医影在线

标题: CT27115:大家看一看,这孩子的颅骨表现? [打印本页]

作者: 流星1234    时间: 2010-6-15 23:01
标题: CT27115:大家看一看,这孩子的颅骨表现?
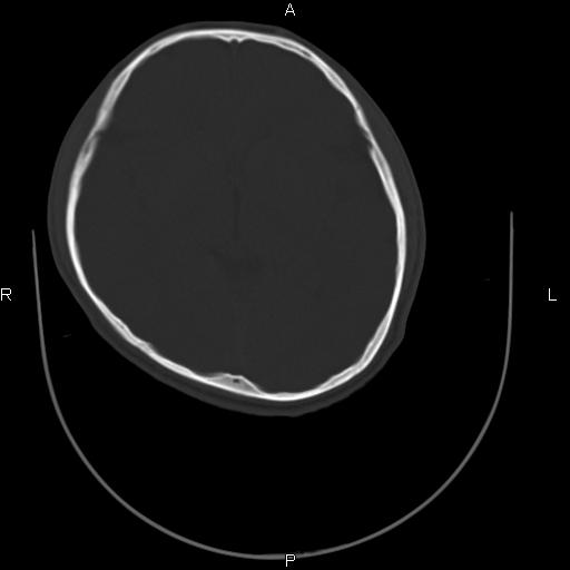
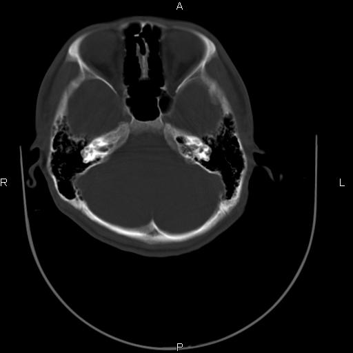
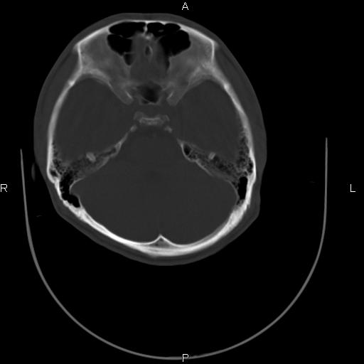
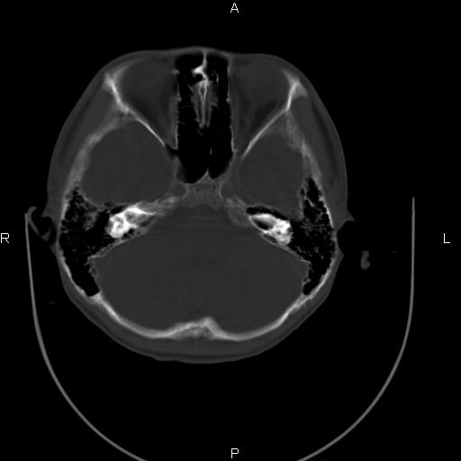
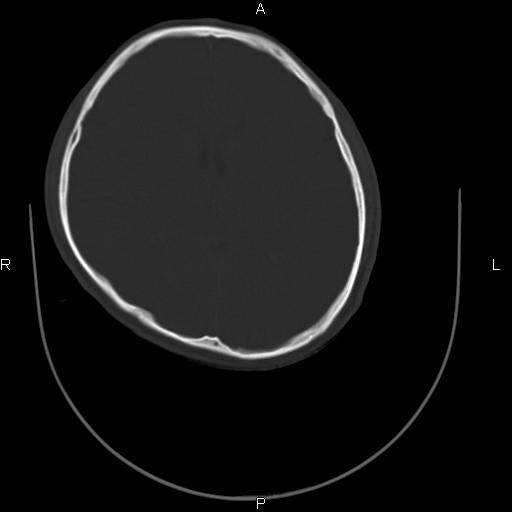
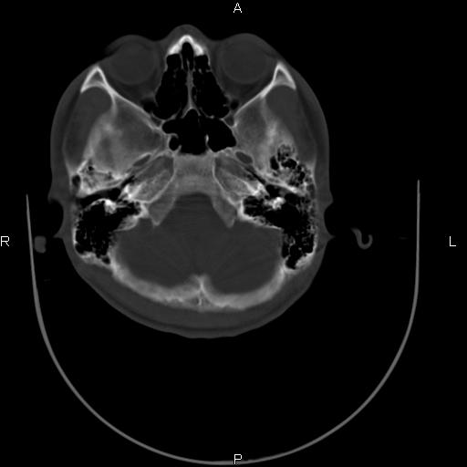
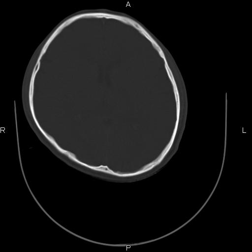
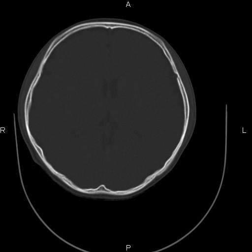
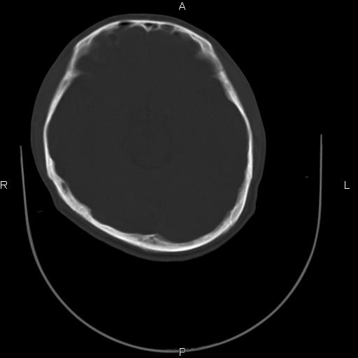
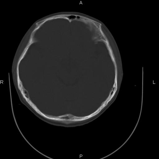
两名中学生打架,脑质内未见异常,未上传。





























[本贴已被 jiajie 于 2010-6-15 20:52:35 修改过]

作者: 求知若渴    时间: 2010-6-15 23:17
没有毛病
作者: yuhongjun    时间: 2010-6-15 23:20
颅骨骨质未见异常。
作者: 卜一    时间: 2010-6-15 23:23
颅骨骨质未见异常。
作者: 拂晓    时间: 2010-6-15 23:49
颅骨骨质未见异常。
作者: chenaide    时间: 2010-6-16 00:15
颅骨未见骨折征象。
作者: 随光逐影    时间: 2010-6-16 01:54
两例——颅骨结构正常,未见明显骨折征象。
作者: 陈正林    时间: 2010-6-16 01:56
颅骨骨质未见异常。
作者: 37度    时间: 2010-6-16 03:31
感觉第2个颅缝密度高,额顶部板障有点厚,正常变异?地中海贫血?
作者: 疯猪    时间: 2010-6-16 04:54
颅骨骨质未见异常。
作者: zxl51642    时间: 2010-6-16 05:07
颅骨骨质未见异常。
作者: fnxg    时间: 2010-6-16 05:32
未见异常
作者: xiongneo    时间: 2010-6-16 06:53
颅骨骨质未见异常。
作者: 宝天曼    时间: 2010-6-16 07:29
颅骨骨质未见异常。
作者: 健力宝    时间: 2010-6-16 15:53
标题: 回复:ct27115:大家看一看,这孩子的颅骨表现?
以下是引用37度在2010-6-15 19:31:00的发言:[br]感觉第2个颅缝密度高,额顶部板障有点厚,正常变异?地中海贫血?





欢迎光临 医影在线 (http://bbs.radida.com/bbs/) Powered by Discuz! X3.2