医影在线

标题: CT27119:请帮忙。 [打印本页]

作者: 38728914    时间: 2010-6-16 00:00
标题: CT27119:请帮忙。
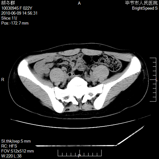
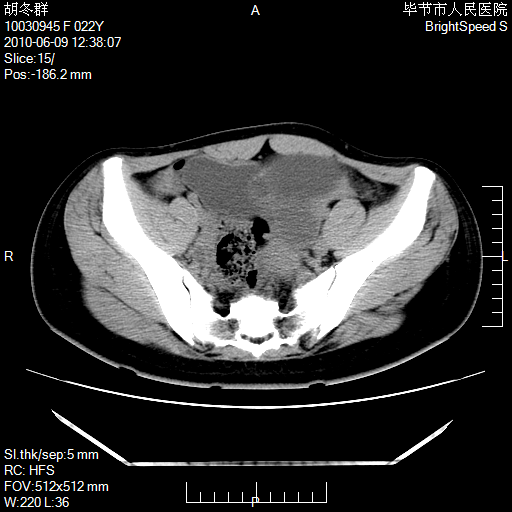
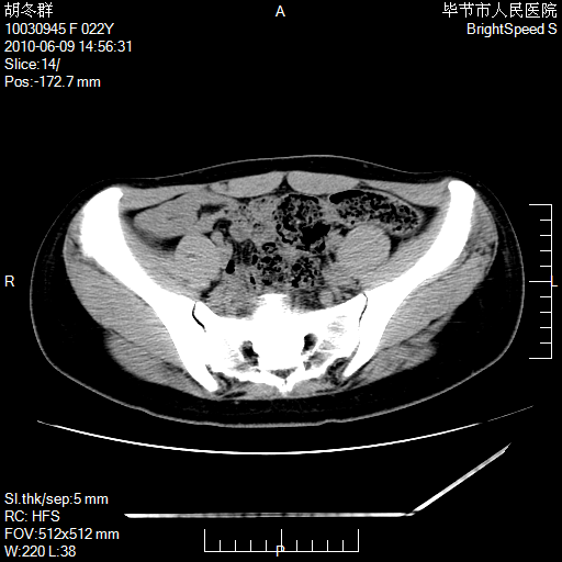
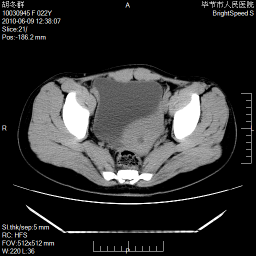
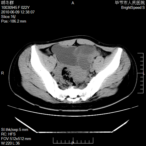
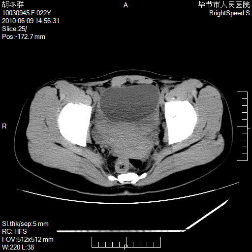
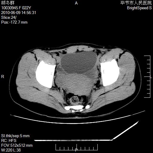
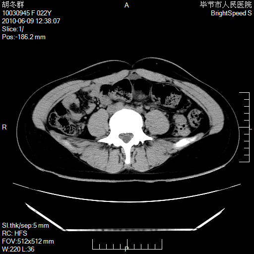
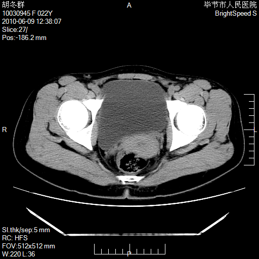
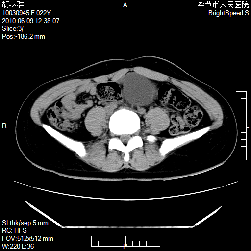
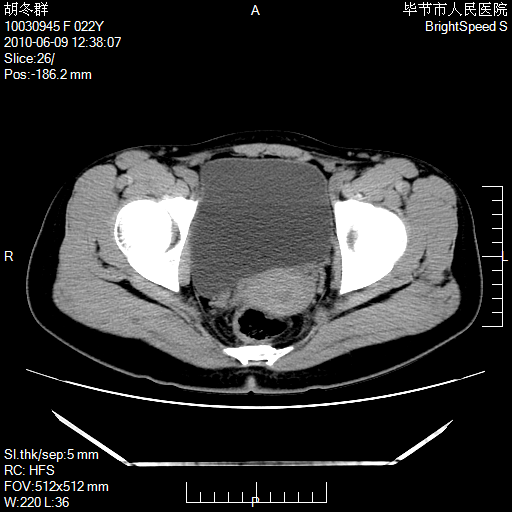
