医影在线

标题: X0351:胸片 [打印本页]

作者: kkxl    时间: 2005-6-18 11:26
标题: X0351:胸片
请给看以下问题在那里?
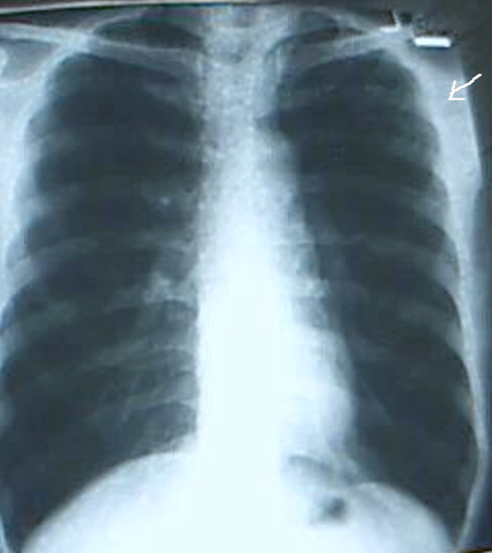
05.05.20片


[本贴已被 翁志蓬 于 2005-9-11 14:22:42 修改过]

作者: kkxl    时间: 2005-6-19 16:27
标题: 补一个
补一个


作者: lqc    时间: 2005-6-27 22:42
图像质量不好,就现有后前位胸片看,可疑左上肺胸膜下结节,左三四后肋溶骨性破坏。肺癌肋骨转移?
作者: wskgmmyvtkd    时间: 2005-9-11 19:51
图像质量太差了,没法诊断。
作者: chengwei    时间: 2005-9-12 00:41
[emb10]
作者: 火眼    时间: 2005-9-12 05:42
[emb12][emb12]
作者: 阿袁    时间: 2005-9-17 06:37
图像质量不好,就现有后前位胸片看,左三、四、五后肋溶骨性破坏。考虑转移。原发灶待查。[emb7][emb14][emb28][em14]
作者: hebeli    时间: 2005-9-17 18:03
怎么样发帖子呀,我前两天做了个钡灌肠,乙状结肠中段有个充盈缺损,男性,32岁,农民,近段结肠重度扩张,术中见横结肠宽25厘米,但我灌的时候 钡剂只是开始的时候有点梗阻.后来很通畅,我考虑占位和并套叠,术后竟然是肠扭转,无套叠,我晕,谁能告诉我该怎么鉴别诊断啊
作者: huxi1000    时间: 2005-9-19 06:11
左三、四、五后肋溶骨性破坏。考虑转移。原发灶待查。
作者: lushijun    时间: 2005-9-19 16:45
对不起了,重照!
作者: sunjh2266    时间: 2005-9-19 19:21
[emb12]
作者: x-ray    时间: 2005-9-24 05:02
[emb12][emb10]
作者: kqs555    时间: 2005-9-24 22:57
[emb13]
作者: wzj893    时间: 2005-9-29 16:05
费片,需重照。
作者: 楚楚    时间: 2005-9-30 01:09
看不清啊!!!!!!!!!!!!!!!!!!!!!!!!!!!!
作者: aomeilazuo    时间: 2005-10-6 08:00
这样的片子也敢诊断
作者: jinguoji    时间: 2006-11-11 00:08
图像质量太差了,没法诊断。重拍!
作者: shibing    时间: 2012-9-3 06:59
图像质量太差了
作者: lyming00    时间: 2012-9-15 08:34
图像质量太差了




欢迎光临 医影在线 (http://bbs.radida.com/bbs/) Powered by Discuz! X3.2