医影在线

标题: CT27262:左股骨上段骨肿瘤 [打印本页]

作者: wd8929053    时间: 2010-6-22 01:52
标题: CT27262:左股骨上段骨肿瘤
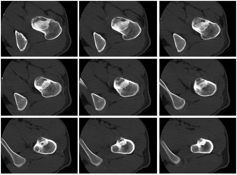
男性,27岁,左髋部疼痛两三个月余,右侧髂骨因右侧股骨下端骨折,取骨植骨后改变




[本贴已被 翁志蓬 于 2010-6-21 23:39:07 修改过]

作者: 联众之王    时间: 2010-6-22 02:00
临骨囊肿或者低毒感染
作者: xiongneo    时间: 2010-6-22 02:11
临骨囊肿或者低毒感染  
   

联众之王说
支持
作者: linyiming    时间: 2010-6-22 02:41
临骨囊肿或者低毒感染
作者: yuhongjun    时间: 2010-6-22 03:09
内生软骨瘤病。
作者: zxl51642    时间: 2010-6-22 03:13
磨玻璃样,男27岁考虑骨纤。
作者: fanxinyu    时间: 2010-6-22 03:14
内生软骨瘤病。
作者: JSDTD    时间: 2010-6-22 03:47
低毒性感染可能大
作者: pujunzhi    时间: 2010-6-22 03:52
考虑左侧股骨颈及粗隆骨纤维异常增殖症。
作者: JSDTD    时间: 2010-6-22 04:08
临骨囊肿是什么呢,哪位老师明示
作者: 蓬莱客    时间: 2010-6-22 04:45
骨纤
作者: dyqct    时间: 2010-6-22 04:51
考虑左侧股骨颈及粗隆骨纤维异常增殖症。支持!
作者: jsgdoctor    时间: 2010-6-22 05:39
磨玻璃样,男27岁考虑骨纤。
作者: liyf    时间: 2010-6-22 05:40
支持骨纤.
作者: liyf    时间: 2010-6-22 05:44
有临骨囊肿的吗?产妇前面加临=临产妇,骨囊肿前面加临=临骨囊肿?
作者: 影像尖兵    时间: 2010-6-22 05:51
支持临骨囊肿并反应性骨质增生硬化。
作者: 随光逐影    时间: 2010-6-22 05:55
考虑左侧股骨颈及粗隆骨纤维异常增殖症。
作者: 37度    时间: 2010-6-22 06:51
骨纤或内生软骨瘤。
作者: dhlyq    时间: 2010-6-22 08:08
考虑左侧股骨颈及粗隆骨纤维异常增殖症。
作者: 施明    时间: 2010-6-22 12:55
骨纤
作者: zsl6918    时间: 2010-6-22 14:28
考虑骨样骨瘤可能性大
作者: 帅河马    时间: 2010-6-22 14:43
考虑左侧股骨颈及粗隆骨纤维异常增殖症。
作者: 同    时间: 2010-6-22 16:14
标题: 回复:ct27262:左股骨上段骨肿瘤
以下是引用pujunzhi在2010-6-21 19:52:00的发言:[br]考虑左侧股骨颈及粗隆骨纤维异常增殖症。

作者: DDN    时间: 2010-6-22 16:29
骨纤可能。
作者: dr.yang    时间: 2013-9-4 18:14
磨玻璃样,男27岁考虑骨纤。




欢迎光临 医影在线 (http://bbs.radida.com/bbs/) Powered by Discuz! X3.2