医影在线

标题: CT27080:腹壁肿物? [打印本页]

作者: ayi    时间: 2010-6-14 05:14
标题: CT27080:腹壁肿物?
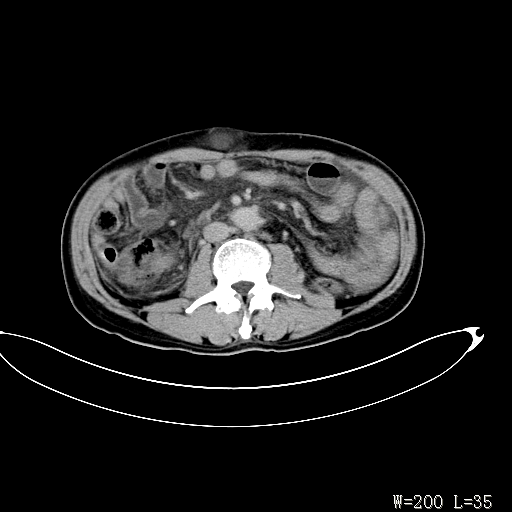
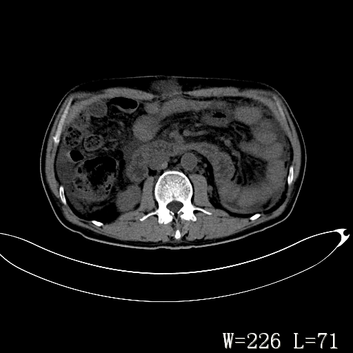
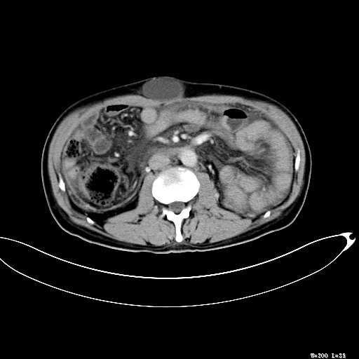
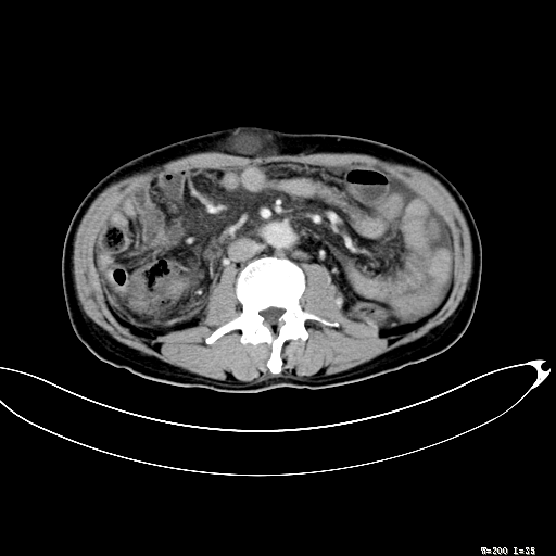
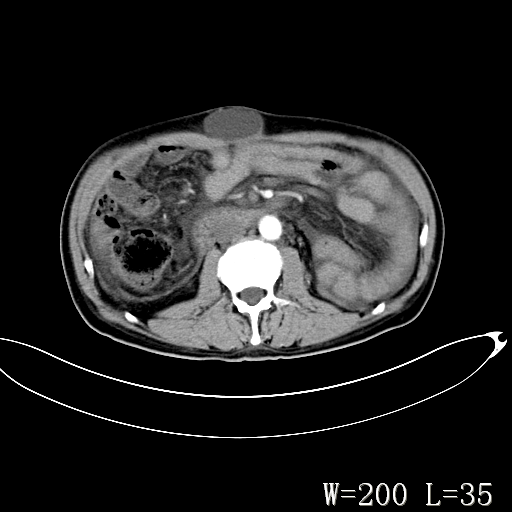
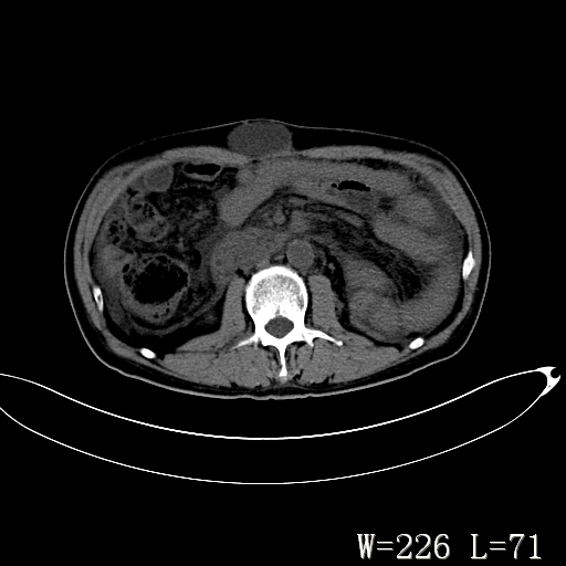
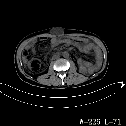
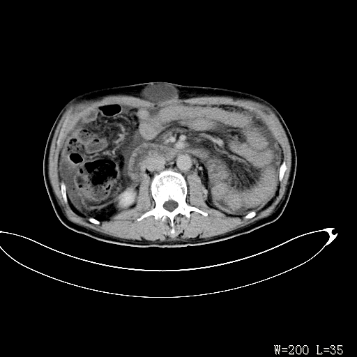
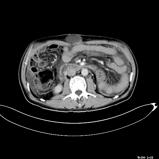
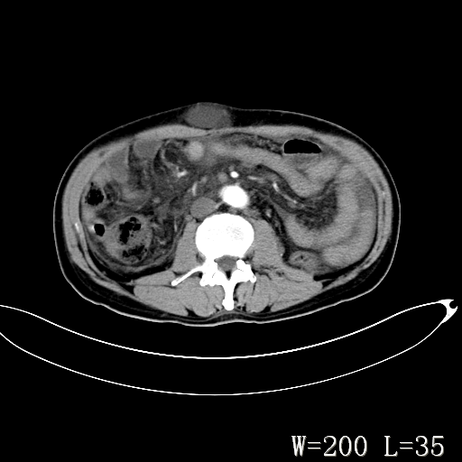
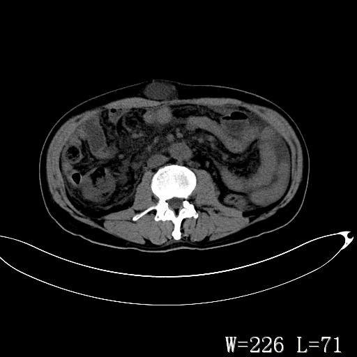
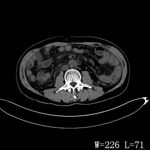
男,52岁,门脉高压断流术后1年,发现腹部肿物2月。






























