医影在线

标题: CT26857:女,60岁,胃部不适前来就诊,不咳嗽,乏力,胸椎 [打印本页]

作者: sdzyy    时间: 2010-6-3 18:52
标题: CT26857:女,60岁,胃部不适前来就诊,不咳嗽,乏力,胸椎
[face=宋体][/face]





















[本贴已被 jiajie 于 2010-6-3 22:08:11 修改过]

作者: zsl6918    时间: 2010-6-3 20:01
先强化再说吧
作者: LIAOQIANG    时间: 2010-6-3 20:42
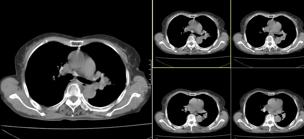
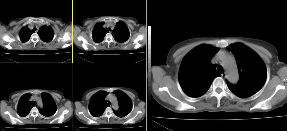
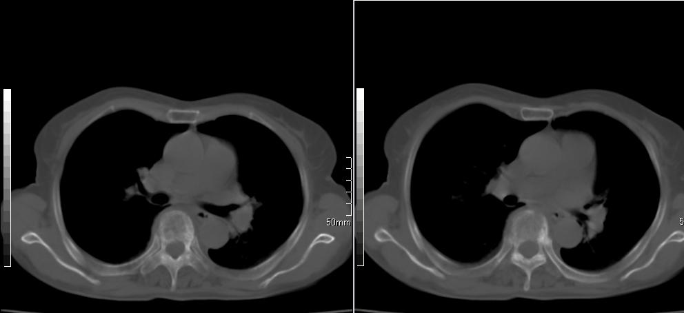
