医影在线

标题: CT27010:男 70岁 左胸廓塌陷,肺TB [打印本页]

作者: shunbuer    时间: 2010-6-10 02:21
标题: CT27010:男 70岁 左胸廓塌陷,肺TB
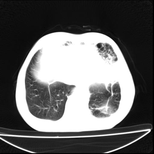
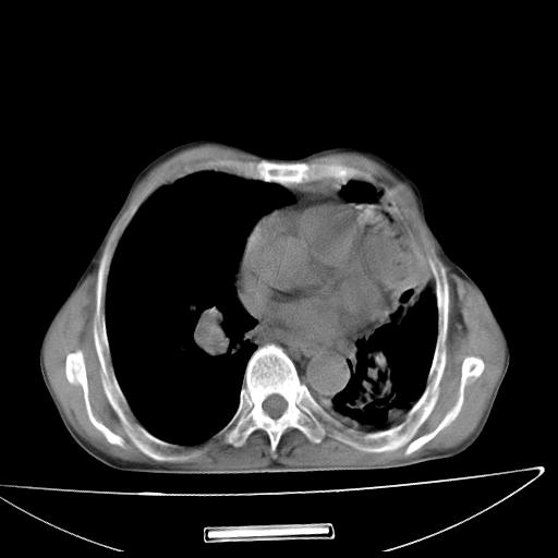
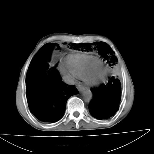
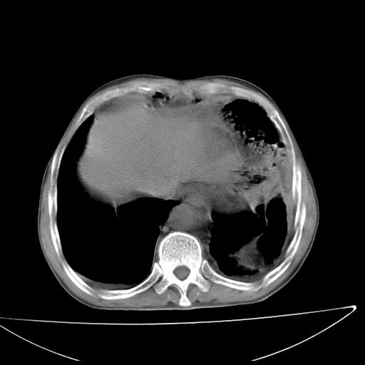
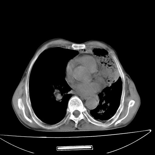
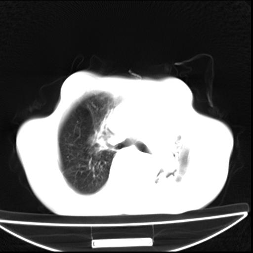
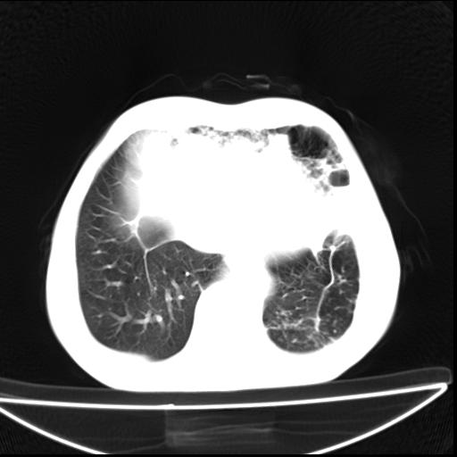
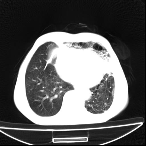
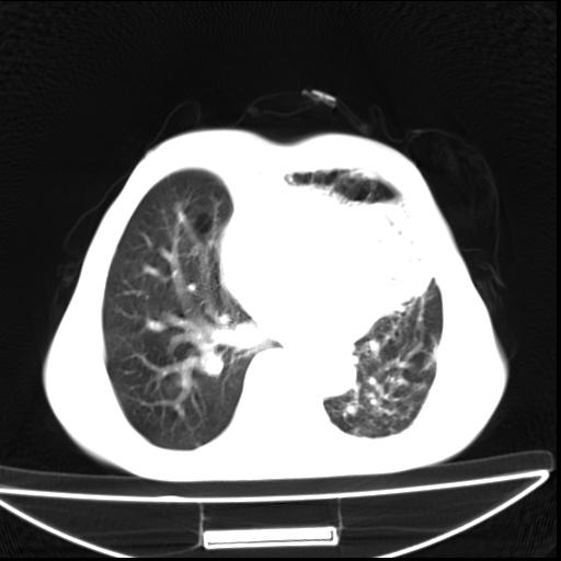
