医影在线

标题: X7532.右肺病变,有结果,猜猜看(结果为肺结核) [打印本页]

作者: 江广1996    时间: 2010-6-19 17:45
标题: X7532.右肺病变,有结果,猜猜看(结果为肺结核)
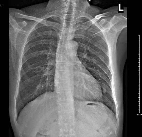
x7532。右肺病变,结果是:右下叶背段肺结核。
患者最后是在省肺科医院考虑为肺结核。实际上痰检并没有找到抗酸杆菌。但以抗结核治疗病变明显好转。
原贴地址:那是2009年1月19日的片子:
http://www.radida.com/bbs/forum.php?mod=viewthread&tid=67427&page=1
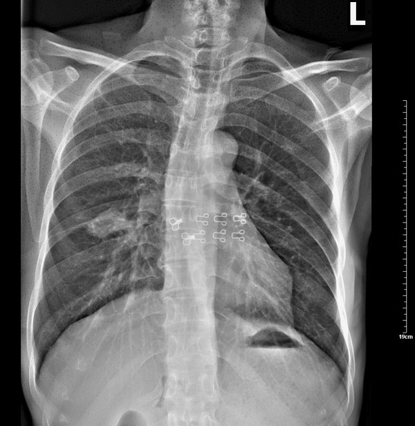
下面是2009年10月26日的片子:

下面是2010年6月10日的片子



[本贴已被 江广1996 于 2010-6-19 9:49:08 修改过]

作者: 吴医师    时间: 2010-6-19 18:15
谢谢楼主反馈结果
作者: 帅河马    时间: 2010-6-19 19:47
谢谢楼主
作者: 学者~『风    时间: 2010-6-19 21:51
右下叶背段肺结核。
谢楼主反馈病理结果。
作者: 拾荒者    时间: 2010-6-20 05:09
右下叶背段肺结核。
谢楼主反馈病理结果。
作者: whmy    时间: 2010-6-20 06:16
右下叶背段肺结核。
谢楼主反馈病理结果




欢迎光临 医影在线 (http://bbs.radida.com/bbs/) Powered by Discuz! X3.2