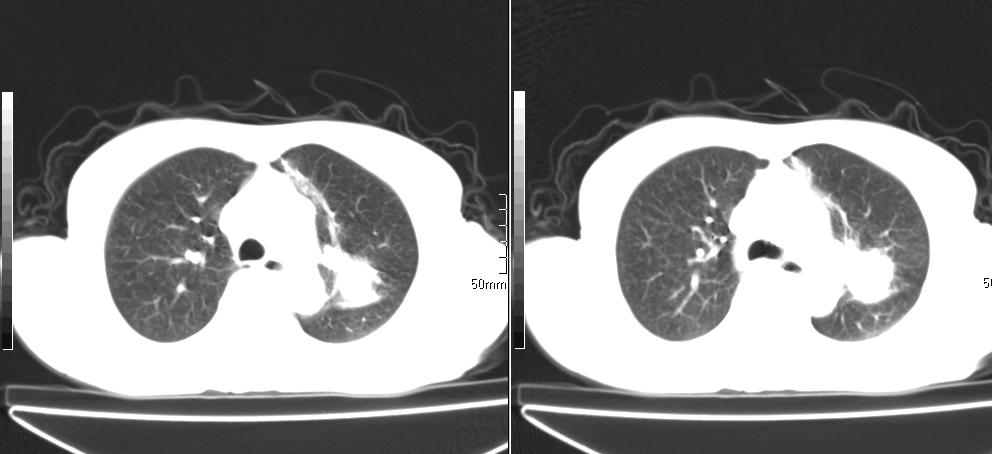
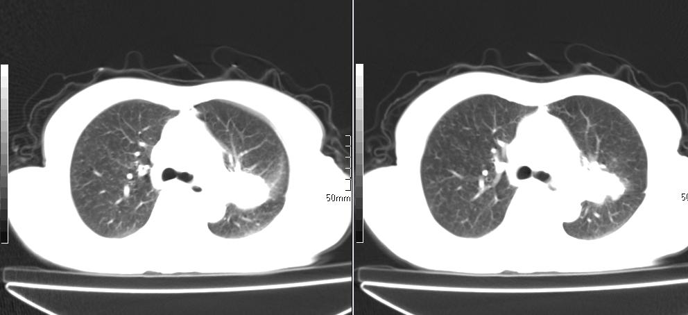
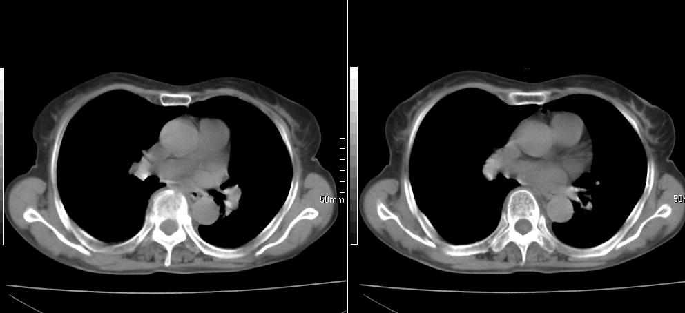
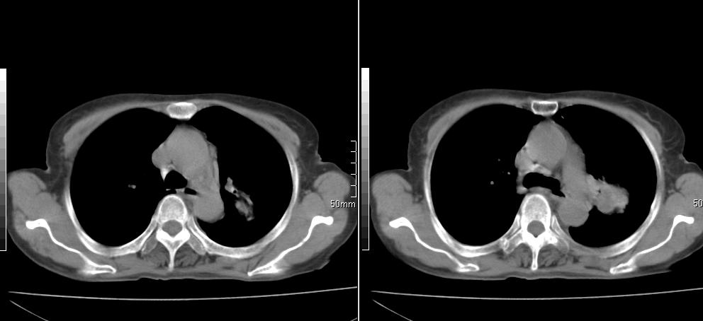
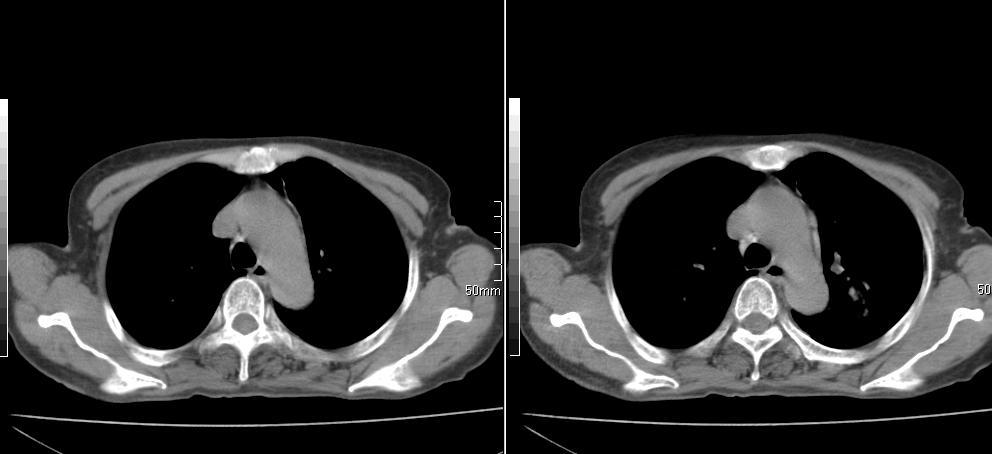
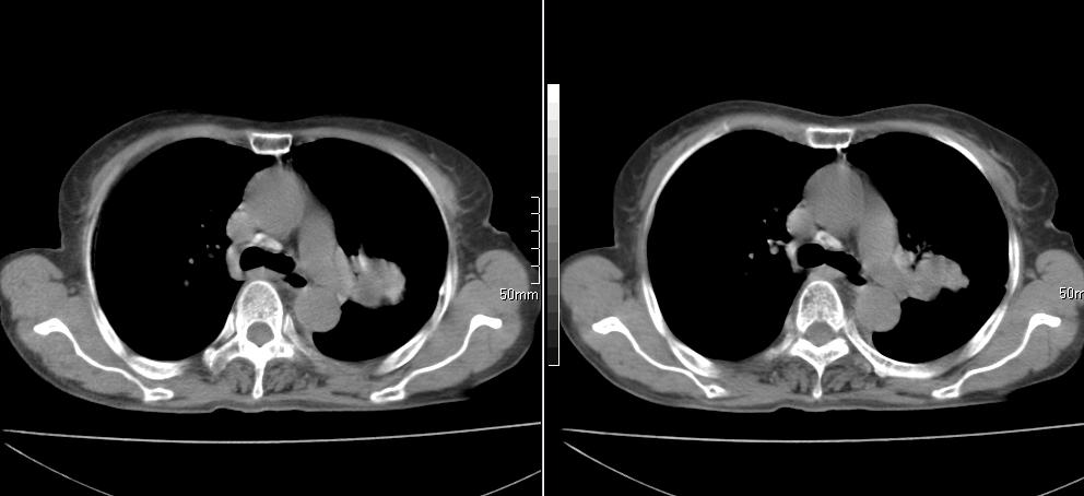
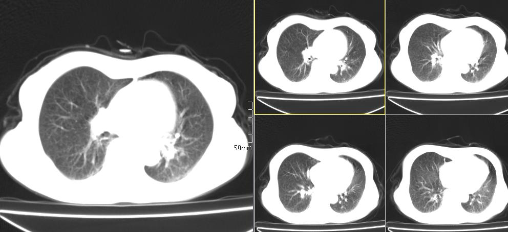
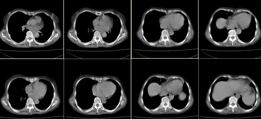
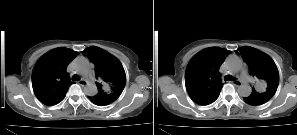
