医影在线

标题: CT27207:颈部CT平扫 [打印本页]

作者: 同    时间: 2010-6-19 17:44
标题: CT27207:颈部CT平扫
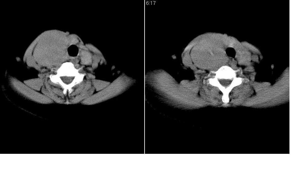
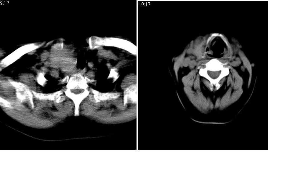
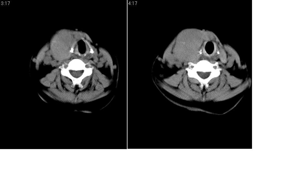
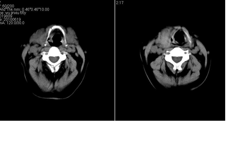
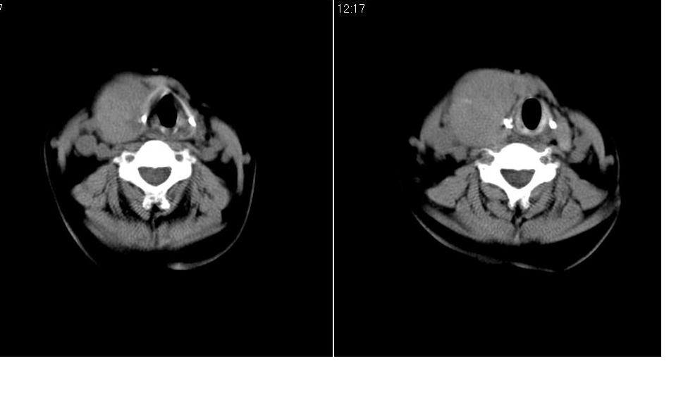
女 55岁 右侧颈部包块十年余,自己感觉有增大。










[本贴已被 jiajie 于 2010-6-19 16:00:29 修改过]

作者: tao772    时间: 2010-6-19 18:25
右侧甲状腺癌或腺瘤。
作者: HG-XXF    时间: 2010-6-19 19:11
边缘清晰光滑,偏向于甲状腺瘤。
作者: zxl51642    时间: 2010-6-19 19:11
边缘清晰光滑,偏向于甲状腺瘤。
作者: 吴医师    时间: 2010-6-19 19:26
标题: 回复:颈部ct平扫
以下是引用hg-xxf在2010-6-19 11:11:00的发言:[br]边缘清晰光滑,偏向于甲状腺瘤。

作者: 影像之路    时间: 2010-6-19 19:51
来源于右侧甲状腺  边界清晰,内可见点状钙化,向下生长达前上纵隔血管间隙内  考虑甲状腺腺瘤并胸内甲状腺肿
作者: snake2010wzh    时间: 2010-6-19 22:07
如果是甲状腺来源的话,那么左侧甲状腺在哪里呢?
作者: yuhongjun    时间: 2010-6-19 22:11
边缘清晰光滑,偏向于甲状腺瘤。
作者: 卜一    时间: 2010-6-19 23:51
甲状腺瘤可能性大!建议强化!
作者: dyqct    时间: 2010-6-20 00:17
边缘清晰光滑,偏向于右侧甲状腺瘤。
作者: 拂晓    时间: 2010-6-20 00:41
边缘清晰光滑,偏向于右侧甲状腺瘤。
作者: JSDTD    时间: 2010-6-20 00:51
右侧甲状腺区占位(腺瘤?),建议同位素扫描。
作者: 施明    时间: 2010-6-20 01:03
甲状腺瘤?
作者: 神龙7777    时间: 2010-6-20 02:17
边缘清晰光滑,考虑为右侧甲状腺瘤
作者: 随光逐影    时间: 2010-6-22 01:12
考虑甲状腺肿(以右侧为甚)。




欢迎光临 医影在线 (http://bbs.radida.com/bbs/) Powered by Discuz! X3.2