医影在线

标题: CT27139:胸部CT平扫 [打印本页]

作者: 同    时间: 2010-6-16 23:38
标题: CT27139:胸部CT平扫
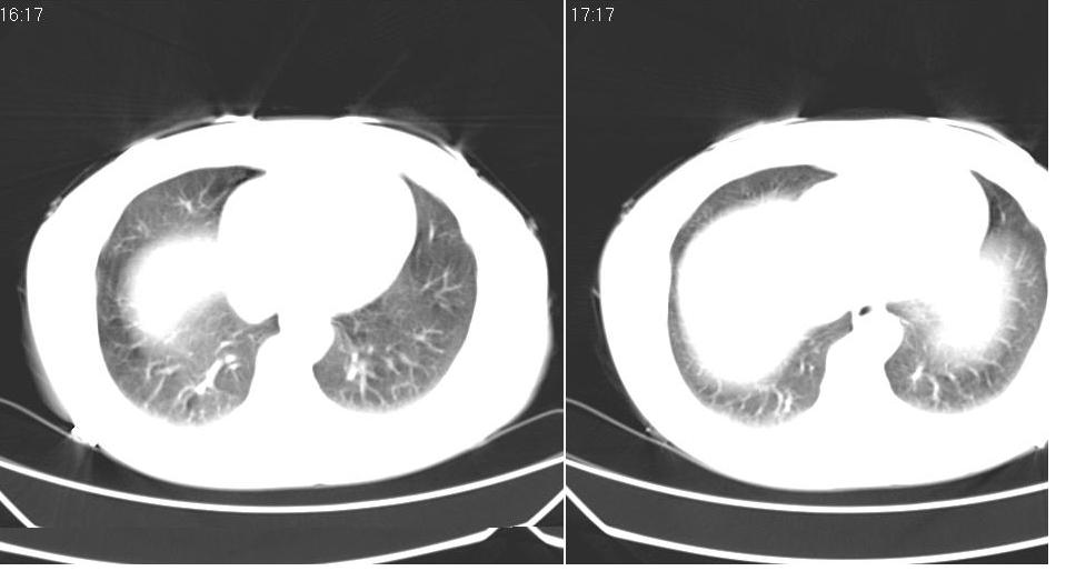
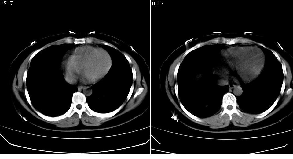
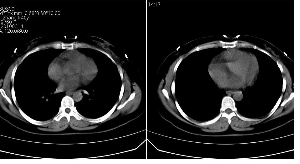
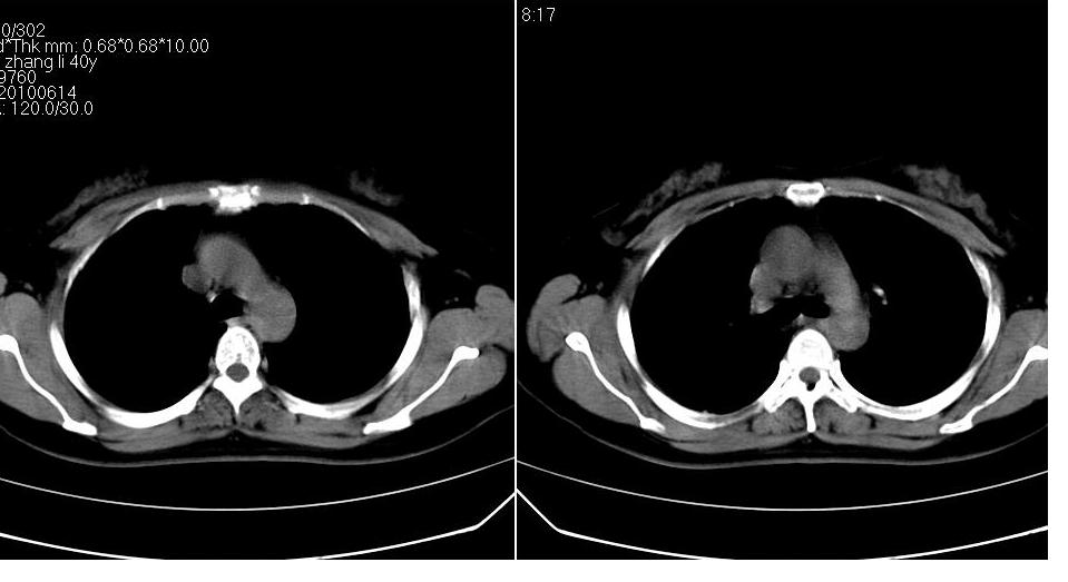
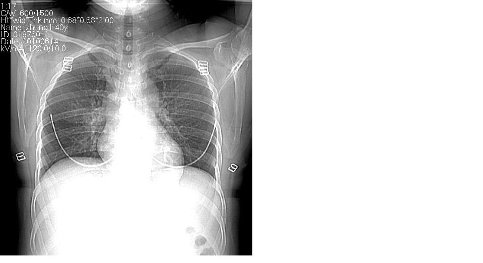
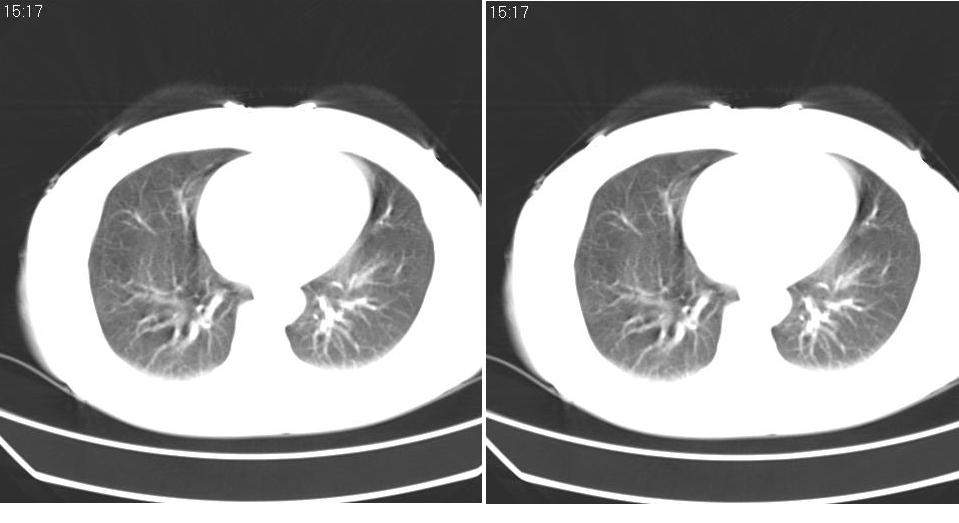
