医影在线

标题: CT27196:帮忙诊断一下 [打印本页]

作者: sis6326120    时间: 2010-6-19 03:50
标题: CT27196:帮忙诊断一下
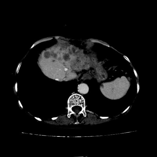
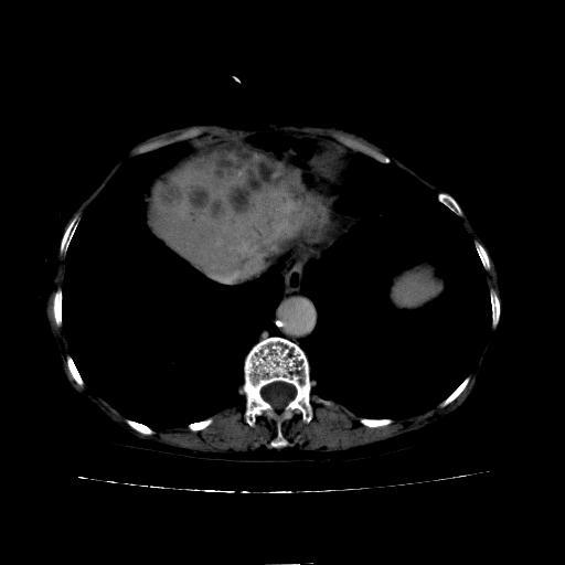
患者08年胆囊结石切除,之前没有做过ct,现在患者厌食。
平扫



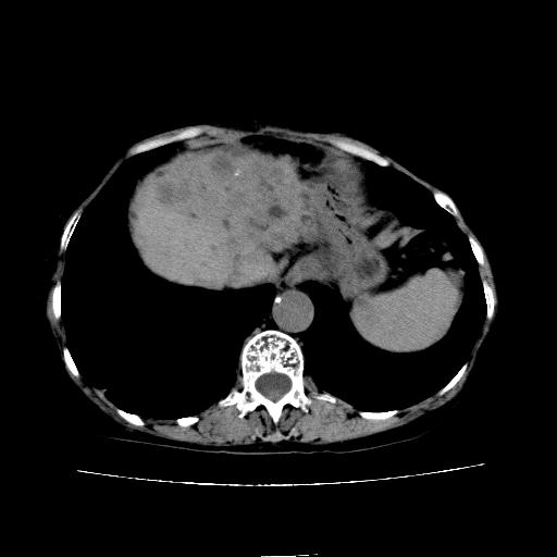
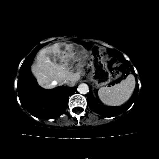
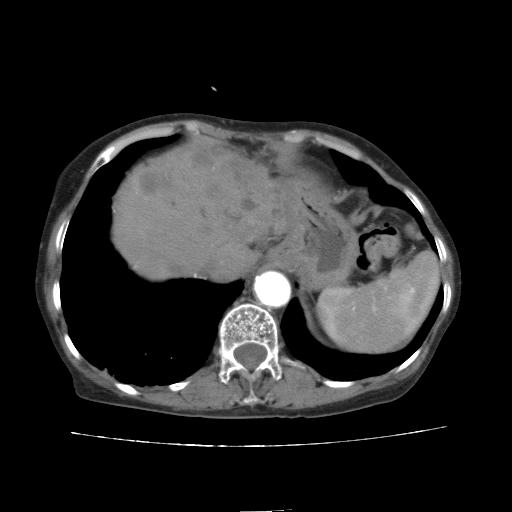
动脉期



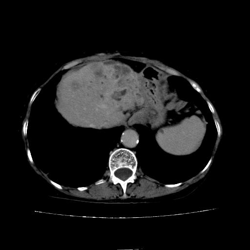
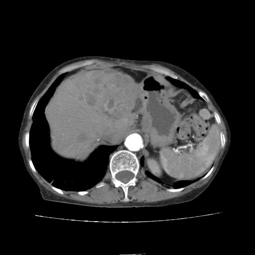
静脉期



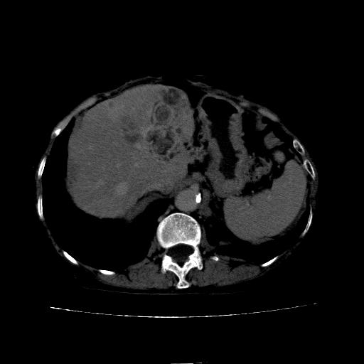
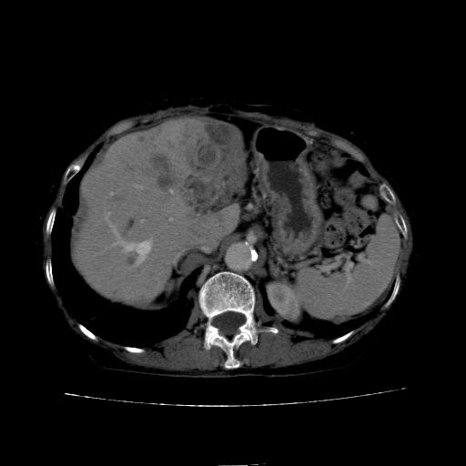
延迟期




看片子胆管里结石,肝上显示的占位会不会是胆管癌?大家帮忙看看,图像不太好,手头的处理文件没有,大致转换了一下,有原始图像数据

[本贴已被 jiajie 于 2010-6-19 15:44:32 修改过]

作者: 老爱克斯    时间: 2010-6-19 04:31
支持胆管细胞癌的诊断。
作者: 影象小辈    时间: 2010-6-19 04:37
胆管细胞癌   胆管结石
作者: ljj8935    时间: 2010-6-19 05:59
支持胆管细胞癌的诊断。
作者: 施明    时间: 2010-6-19 06:37
胆管癌
作者: xiongneo    时间: 2010-6-19 06:46
支持胆管细胞癌的诊断。
作者: zxl51642    时间: 2010-6-19 07:01
胆管细胞癌   胆管结石
作者: 科室第一人    时间: 2010-6-19 15:15
胆管细胞癌,胃壁增厚
作者: pujunzhi    时间: 2010-6-19 15:30
考虑胆管结石伴左肝内胆管扩张,不除外胆管细胞癌。
作者: 同    时间: 2010-6-19 16:03
支持胆管细胞癌诊断,胃壁增厚。
作者: DDN    时间: 2010-6-19 17:07
支持,胆管细胞癌,胆管结石。
作者: wangjian0202    时间: 2010-6-19 17:32
支持胆管细胞癌的诊断。
作者: dyqct    时间: 2010-6-19 17:33
标题: 回复:帮忙诊断一下
以下是引用pujunzhi在2010-6-19 7:30:00的发言:[br]考虑胆管结石伴左肝内胆管扩张,不除外胆管细胞癌。

支持!
作者: xwm9909    时间: 2010-6-19 18:01
支持胆管细胞癌诊断。胃腔充盈不佳,胃壁有否增厚不好说吧?还是做个胃镜或消化道造影再作诊断。
作者: 吴医师    时间: 2010-6-19 18:27
支持胆管细胞癌诊断,胃壁增厚。
作者: yuhongjun    时间: 2010-6-19 22:28
胆管细胞癌   胆管结石
作者: 随光逐影    时间: 2010-6-22 00:43
1)考虑肝左叶胆管细胞癌并肝内转移。2)肝左叶肝内胆管结石。




欢迎光临 医影在线 (http://bbs.radida.com/bbs/) Powered by Discuz! X3.2