医影在线

标题: CT27224:女,43岁,体检发现左肺下叶结节影。 [打印本页]

作者: LDM1993    时间: 2010-6-20 04:41
标题: CT27224:女,43岁,体检发现左肺下叶结节影。
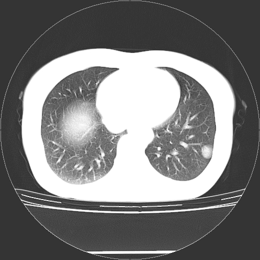
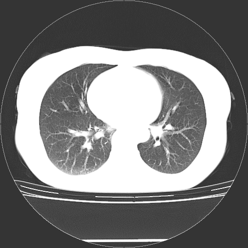
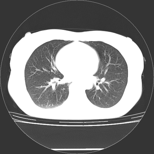
女,43岁,体检发现左肺下叶结节影。



















































[本贴已被 翁志蓬 于 2010-6-19 22:28:09 修改过]

作者: 学者~『风    时间: 2010-6-20 04:47
考虑:炎性假瘤可能性大。
作者: tz0945    时间: 2010-6-20 05:49
左下肺良性病变,腺瘤可能。
作者: 岚儿    时间: 2010-6-20 05:49
左下肺外带胸膜下见孤立实性均匀密度结节影,边缘光整,增强呈渐进性强化,病灶吴分叶征及毛刺征象;支持硬化性血管瘤。
作者: 影像尖兵    时间: 2010-6-20 06:32
考虑良性病变可能性大,错构瘤、炎性假瘤,结核球、硬化性血管瘤、肺副神经节瘤等均有可能。
作者: whmy    时间: 2010-6-20 06:47
左下肺外带胸膜下见孤立实性均匀密度结节影,边缘光整,增强呈渐进性强化,病灶吴分叶征及毛刺征象;支持硬化性血管瘤。
作者: linyiming    时间: 2010-6-20 07:31
考虑左肺下叶基底段错构瘤或硬化性血瘤? 炎症假瘤?
建议病理/
作者: linyiming    时间: 2010-6-20 07:33
肺错构瘤:属良性肿瘤,多见于40岁以上男性,无症状。肿块主要成份是软骨,但常有脂肪、平滑肌、上皮及纤维组织,约90%发生在肺的周边部分。ct表现为边缘光滑的类圆形结节,大多小于4cm,密谋不均匀,常见钙化。边界光滑。ct若发现肺结节内含有脂肪成分有重要诊断价值。
(2)肺炎性假瘤:是肺内慢性炎症产生的肉芽肿,机化、纤维结缔组织增生及相关的继发病变形成的肿块,并非真正的肿瘤。较常见,属肺良性肿瘤第二位。一般无包膜,但肿块较局限。x线表现为圆形椭圆形结节式肿块,有些似有毛刺或分叶,较均匀性强化,有时与肺癌很难鉴别。
(3)肺癌:有些较小的周围型肺癌,病灶边缘无明显细短毛刺及棘状突起,无明显深分叶,纵隔及肺门可以有淋巴结转移
摘录:
硬化性血管瘤为一种良性病变,国内多称之为肺乳头瘤型或硬化性血管瘤型炎性假瘤、肺腺瘤,who列为瘤样病变。
现认为肿瘤实质上与肺类癌和小细胞癌一样,是具有神经内分泌分化特征的肿瘤,但其病理形态和临床经过良好,故命名为“肺良性神经内分泌瘤”。
作者: 施明    时间: 2010-6-20 14:10
良性结节
作者: yuhongjun    时间: 2010-6-20 14:20
肺炎性假瘤。
作者: 卜一    时间: 2010-6-20 15:24
左肺下叶基底段圆形结节,多考虑:错构瘤>硬化性血瘤>炎症假瘤>周围性肺癌!期待结果!
作者: dyqct    时间: 2010-6-20 16:18
左肺下叶外侧基底段圆形结节,多考虑:错构瘤>硬化性血瘤>炎症假瘤>周围性肺癌!期待结果!
作者: 帅河马    时间: 2010-6-20 16:38
肺炎性假瘤可能大。
作者: 蓬莱客    时间: 2010-6-20 17:01
良性结节
作者: 同    时间: 2010-6-20 18:53
考虑 1 炎性假瘤  2 错构瘤。
作者: zxl51642    时间: 2010-6-20 19:33
良性结节,有钙化,强化不明显,考虑软骨性错构瘤。
作者: 草古木子    时间: 2010-6-20 19:41
符合良性结节改变。
作者: 随光逐影    时间: 2010-6-22 02:05
左肺下叶外基底段良性结节(错构瘤?)。
作者: dr.yang    时间: 2013-9-4 17:54
左肺下叶外侧基底段圆形结节,多考虑:错构瘤>硬化性血瘤>炎症假瘤>周围性肺癌!期待结果!




欢迎光临 医影在线 (http://bbs.radida.com/bbs/) Powered by Discuz! X3.2