

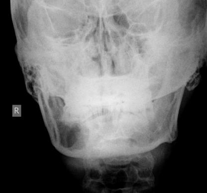
以下是引用吴教授在2010-6-20 14:53:00的发言:[br]右侧下颌骨见单房状较大囊状透光区,期内未见未见间隔,牙根部分吸收及受压移位,我考虑;2造釉细胞瘤可能性大。2不除外颌骨囊肿。
以下是引用拾荒者在2010-6-20 20:44:00的发言:[br]下颌囊状透亮影透光度较好,密度均匀,无分隔,囊壁光滑完整,无分叶及切迹,囊内有正常牙根及牙根吸收表现,首先考虑巨大根尖囊肿;应该与单房型造釉细胞瘤及单房型巨细胞瘤鉴别。
以下是引用吴教授在2010-6-20 14:53:00的发言:[br]右侧下颌骨见单房状较大囊状透光区,期内未见未见间隔,牙根部分吸收及受压移位,我考虑;2造釉细胞瘤可能性大。2不除外颌骨囊肿。
| 欢迎光临 医影在线 (http://bbs.radida.com/bbs/) | Powered by Discuz! X3.2 |