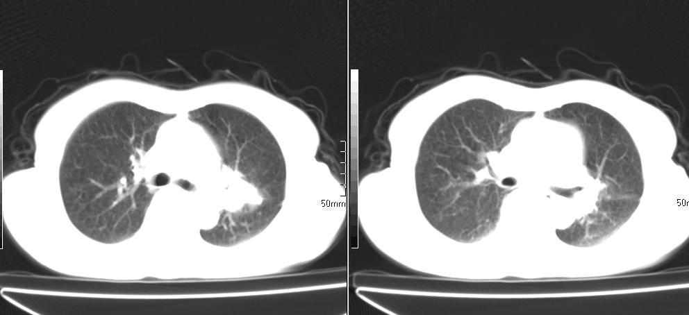
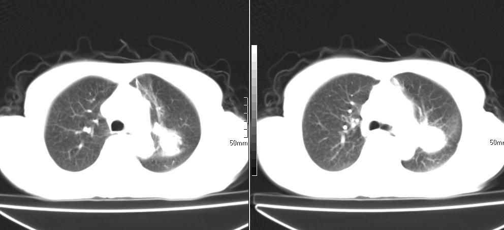
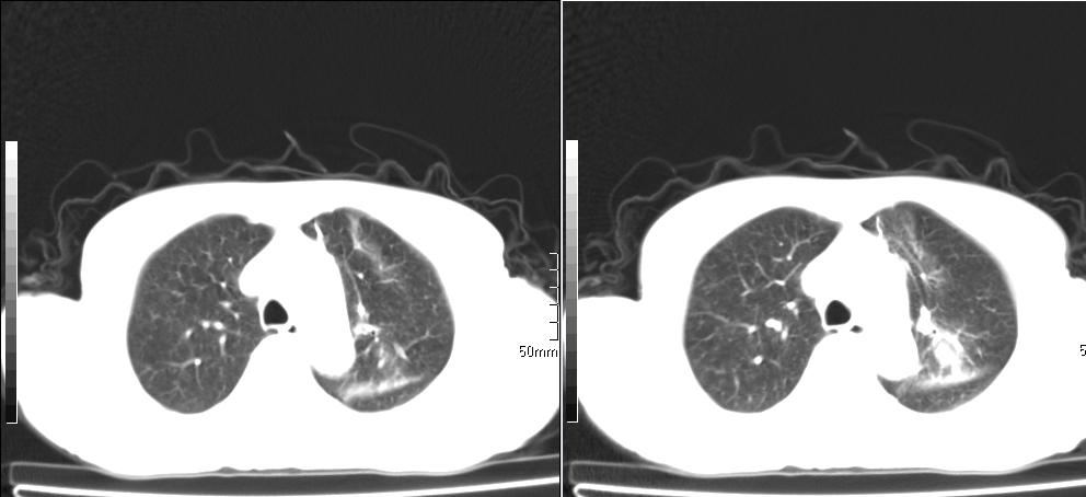
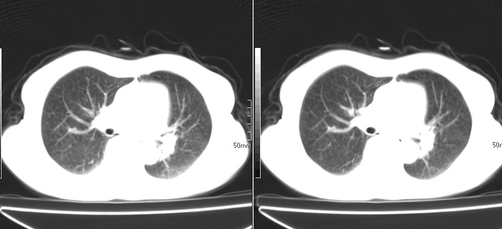
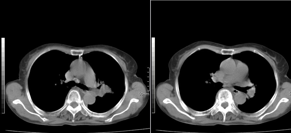
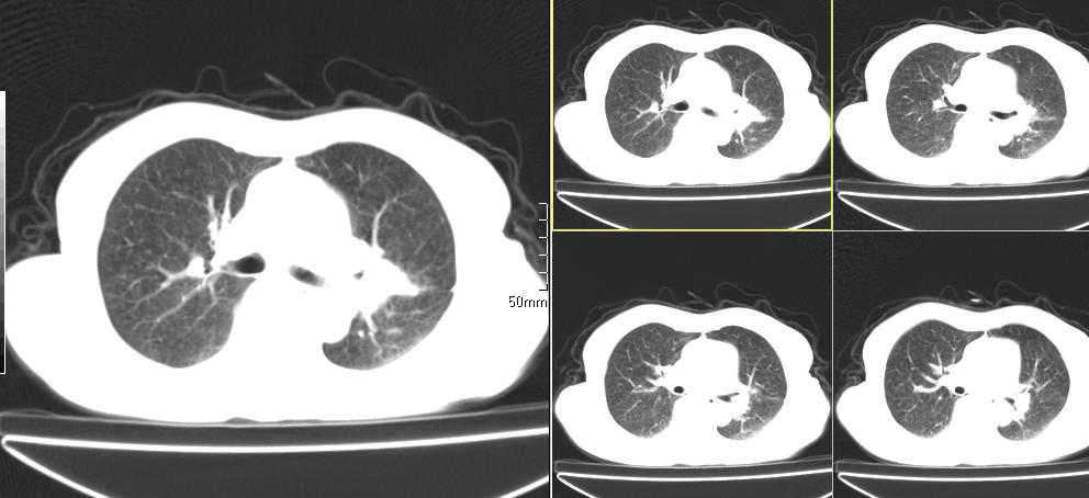
1、胸椎有骨质破坏伴周软组织,考虑胸椎转移。2、考虑左肺上叶尖后段支气管开口区周围型肺癌可能。
作者: lirenxiong    时间: 2010-6-3 21:19
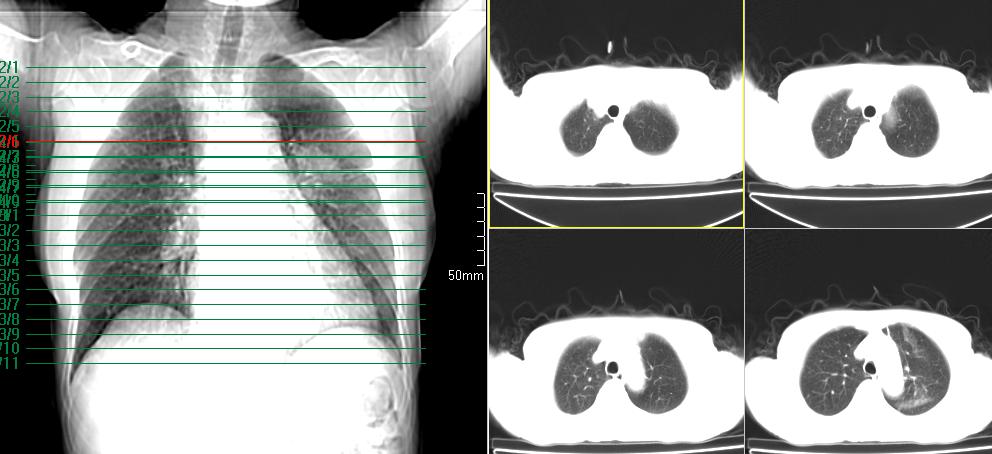
中央肺癌
作者: 施明    时间: 2010-6-3 22:37

