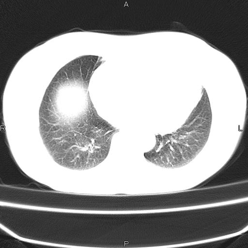
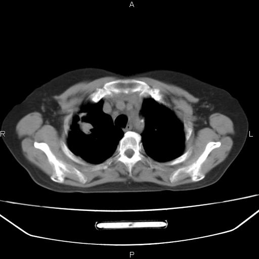
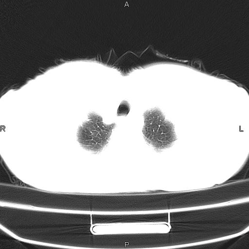
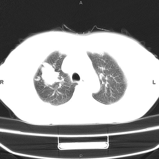
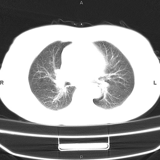
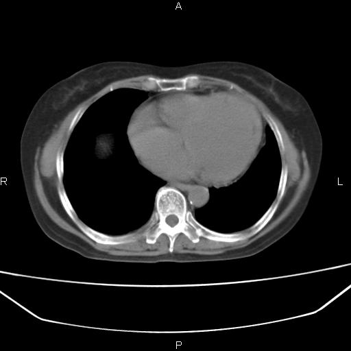
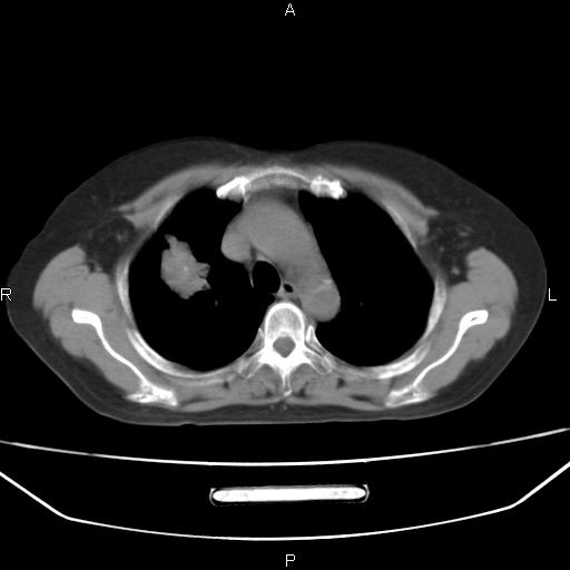
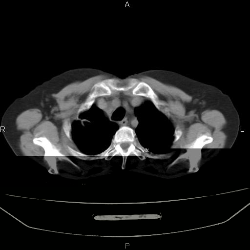
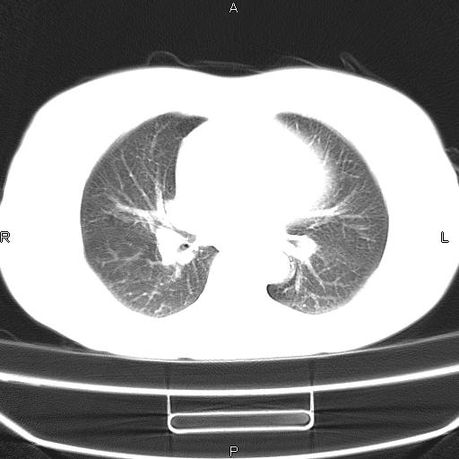
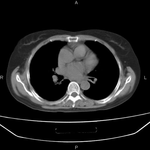
患者,女,66岁。健康体检胸部透视发现右上肺片状阴影。既往无不适,患者自诉三个月前曾有低热病史体温37.5左右一周。用药后缓解。至今无其它不适。请老师们指导指导。








































[本贴已被 jiajie 于 2010-6-3 22:06:02 修改过]

作者: dyqct    时间: 2010-6-3 17:32
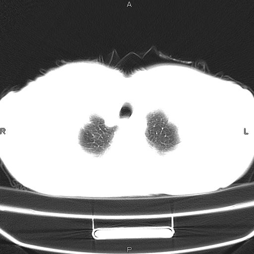
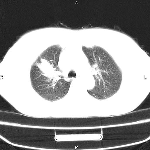
考虑:右肺上叶周围型肺癌(分叶状肿块+砂粒状钙化+胸膜尾征)。
作者: xwm9909    时间: 2010-6-3 17:35
病灶见明显分叶、大小较大(大于3cm?),老年人,多考虑:肺癌,建议穿刺活检。
作者: zxl51642    时间: 2010-6-3 18:25
病灶见明显分叶、大小较大(大于3cm?),老年人,多考虑:肺癌,建议穿刺活检。
作者: zsl6918    时间: 2010-6-3 20:04
典型的中心型肺癌,尖段支气管阻塞。
作者: Lao-Xray    时间: 2010-6-3 20:12
标题: 回复:胸部ct。体检发现。
以下是引用dyqct在2010-6-3 9:32:00的发言:[br]考虑:右肺上叶周围型肺癌(分叶状肿块+砂粒状钙化+胸膜尾征)。

不像中央型啊
作者: LIAOQIANG    时间: 2010-6-3 20:57
结合病史不除外感染性病灶。
作者: lirenxiong    时间: 2010-6-3 21:38
周围性肺癌,
作者: TFQ6909    时间: 2010-6-3 21:41
周围性肺癌,
作者: lyb999    时间: 2010-6-3 22:28
周围性肺癌
作者: 施明    时间: 2010-6-3 22:29

作者: shibing    时间: 2010-6-3 23:05
周围性肺癌
作者: yyb38    时间: 2010-6-3 23:31
周围性肺癌可能性大,建议增强
作者: 卜一    时间: 2010-6-3 23:32
周围性肺癌!
作者: shuiyuan    时间: 2010-6-3 23:46
周围性肺癌可能性大,建议增强
作者: HG-XXF    时间: 2010-6-4 01:45
支持肺癌。
作者: 随光逐影    时间: 2010-6-4 01:54
右肺上叶周围型肺癌可能性大。
作者: dhlyq    时间: 2010-6-4 03:57
考虑:右肺上叶周围型肺癌




欢迎光临 医影在线 (http://bbs.radida.com/bbs/) Powered by Discuz! X3.2