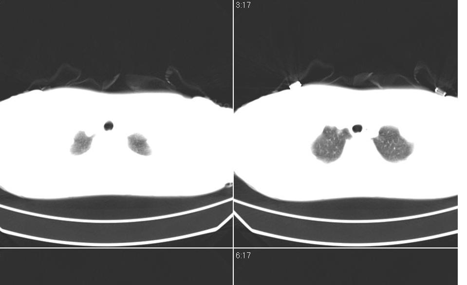
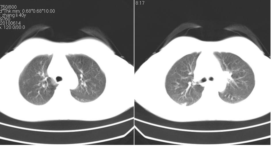
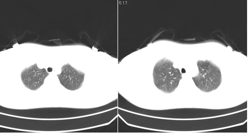
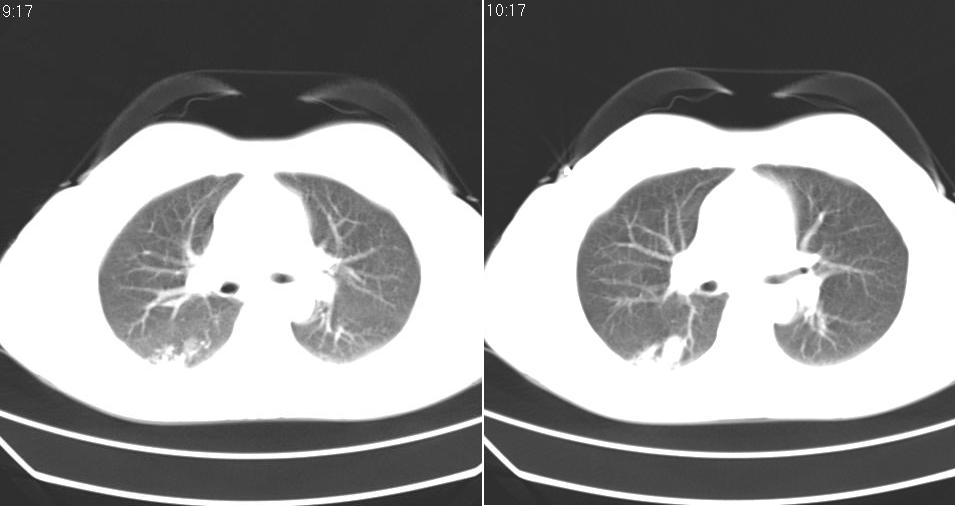
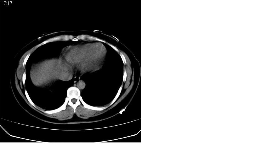
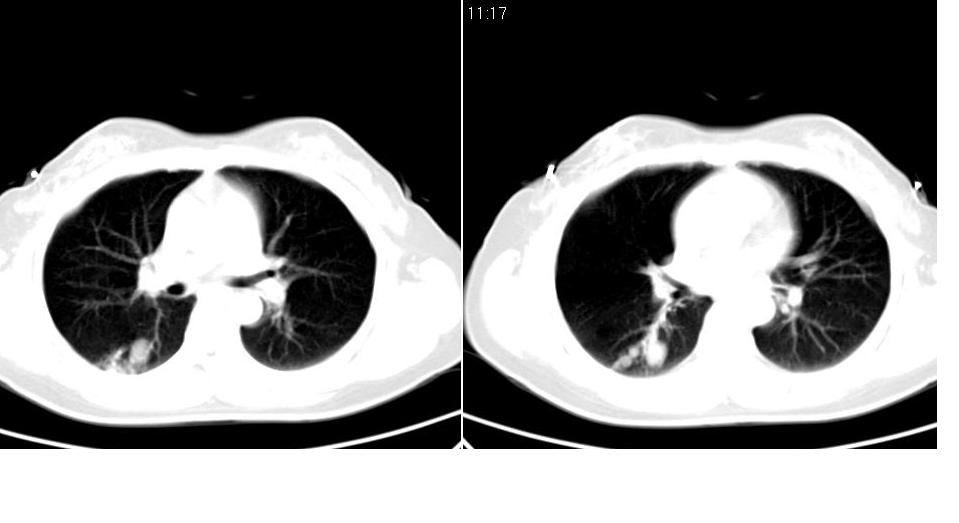
女 40岁,胸片体检发现右肺肿块,无任何症状。






