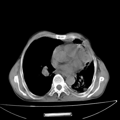
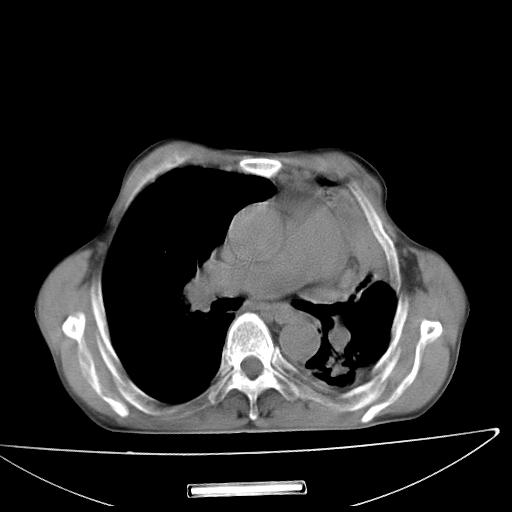
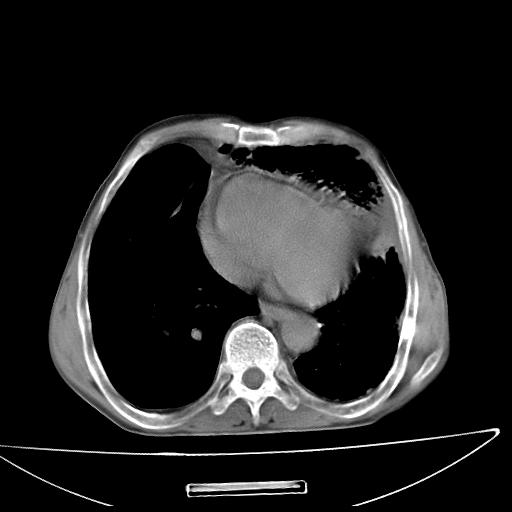
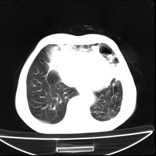
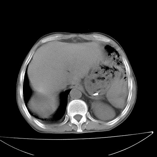
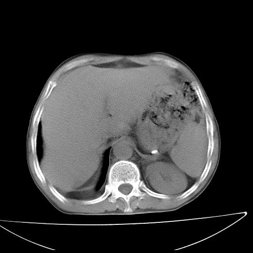
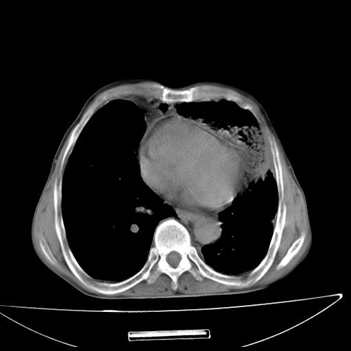
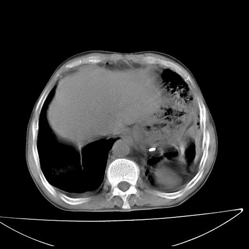
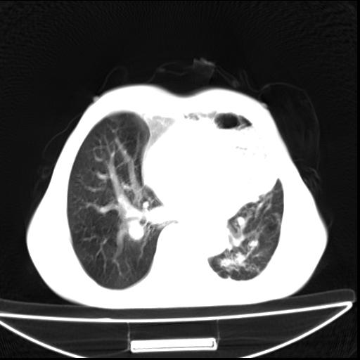
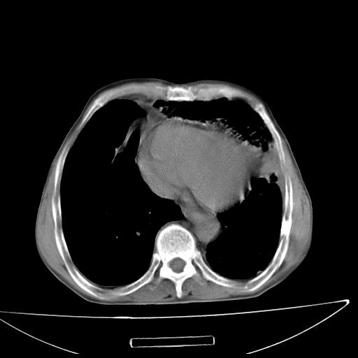
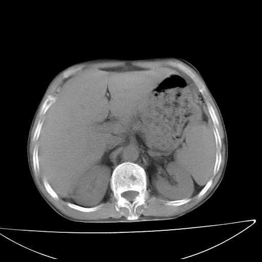
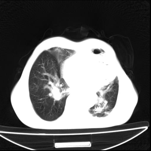
