医影在线

标题: CT27209:请各位专家给个诊断意见,谢谢 [打印本页]

作者: aa13877358820    时间: 2010-6-19 20:40
标题: CT27209:请各位专家给个诊断意见,谢谢
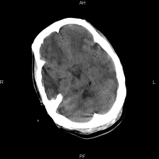
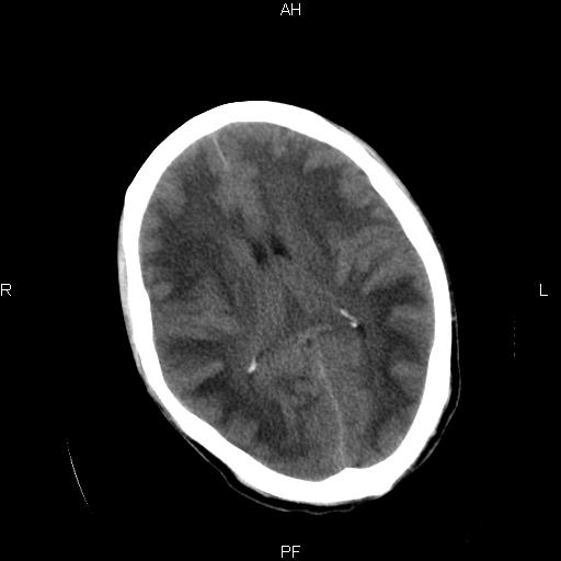
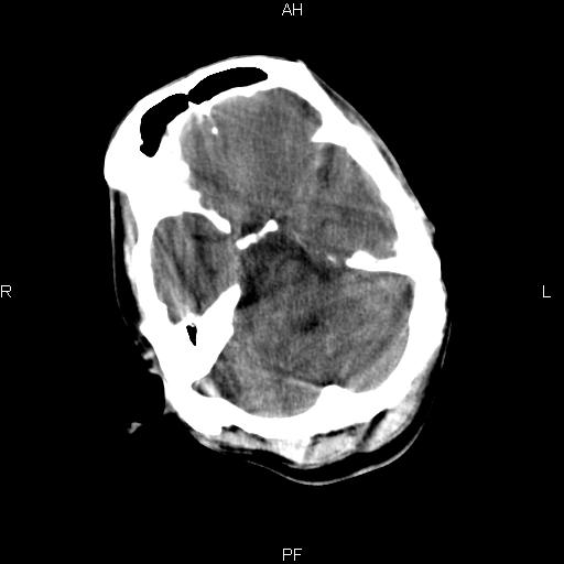
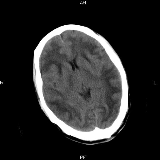
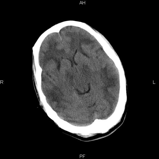
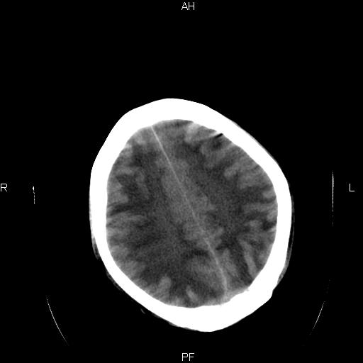
男性,45岁,缄默少语,四肢无力一个月。骨窗未见明确异常。










[本贴已被 jiajie 于 2010-6-19 16:01:18 修改过]

作者: 卜一    时间: 2010-6-19 23:49
弥漫性脑白质低密度症
作者: dyqct    时间: 2010-6-19 23:51
对称性脑白质广泛低密度。有高血压史及大量饮酒史吗?
考虑重度脑白质稀疏症。
作者: 同    时间: 2010-6-20 00:17
考虑重度脑白质稀疏症
作者: 深泽交通    时间: 2010-6-20 00:38
标题: 回复:ct27209:请各位专家给个诊断意见,谢谢
以下是引用卜一在2010-6-19 15:49:00的发言:[br]弥漫性脑白质低密度症

建议定性检查
作者: JSDTD    时间: 2010-6-20 00:48
弥漫性脑白质变,建议进一步检查确诊。
作者: wjqq    时间: 2010-6-20 01:06
弥漫性脱髓鞘病变,建议mri检查。
作者: 施明    时间: 2010-6-20 01:06
z支持卜一
作者: 余辉    时间: 2010-6-20 01:09
双侧弥漫性对称性全累及性(外囊亦有累及)脑白质病
患者病程月余,脑沟裂闭合,第三脑室较窄,提示应该有较明显的脑白质水肿,考虑有持续性炎性病变
综合考虑脑白质感染性或非感染性炎症可能性大,不排除为克雅氏病
作者: 神龙7777    时间: 2010-6-20 02:21
弥漫性脱髓鞘病变,建议mri检查。
作者: fanxinyu    时间: 2010-6-20 05:14
考虑重度脑白质稀疏症
作者: dhlyq    时间: 2010-6-20 19:08
考虑重度脑白质稀疏症
作者: zxl51642    时间: 2010-6-20 21:06
异染性脑白质营养不良?
作者: 随光逐影    时间: 2010-6-22 01:14
弥漫性脑白质脱髓鞘病变;建议行mri检查。




欢迎光临 医影在线 (http://bbs.radida.com/bbs/) Powered by Discuz! X3.2