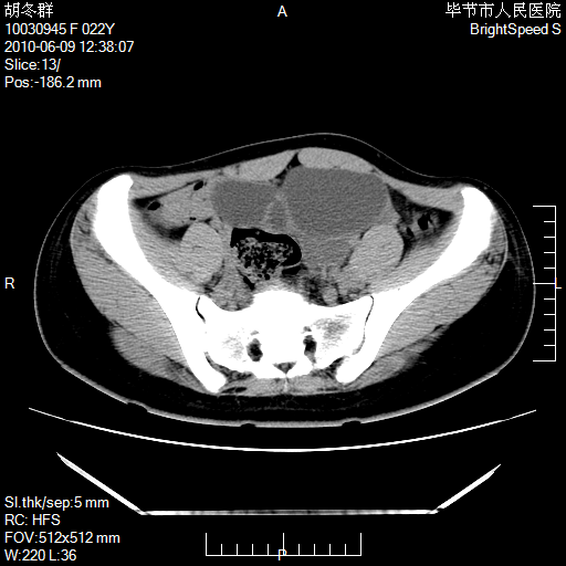
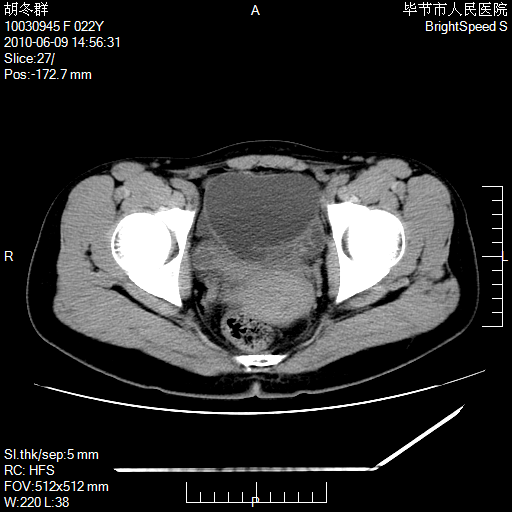
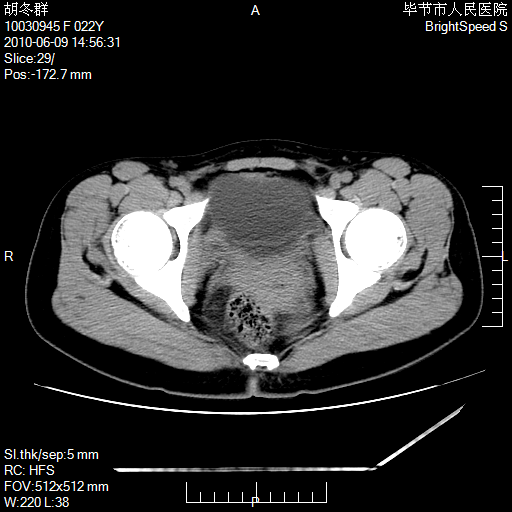
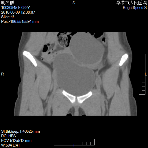
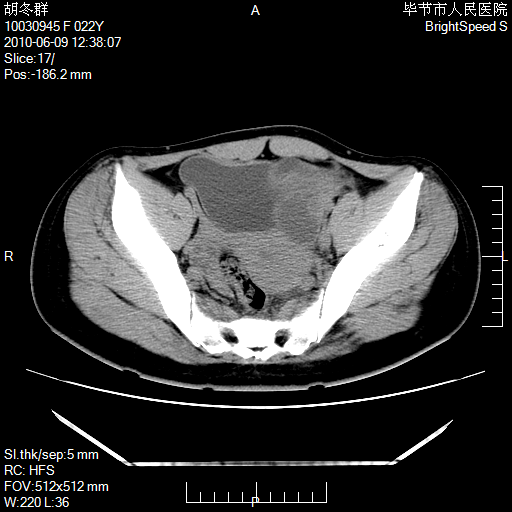
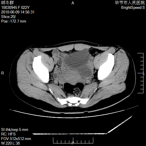
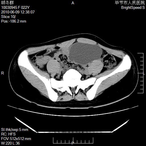
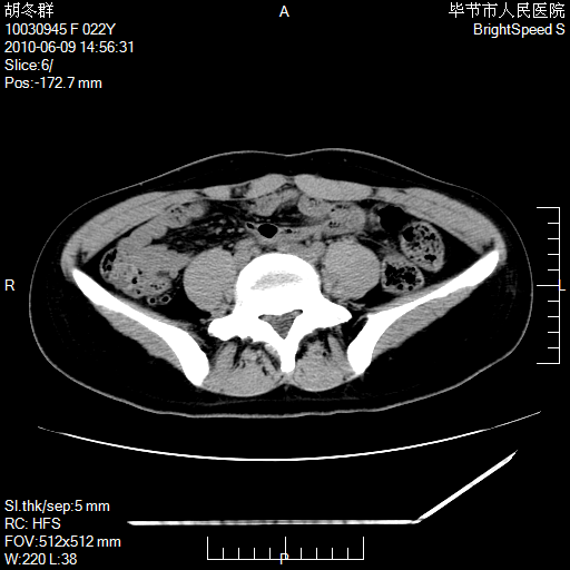
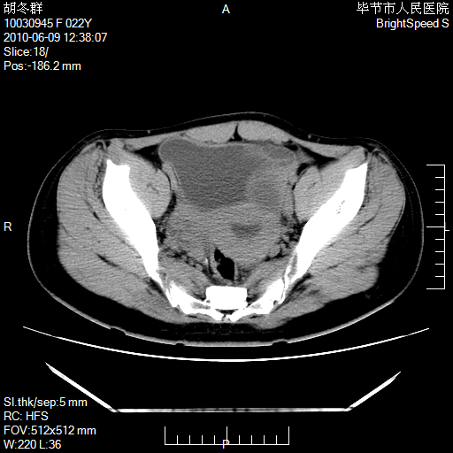
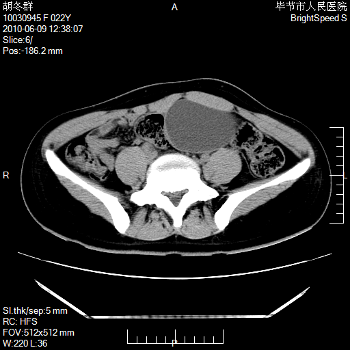
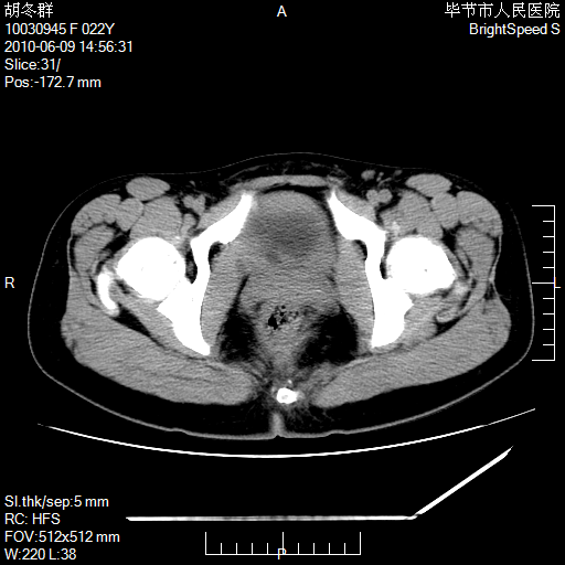
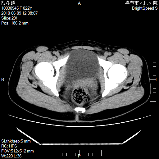