作者: 卜一    时间: 2010-6-3 23:27
1、胸椎有骨质破坏伴周软组织,考虑胸椎转移。2、考虑左肺上叶尖后段支气管开口区周围型肺癌可能。建议行纤支镜检查!
作者: shuiyuan    时间: 2010-6-3 23:53
1、胸椎有骨质破坏伴周软组织,考虑胸椎转移。2、考虑左肺中央型肺癌可能。
作者: shibing    时间: 2010-6-4 00:08
1、胸椎有骨质破坏伴周软组织,考虑胸椎转移。2、考虑左肺中央型肺癌可能。
作者: 大漠胡杨林    时间: 2010-6-4 00:23
椎体有高密度影,多系转移。
作者: dyqct    时间: 2010-6-4 00:33
标题: 回复:女,60岁,胃部不适前来就诊,不咳嗽,乏力,胸椎
以下是引用卜一在2010-6-3 15:27:00的发言:[br]1、胸椎有骨质破坏伴周软组织,考虑胸椎转移。2、考虑左肺上叶尖后段支气管开口区周围型肺癌可能。建议行纤支镜检查!

作者: HG-XXF    时间: 2010-6-4 01:12
支持中央型肺癌,胸椎转移。
作者: 随光逐影    时间: 2010-6-4 02:26
1)考虑左肺中央型肺癌。2)胸椎转移瘤不排除;建议行mri检查。
作者: dhlyq    时间: 2010-6-4 02:55
1)考虑左肺中央型肺癌。2)胸椎转移瘤不排除;建议行mri检查。
作者: ct诊断高手    时间: 2010-6-4 09:03
标题: 回复:ct26857:女,60岁,胃部不适前来就诊,不咳嗽,乏力
以下是引用卜一在2010-6-3 15:27:00的发言:[br]1、胸椎有骨质破坏伴周软组织,考虑胸椎转移。2、考虑左肺上叶尖后段支气管开口区周围型肺癌可能。建议行纤支镜检查!

作者: zxl51642    时间: 2010-6-4 23:39
左肺中央型肺癌,胸椎大致正常,必要时ect扫描




欢迎光临 医影在线 (http://bbs.radida.com/bbs/) Powered by Discuz! X3.2