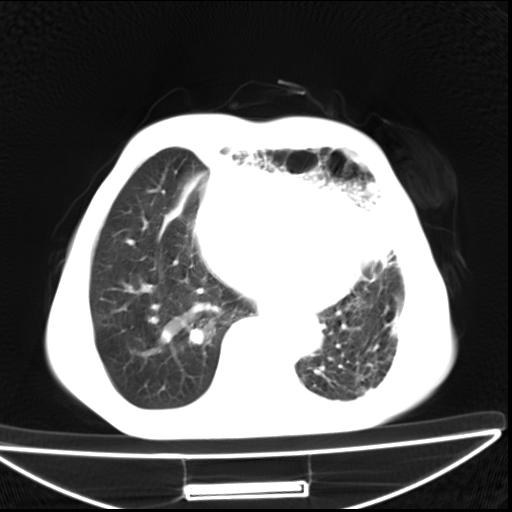
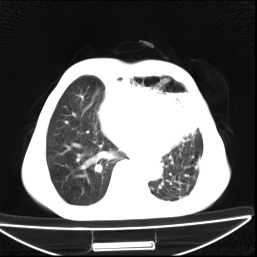
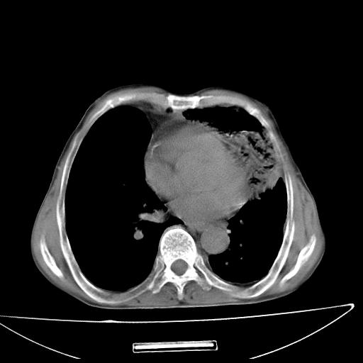
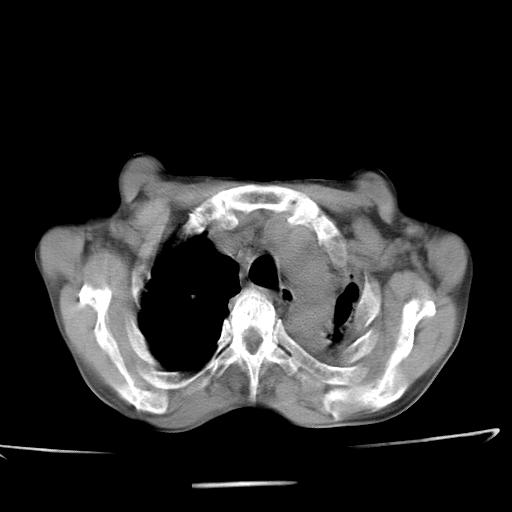
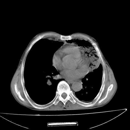
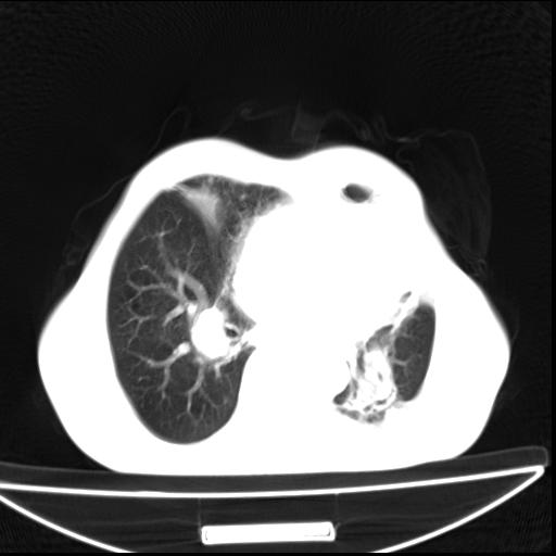
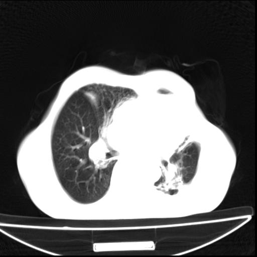
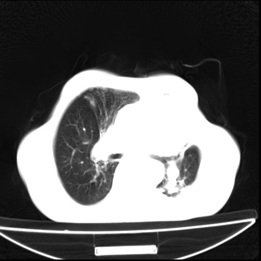
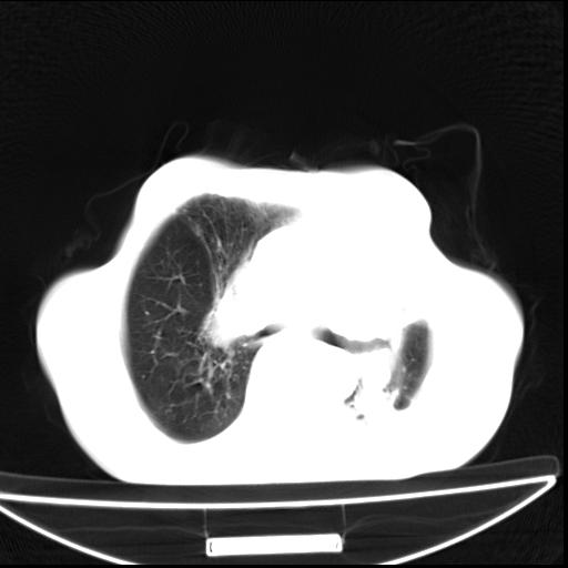
男  70岁,发烧咳嗽4天。盗汗,消瘦。无痰中带血丝,以前有肺tb病史,ct见,双肺tb,左侧胸廓塌陷,左胸膜肥厚粘连。纵隔移位,右侧胸腔积液,大家说说那个心影前左肺舌叶除了肺大炮还有炎症还是干酪性肺炎?有占位吗?我看纵隔淋巴结也大。





