医影在线
标题: CT27017:1、肺结核?2、永存左上腔静脉。 [打印本页]
作者: ayi 时间: 2010-6-10 04:02
标题: CT27017:1、肺结核?2、永存左上腔静脉。
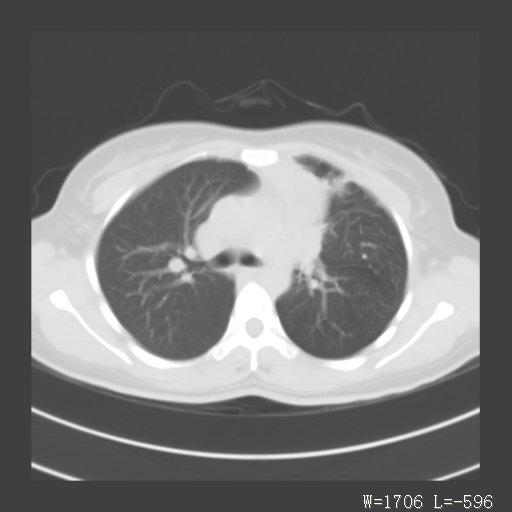
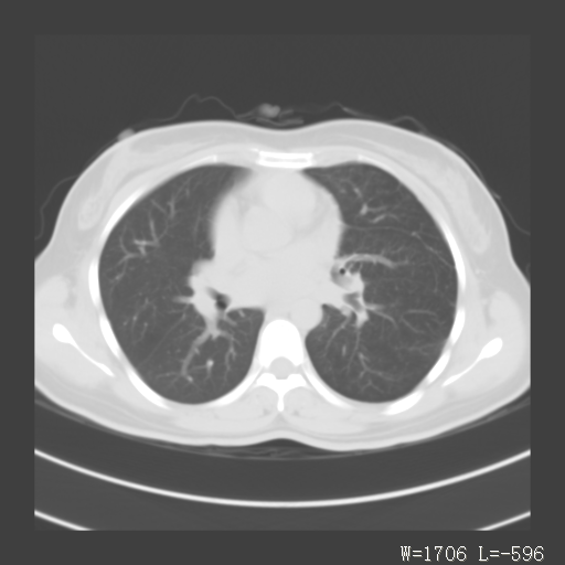
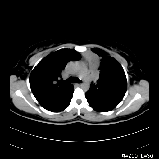
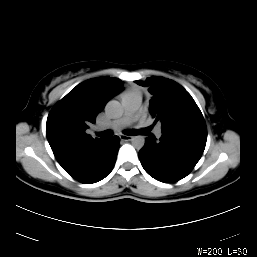
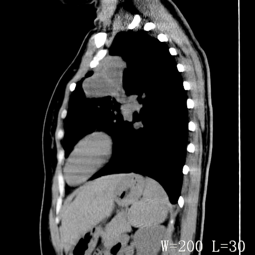
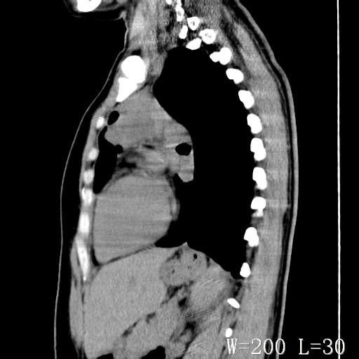
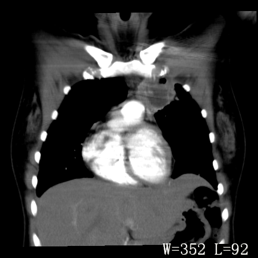
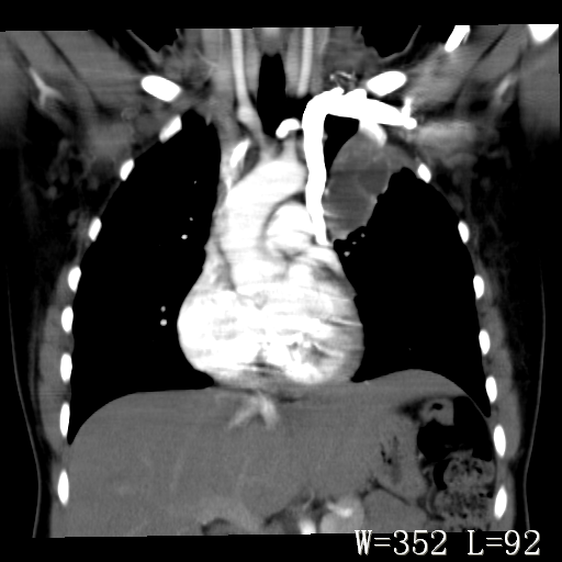
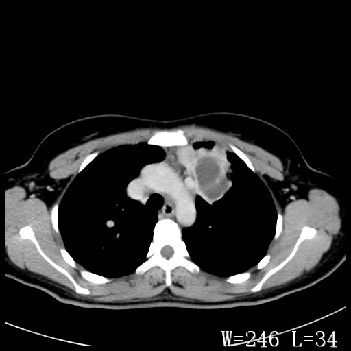
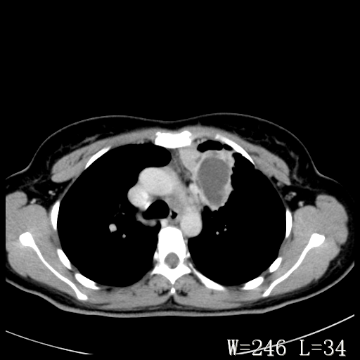
女,32岁,自述肺结核治疗多年复查。



































[本贴已被 ayi 于 2010-6-9 20:11:17 修改过]
[本贴已被 jiajie 于 2010-6-9 21:39:19 修改过]
作者: 随光逐影 时间: 2010-6-10 04:31
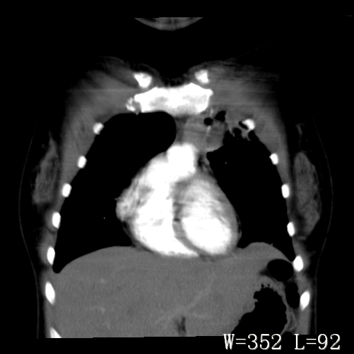
1)考虑左肺上叶肺脓肿,节段性肺不张。2)永存左上腔静脉。
作者: DDN 时间: 2010-6-10 04:54
1)考虑左肺上叶节段性肺不张。原因?2)永存左上腔静脉。
作者: HG-XXF 时间: 2010-6-10 05:15
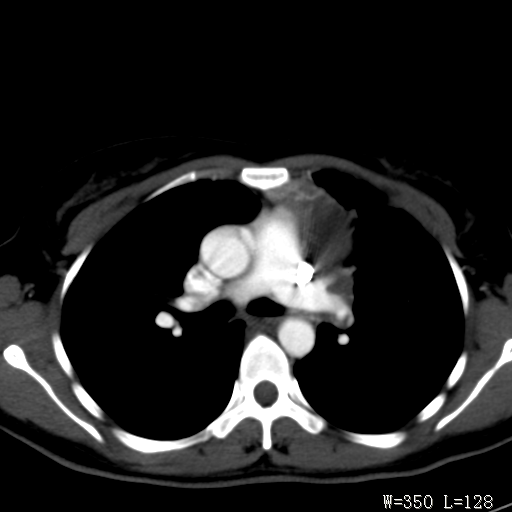
支持肺脓肿;还是双上腔静脉确切些吧,回流至冠状窦或右心房。
作者: linyiming 时间: 2010-6-10 05:19
考虑左肺上叶胸腺瘤可能性大。肺不张/永存左上腔静脉