[本贴已被 jiajie 于 2010-6-13 22:17:01 修改过]

作者: zxl51642    时间: 2010-6-14 05:20
可能与门脉高压断流术有关,淋巴液回流受阻,腹壁淋巴囊肿?
作者: 宝天曼    时间: 2010-6-14 06:29
腹壁淋巴囊肿
作者: 岚儿    时间: 2010-6-14 06:55
切口疝?
作者: xiongneo    时间: 2010-6-14 07:18
腹壁淋巴囊肿  
   
支持
作者: 影像孺子牛    时间: 2010-6-14 07:22
腹壁淋巴囊肿可能性大,不完全排外疝。
作者: 随光逐影    时间: 2010-6-14 07:50
1)前腹壁中线区(脐上方)囊性占位性病变,考虑淋巴囊肿。2)腹水。
作者: linyiming    时间: 2010-6-14 08:27
腹壁淋巴囊肿?
作者: sliucun01    时间: 2010-6-14 14:23
腹壁淋巴囊肿
作者: yuhongjun    时间: 2010-6-14 18:35
腹壁淋巴囊肿 。
作者: LIAOQIANG    时间: 2010-6-15 01:08
支持考虑腹壁淋巴囊肿。
作者: 胡宇    时间: 2010-6-17 06:17
腹壁淋巴囊肿可能性大,不完全排外疝。
作者: dhlyq    时间: 2010-6-17 06:21
腹壁淋巴囊肿




欢迎光临 医影在线 (http://bbs.radida.com/bbs/) Powered by Discuz! X3.2