[/url]










[url]












[/url]

















[url]











[本贴已被 jiajie 于 2010-6-9 21:28:59 修改过]

作者: HG-XXF    时间: 2010-6-10 03:19
是胃,纵膈未见明显肿大淋巴结。
作者: liangshusheng    时间: 2010-6-10 03:25
复合结核改变
作者: 卜一    时间: 2010-6-10 03:35
双肺继发性肺结核伴部分左肺毁损!
作者: ljj8935    时间: 2010-6-10 03:36
复合结核改变
作者: 随光逐影    时间: 2010-6-10 04:07
1)两肺继发性肺结核并左肺上叶肺不张,支气管扩张。2)双侧胸膜炎(胸膜增厚+少量胸腔积液)。
作者: 施明    时间: 2010-6-10 05:46
结核
作者: zxl51642    时间: 2010-6-10 07:41
标题: 回复:ct27010:男 70岁 左胸廓塌陷,肺tb
以下是引用随光逐影在2010-6-9 20:07:00的发言:[br]1)两肺继发性肺结核并左肺上叶肺不张,支气管扩张。2)双侧胸膜炎(胸膜增厚+少量胸腔积液)。

作者: xiongneo    时间: 2010-6-10 08:12
双肺继发性肺结核伴部分左肺毁损!
作者: ct诊断高手    时间: 2010-6-10 08:46
双肺继发性肺结核伴部分左肺毁损!
作者: linyiming    时间: 2010-6-10 11:04
两肺继发性肺结核并感染,左肺上叶肺不张。建议ct增强。
作者: yuhongjun    时间: 2010-6-10 13:56
双肺继发性肺结核伴部分左肺毁损!
作者: LIAOQIANG    时间: 2010-6-10 22:04
双肺继发性肺结核伴部分左肺毁损。




欢迎光临 医影在线 (http://bbs.radida.com/bbs/) Powered by Discuz! X3.2