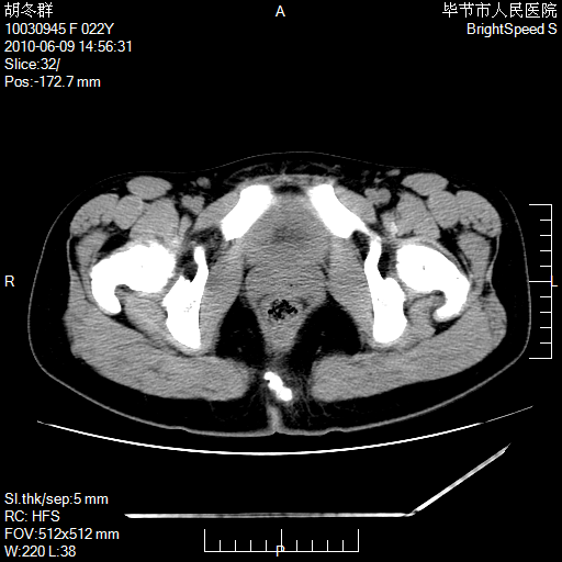
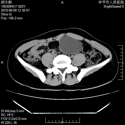
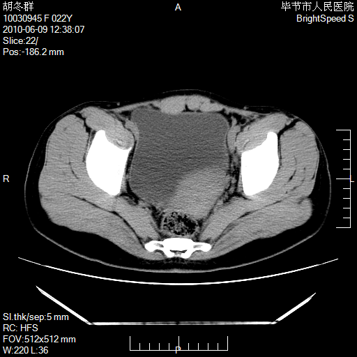
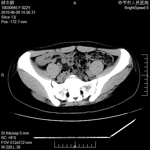
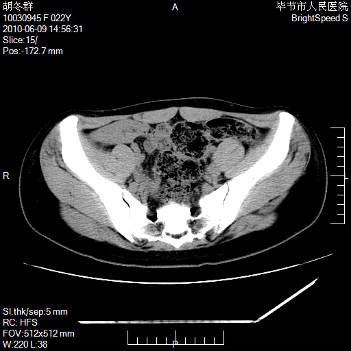
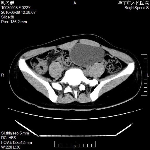
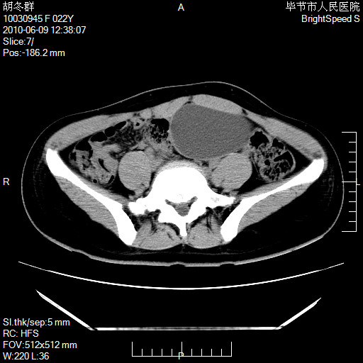
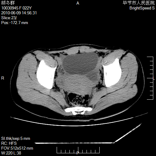
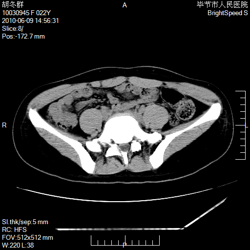
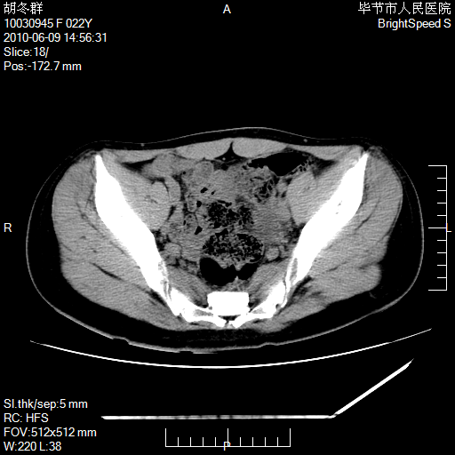
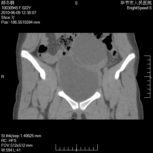
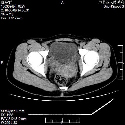
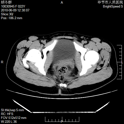