作者: 37度 时间: 2010-6-10 05:39
标题: 回复:1、肺结核?2、永存左上腔静脉。
以下是引用随光逐影在2010-6-9 20:31:00的发言:[br]1)考虑左肺上叶肺脓肿,节段性肺不张。2)永存左上腔静脉。
作者: caobaoguo 时间: 2010-6-10 05:51
标题: 回复:ct27017:1、肺结核?2、永存左上腔静脉。
以下是引用linyiming在2010-6-9 21:19:00的发言:[br]考虑左肺上叶胸腺瘤可能性大。肺不张/永存左上腔静脉
作者: 施明 时间: 2010-6-10 06:10
炎症 永存。。。。
作者: zhangnianqiu200 时间: 2010-6-10 07:12
胸骨后偏左侧囊实性病灶,考虑胸腺瘤可能性大.
作者: xiongneo 时间: 2010-6-10 07:53
胸骨后偏左侧囊实性病灶,考虑胸腺瘤可能性大.
作者: zxl51642 时间: 2010-6-10 08:00
标题: 回复:ct27017:1、肺结核?2、永存左上腔静脉。
以下是引用随光逐影在2010-6-9 20:31:00的发言:[br]1)考虑左肺上叶肺脓肿,节段性肺不张。2)永存左上腔静脉。
作者: qingguang220 时间: 2010-6-10 15:49
标题: 回复:ct27017:1、肺结核?2、永存左上腔静脉。
以下是引用随光逐影在2010-6-9 20:31:00的发言:[br]1)考虑左肺上叶肺脓肿,节段性肺不张。2)永存左上腔静脉。
作者: 学者~『风 时间: 2010-6-10 16:50
1)考虑左肺上叶肺脓肿,节段性肺不张。2)永存左上腔静脉。
作者: muzi888 时间: 2010-6-10 19:04
以下是引用随光逐影在2010-6-9 20:31:00的发言:
1)考虑左肺上叶肺脓肿,节段性肺不张。2)永存左上腔静脉。
作者: LIAOQIANG 时间: 2010-6-10 21:31
1、胸骨后偏左侧囊实性病灶,考虑胸腺瘤可能性大。2、永存左上腔静脉。
| 欢迎光临 医影在线 (http://bbs.radida.com/bbs/) |
Powered by Discuz! X3.2 |