医影在线
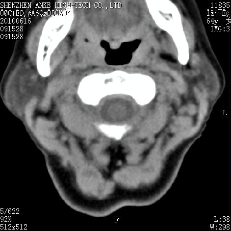
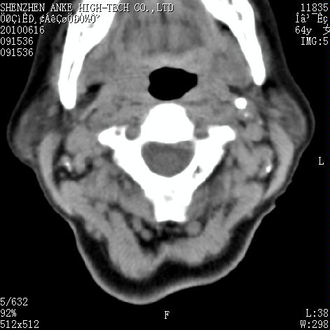
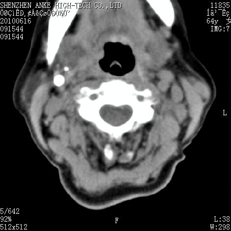
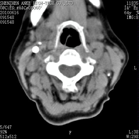
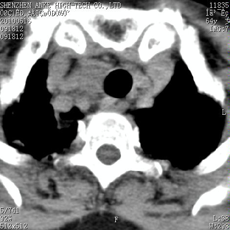
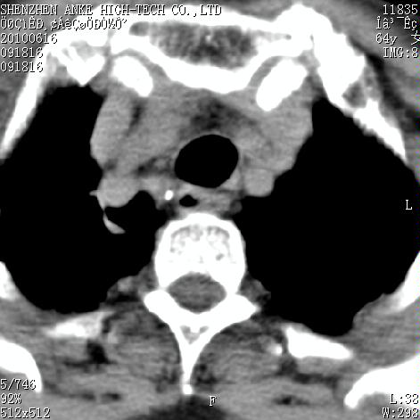
标题: CT27132:患者女,64岁,颈部及全身多处包块,现觉吞咽困难4 [打印本页]
作者: xg410 时间: 2010-6-16 17:42
标题: CT27132:患者女,64岁,颈部及全身多处包块,现觉吞咽困难4































[本贴已被 翁志蓬 于 2010-6-16 23:18:17 修改过]
[本贴已被 翁志蓬 于 2010-6-16 23:22:02 修改过]
作者: 随光逐影 时间: 2010-6-16 17:56
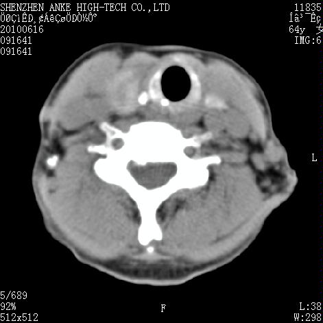
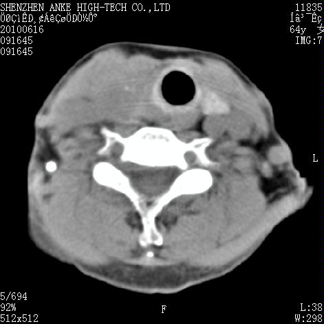
淋巴瘤?建议行进一步检查。
作者: jsdtd 时间: 2010-6-16 18:08
淋巴瘤?病理确诊。
作者: 科室第一人 时间: 2010-6-16 18:11
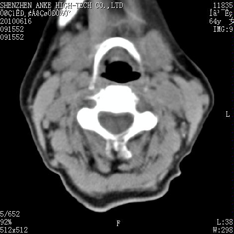
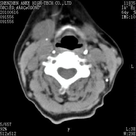
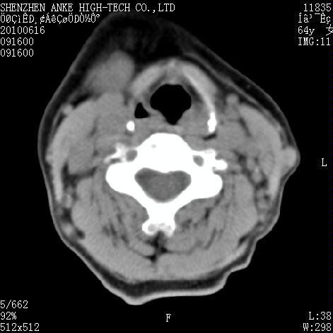
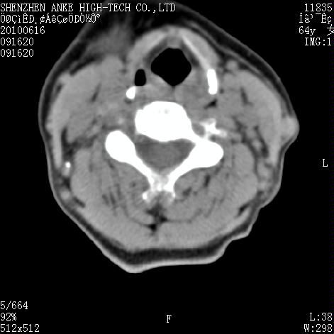
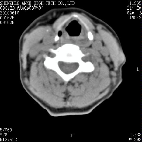
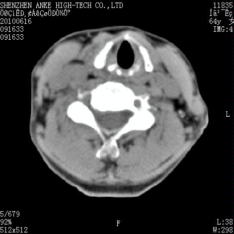
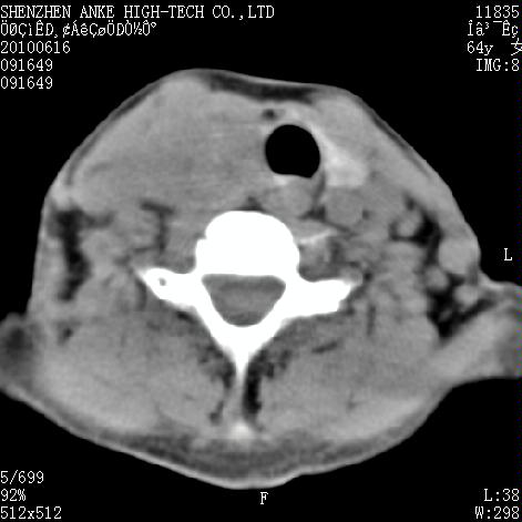
