医影在线

标题: CT27173:右上叶后段肺癌 [打印本页]

作者: xhp1976    时间: 2010-6-18 07:07
标题: CT27173:右上叶后段肺癌
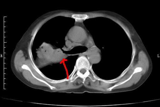
右上叶后段肺癌伴阻塞性炎症(肺脓肿形成)



[本贴已被 jiajie 于 2010-6-18 6:10:52 修改过]

作者: 随光逐影    时间: 2010-6-18 07:32
支持楼主意见。
作者: 影像孺子牛    时间: 2010-6-18 07:32
做个支气管镜取活检。
作者: 施明    时间: 2010-6-18 13:39
考虑癌
作者: yangyudong333    时间: 2010-6-18 14:31
支持楼主意见。
作者: 深泽交通    时间: 2010-6-18 16:51
支持楼主【气管腔狭窄定性癌肿意义大】
作者: HG-XXF    时间: 2010-6-18 17:17
支持楼主
作者: dyqct    时间: 2010-6-18 18:05
支持楼主意见。
作者: 同    时间: 2010-6-18 18:51
图像太少。考虑癌。
作者: zxl51642    时间: 2010-6-18 19:26
支持楼主




欢迎光临 医影在线 (http://bbs.radida.com/bbs/) Powered by Discuz! X3.2