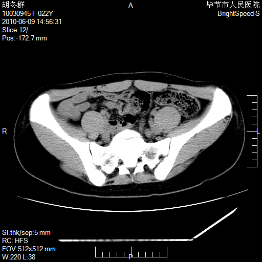
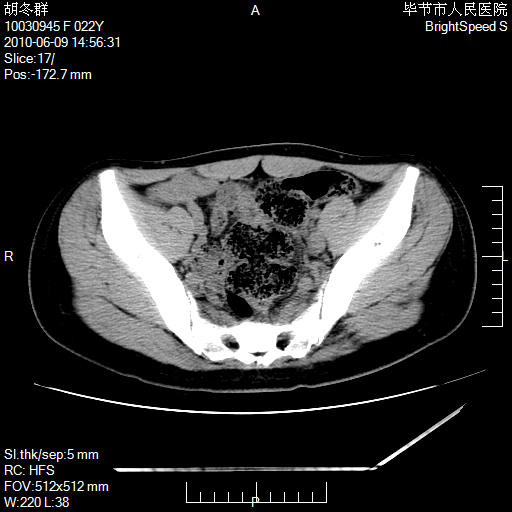
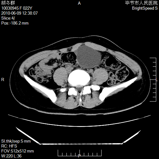
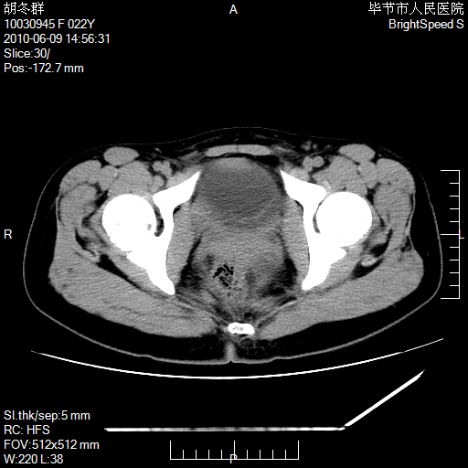
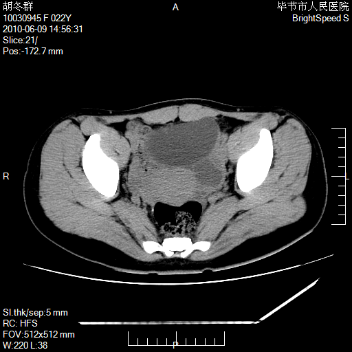
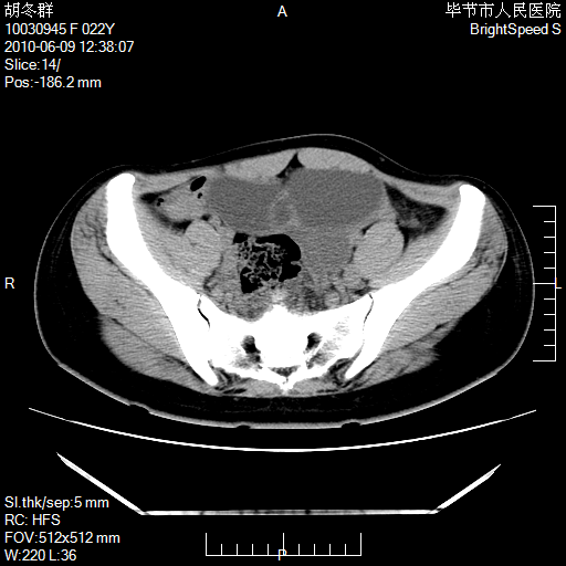
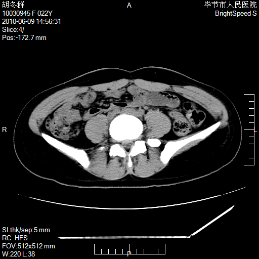
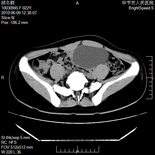
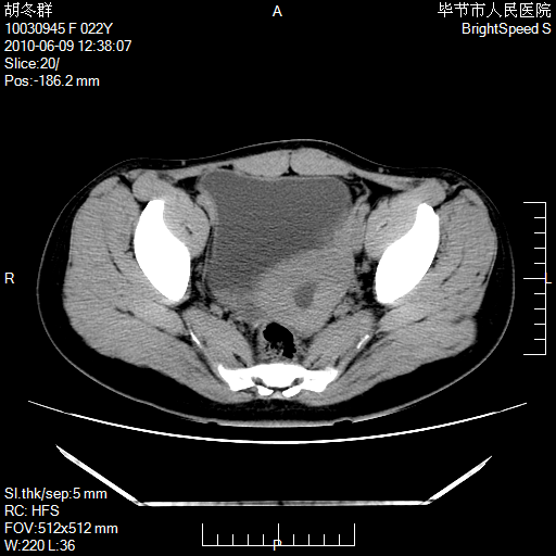
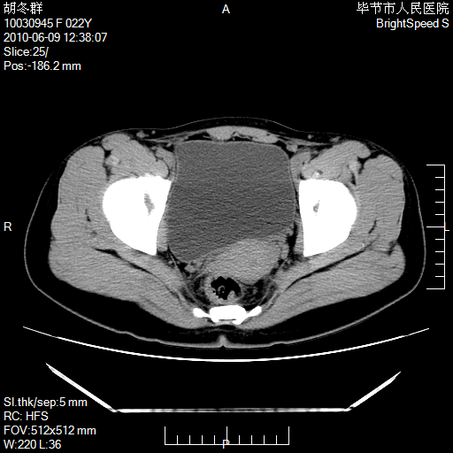
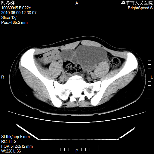
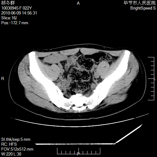
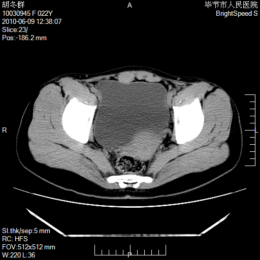
