医影在线

标题: X7517:结核近10年 [打印本页]

作者: 07619    时间: 2010-6-12 03:53
标题: X7517:结核近10年
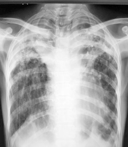
女.45.结核近10年.以结核性腹膜炎入院




[本贴已被 cefcmj 于 2010-6-11 21:50:48 修改过]

作者: zxl51642    时间: 2010-6-12 04:59
双肺继发性tb
作者: wangjie    时间: 2010-6-12 05:36
双肺继发型结核。
作者: 王宛龙    时间: 2010-6-12 07:24
慢纤空,没积液吧
作者: linyiming    时间: 2010-6-12 10:56
双肺继发型结核。
作者: 随光逐影    时间: 2010-6-12 15:19
两肺继发性肺结核。
作者: DDN    时间: 2010-6-12 16:25
两肺继发性肺结核。  支持!
作者: lingch    时间: 2010-6-12 17:30
两肺继发性肺结核。
作者: 拂晓    时间: 2010-6-12 17:40
标题: 回复:x7517:结核近10年
以下是引用zxl51642在2010-6-11 20:59:00的发言:[br]双肺继发性tb

作者: zhanggenliang    时间: 2010-6-14 04:33
双肺上叶可见云絮状密度增高影,密度不均,边缘不清。其中可见类圆形低密度影。右下肺纹理呈垂柳状,膈肌呈幕状,左侧肋膈角消失。支持双肺继发性结核
作者: zhanggenliang    时间: 2010-6-14 04:35
双肺上叶可见云絮状密度增高影,密度不均,边缘不清。其中可见类圆形低密度影。右下肺纹理呈垂柳状,膈肌呈幕状,左侧肋膈角消失。支持双肺继发性结核,空洞形成
作者: 拾荒者    时间: 2010-6-14 05:38
双上肺继发型肺结核。
作者: 吴医师    时间: 2010-6-14 06:25
两肺继发性肺结核。  支持!
作者: hexue    时间: 2010-6-14 07:42
双上肺继发型肺结核。
作者: dyqct    时间: 2010-6-15 01:14
双上肺继发型肺结核并胸膜帽。
作者: jiahui7z    时间: 2010-6-15 03:46
双肺继发型结核。
作者: ziyoufeixiang    时间: 2010-6-15 18:43
双肺继发型结核。
作者: yuhongjun    时间: 2010-6-15 23:48
两肺继发性肺结核。  支持!
作者: haihbc001    时间: 2010-6-16 01:05
支持双肺继发性肺tb。
作者: 37度    时间: 2010-6-16 02:22
继续发展就是典型的慢纤空。
作者: 五月的阳光    时间: 2010-6-16 05:29
支持双肺继发性肺tb。
作者: 圆圆    时间: 2010-6-16 18:04
结核。
作者: kerry999    时间: 2010-7-7 03:39
支持双肺双肺继发性tb




欢迎光临 医影在线 (http://bbs.radida.com/bbs/) Powered by Discuz! X3.2