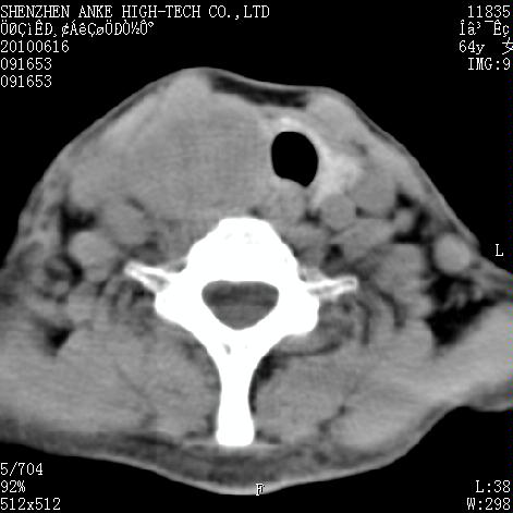
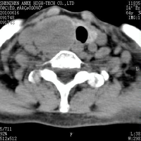
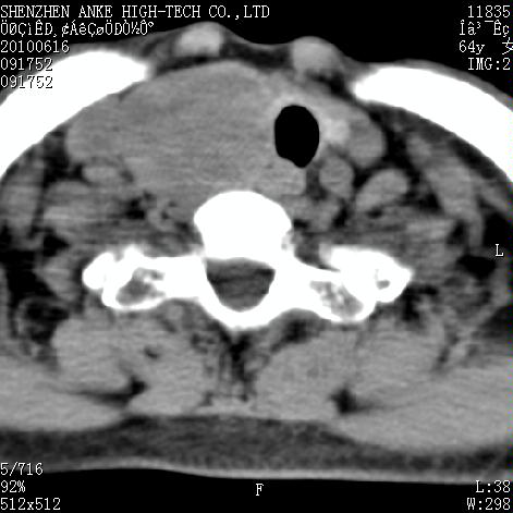
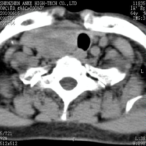
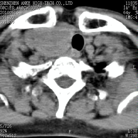
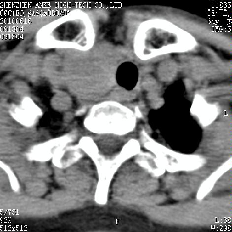
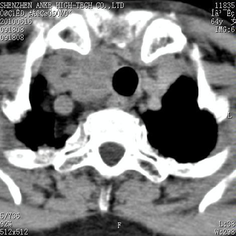
右侧甲状腺占位,肿瘤可能性大,癌
作者: 深泽交通 时间: 2010-6-16 18:29
右侧甲状腺癌伴右颌下腺淋巴结转移
作者: 疯猪 时间: 2010-6-16 18:33
右侧甲状腺占位,肿瘤可能性大,癌
作者: 吴医师 时间: 2010-6-16 19:02
右侧甲状腺癌伴淋巴结转移
作者: lyb999 时间: 2010-6-16 19:18
右侧甲状腺癌伴淋巴结转移可能性大
作者: zxl51642 时间: 2010-6-16 21:08
淋巴瘤?病理确诊。
作者: 施明 时间: 2010-6-16 22:20
增强看看 甲状腺癌
作者: jsdtd 时间: 2010-6-16 22:52
淋巴瘤可能,再向下扫描胸部看纵隔内淋巴结
作者: 同 时间: 2010-6-17 00:19
右侧甲状腺癌伴淋巴结转移可能性大。
作者: linyiming 时间: 2010-6-17 01:56
右侧甲状腺癌伴淋巴结转移可能性大
作者: zsl6918 时间: 2010-6-17 02:25
建议提供强化资料
作者: 卜一 时间: 2010-6-17 03:48
右侧甲状腺癌伴右颌下腺淋巴结转移!建议增强!
作者: dhlyq 时间: 2010-6-17 07:06
右侧甲状腺占位,腺瘤可能性大
作者: yuhongjun 时间: 2010-6-17 13:29
右侧甲状腺癌伴右颌下腺淋巴结转移!建议增强!
| 欢迎光临 医影在线 (http://bbs.radida.com/bbs/) |
Powered by Discuz! X3.2 |