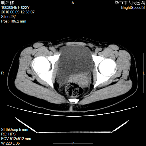
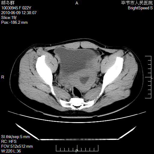
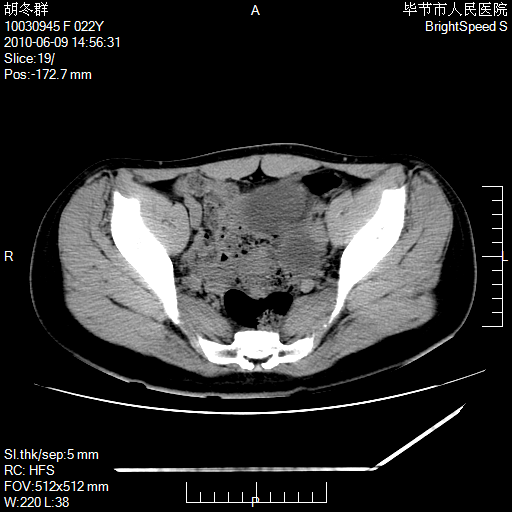
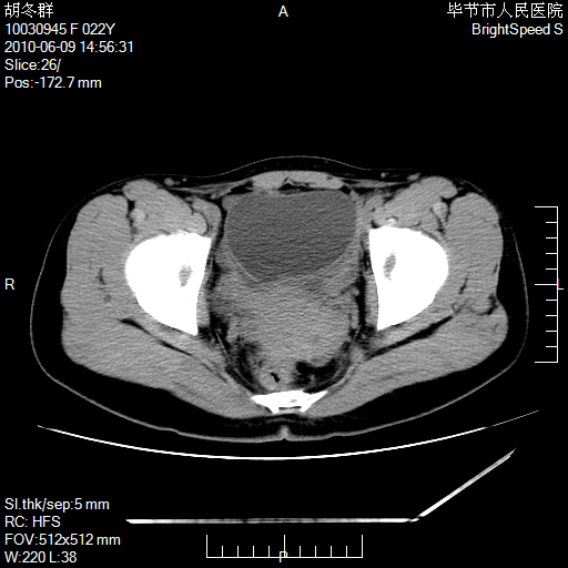
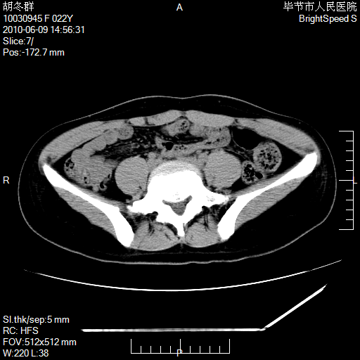
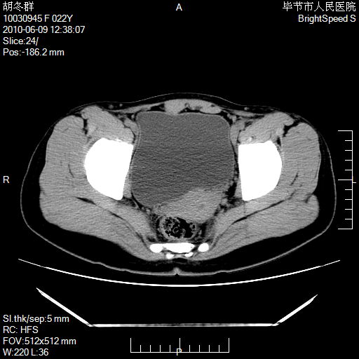
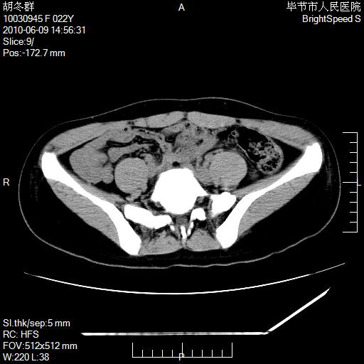
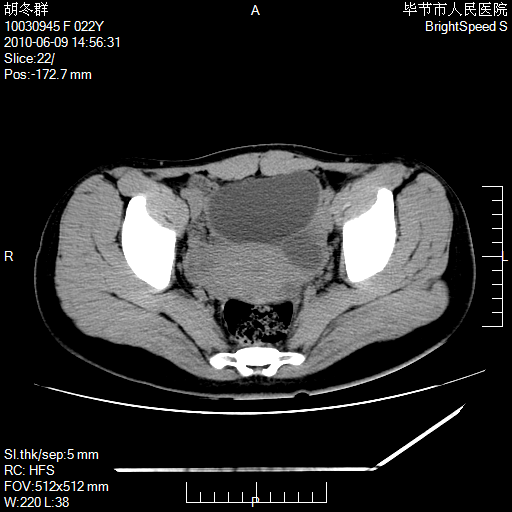
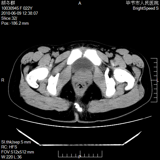
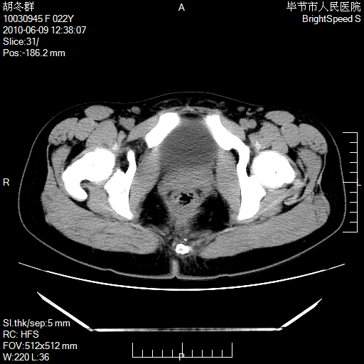
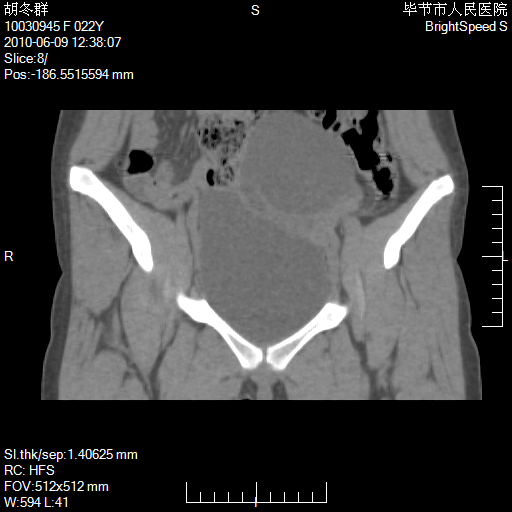
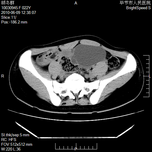
