


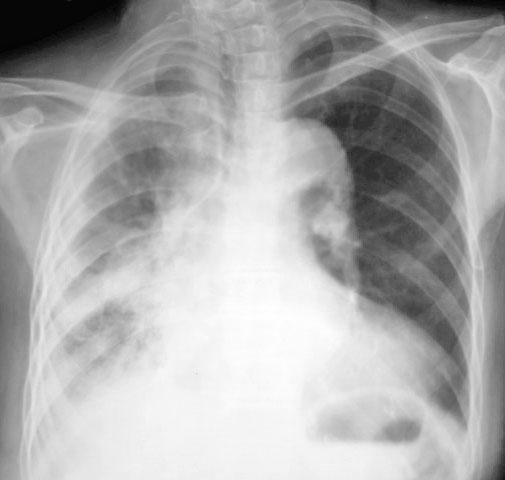
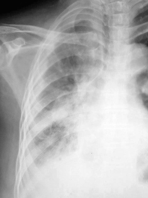
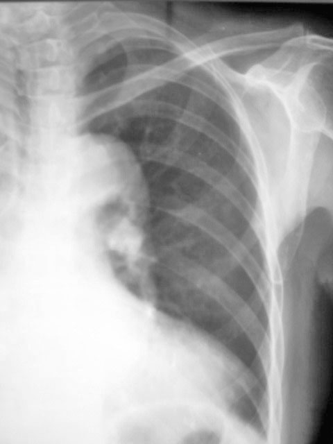
以下是引用马铃薯在2010-6-3 20:49:00的发言:[br]右侧肺门旁见1卵圆形团块样影,肺门结构不清,考虑右肺门旁肿块。右下肺感染。建议ct检查明确一下。[br]右侧胸膜炎。不排除胸膜转移。[br]心影增大。
以下是引用影像之剑在2010-6-3 22:56:00的发言:[br]右侧胸廓塌陷,胸膜增厚。右侧肺野透光度减低,右肺门影增大,似可见模糊块影。右膈面不清,右肋膈角消失。左肺透光度增高,肺内未见明显实质性病变。心影主动脉弓部突出,肺动脉段凹陷,左心缘向左下扩大。左膈清。[br][br]考虑右侧胸膜增厚,胸腔积液,右肺膨胀不全。右肺门模糊块影,建议ct。左肺代偿性气肿。主动脉型心。
以下是引用吴医师在2010-6-3 23:59:00的发言:[br]请与老片对比。如大致相同,考虑胸膜肥厚。如有明显不同,请ct检查。
以下是引用影像之剑在2010-6-3 22:56:00的发言:[br]右侧胸廓塌陷,胸膜增厚。右侧肺野透光度减低,右肺门影增大,似可见模糊块影。右膈面不清,右肋膈角消失。左肺透光度增高,肺内未见明显实质性病变。心影主动脉弓部突出,肺动脉段凹陷,左心缘向左下扩大。左膈清。[br][br]考虑右侧胸膜增厚,胸腔积液,右肺膨胀不全。右肺门模糊块影,建议ct。左肺代偿性气肿。主动脉型心。
以下是引用吴医师在2010-6-3 23:59:00的发言:[br]请与老片对比。如大致相同,考虑胸膜肥厚。如有明显不同,请ct检查。
| 欢迎光临 医影在线 (http://bbs.radida.com/bbs/) | Powered by Discuz! X3.2 |