医影在线

标题: X7541:肋骨透光区 [打印本页]

作者: 07619    时间: 2010-6-19 23:19
标题: X7541:肋骨透光区
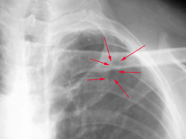
男.55.体检.请问是正常变异吗?




[本贴已被 翁志蓬 于 2010-6-19 22:16:37 修改过]

作者: dyqct    时间: 2010-6-19 23:43
可能为巧合,未见明显异常。
作者: fsk123    时间: 2010-6-20 00:13
右侧肋骨好象也有,右能是重叠后形成的、
作者: 拂晓    时间: 2010-6-20 01:03
未见明显异常。
作者: zxl51642    时间: 2010-6-20 01:08
未见明显异常。
作者: yuhongjun    时间: 2010-6-20 02:59
未见明显异常。
作者: woaiyiying    时间: 2010-6-20 03:27
巧构影,未见异常
作者: JSDTD    时间: 2010-6-20 04:17
巧构吧
作者: 拾荒者    时间: 2010-6-20 04:47
未见明显异常。
作者: zhanggenliang    时间: 2010-6-20 05:45
未见明显异常改变
作者: 五月的阳光    时间: 2010-6-20 05:47
未见明显异常
作者: 王宛龙    时间: 2010-6-20 06:03
未见明显异常改变
作者: whmy    时间: 2010-6-20 06:29
透视一下,看看
作者: linyiming    时间: 2010-6-20 08:55
未见明显异常。
作者: 987654zwf    时间: 2010-6-20 15:42
未见明显异常改变
作者: 帅河马    时间: 2010-6-20 16:25
未见异常
作者: 吴教授    时间: 2010-6-20 16:27
减刹现象。
作者: 黑白光影    时间: 2010-6-20 16:43
发育问题。
作者: revenger    时间: 2010-6-20 16:56
照片质量太差,看不清
作者: fanxinyu    时间: 2010-6-20 17:40
未见明显异常。
作者: 蓬莱客    时间: 2010-6-20 17:45
未见明显异常改变
作者: wangjie    时间: 2010-6-20 18:32
未见明显异常
作者: gaoyang8    时间: 2010-6-20 23:32
未见明显异常
作者: 用用看看    时间: 2010-6-21 02:25
未见异常
作者: 吴医师    时间: 2010-6-21 06:11
未见明显异常
作者: yangyudong333    时间: 2010-6-21 14:45
未见明显异常。
作者: 张辉9999    时间: 2010-6-21 14:53
未见明显异常改变
作者: 随光逐影    时间: 2010-6-21 19:54
未见明确异常。
作者: 37度    时间: 2010-6-21 21:38
未见明确异常。
作者: ziyoufeixiang    时间: 2010-6-21 23:52
未见明显异常。
作者: kerry999    时间: 2010-7-6 04:22
未见明显异常
作者: sunnyxtj    时间: 2010-7-6 23:16
未见明显异常。
作者: ct诊断高手    时间: 2010-7-10 18:10
未见明显异常。




欢迎光临 医影在线 (http://bbs.radida.com/bbs/) Powered by Discuz! X3.2