患者23岁,发现腹部包块3月。







































































[本贴已被 jiajie 于 2010-6-15 20:55:55 修改过]

作者: wangke_1229    时间: 2010-6-16 00:06
盆腔内囊性占位;穿刺或者直接手术拿掉即可,不必紧张。
作者: 38728914    时间: 2010-6-16 00:36
我当时考虑重复膀胱,但我错得很厉害,我不明白,囊肿排尿后为什么能到膀胱位置。
作者: cfililiu    时间: 2010-6-16 01:15
左侧卵巢囊腺瘤或囊腺癌
作者: SHY0520    时间: 2010-6-16 01:57
囊性病变,可以增强检查,不除外输尿管囊肿
作者: 随光逐影    时间: 2010-6-16 02:10
盆腔内囊性占位性病变;考虑左侧卵巢囊腺瘤。
作者: 37度    时间: 2010-6-16 02:55
有分隔、壁薄,支持考虑左侧卵巢囊腺瘤。
作者: 卜一    时间: 2010-6-16 04:48
支持考虑左侧卵巢囊腺瘤。
作者: zxl51642    时间: 2010-6-16 05:13
左侧卵巢浆液性囊腺瘤。
作者: HG-XXF    时间: 2010-6-16 06:35
支持左侧附件区囊性占位,多考虑为囊腺瘤。
作者: xiongneo    时间: 2010-6-16 06:43
支持考虑左侧卵巢囊腺瘤。
作者: 岚儿    时间: 2010-6-16 07:00
支持考虑左侧卵巢囊腺瘤;宫腔积液。
作者: lffw    时间: 2010-6-16 07:44
考虑左侧卵巢囊腺瘤。
作者: yuhongjun    时间: 2010-6-16 13:30
支持考虑左侧卵巢囊腺瘤。
作者: dyqct    时间: 2010-6-16 16:50
盆腔内囊性占位性病变;考虑左侧卵巢囊腺瘤。
作者: lyb999    时间: 2010-6-16 17:25
有分隔、壁薄,支持考虑左侧卵巢囊腺瘤。排尿后,膀胱缩小,由于重力作用,肿块下移就到了膀胱位置,很好理解。
作者: 吴医师    时间: 2010-6-16 17:44
盆腔内囊性占位性病变;考虑左侧卵巢囊腺瘤。




欢迎光临 医影在线 (http://bbs.radida.com/bbs/) Powered by Discuz! X3.2