[本贴已被 翁志蓬 于 2010-6-16 23:29:04 修改过]

作者: 深泽交通    时间: 2010-6-16 23:47
渗出灶 考虑炎性
作者: linyiming    时间: 2010-6-17 00:16
考虑右肺下叶继发肺结核或炎症可能?
作者: 岚儿    时间: 2010-6-17 00:17
下叶背段多发性小腺泡结节,考虑结核。
作者: sym74520    时间: 2010-6-17 01:12
考虑侵润性结核
作者: zxl51642    时间: 2010-6-17 01:52
肺动静脉瘘可考虑,建议增强
作者: jiazhirong    时间: 2010-6-17 02:05
炎性渗出灶
作者: zsl6918    时间: 2010-6-17 02:22
典型结核表现
作者: ljj8935    时间: 2010-6-17 02:28
考虑右肺下叶继发肺结核或炎症可能?
作者: DUGUO    时间: 2010-6-17 03:07
标题: 回复:胸部ct平扫
以下是引用岚儿在2010-6-16 16:17:00的发言:[br]下叶背段多发性小腺泡结节,考虑结核。

作者: xiongneo    时间: 2010-6-17 03:20
以下是引用岚儿在2010-6-16 16:17:00的发言:
下叶背段多发性小腺泡结节,考虑结核。
作者: 卜一    时间: 2010-6-17 03:35
考虑右肺下叶继发性肺结核!
作者: HG-XXF    时间: 2010-6-17 05:02
支持结核
作者: 学者~『风    时间: 2010-6-17 07:08
支持:结核
作者: yuhongjun    时间: 2010-6-17 13:27
肺动静脉瘘可考虑,建议增强  
支持。
作者: 随光逐影    时间: 2010-6-17 15:27
考虑右肺下叶背段继发性肺结核。
作者: dhlyq    时间: 2010-6-17 15:35
考虑右肺下叶继发性肺结核!




欢迎光临 医影在线 (http://bbs.radida.com/bbs/) Powered by Discuz! X3.2