医影在线

标题: CT27299:胸部CT发热 38-39度 [打印本页]

作者: lihuuuu    时间: 2010-6-23 19:06
标题: CT27299:胸部CT发热 38-39度
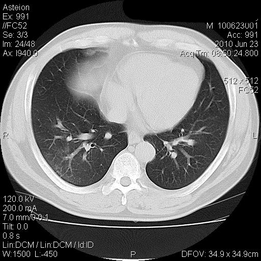
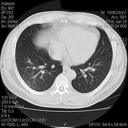
男 41岁 因发烧38-39度 这几天消炎治疗
化验结果 中性粒细胞比率升高(80.9) 淋巴细胞比率下降(10.2) 红细胞压积下降(33.4)
     血小板平均分布密度升高(18.9) 
     余全正常










































































感谢jsdtd战友提醒 昨天批量上传不知为什么下部肺窗上传失败























[本贴已被 lihuuuu 于 2010-6-24 9:35:04 修改过]

作者: 深泽交通    时间: 2010-6-23 19:29
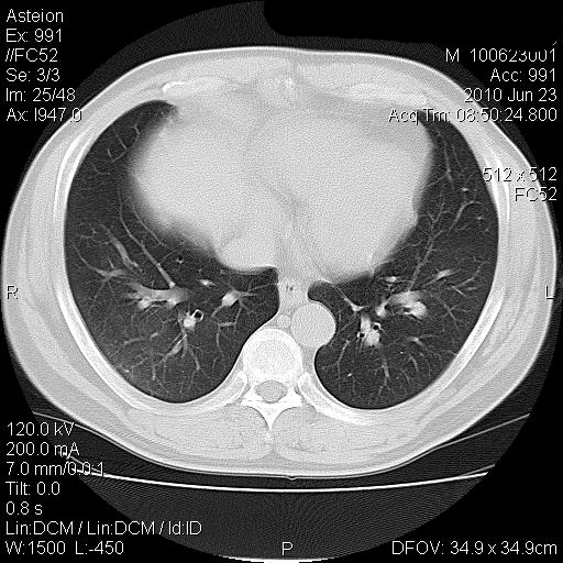
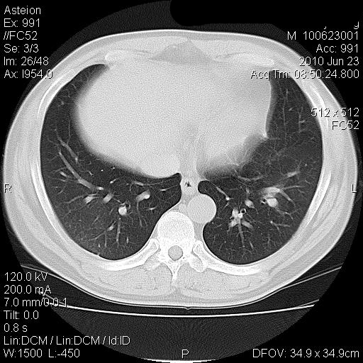
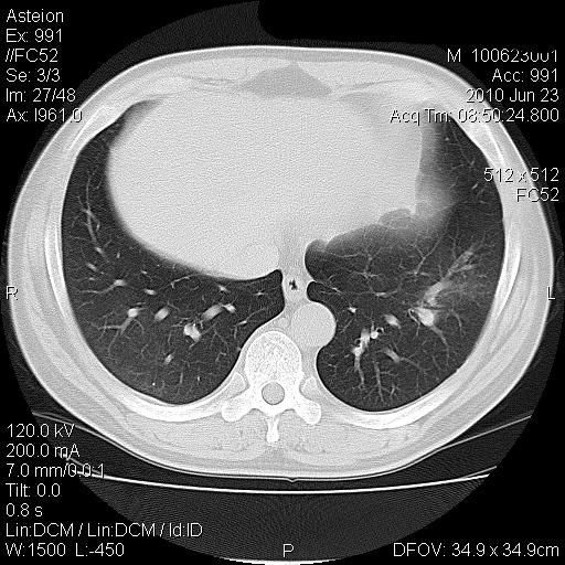
双肺炎性灶【密度高 局限 考虑金葡菌 产血浆凝固酶所致】
作者: sdzyy    时间: 2010-6-23 20:09
病灶位于两上肺及右肺下叶背段,建议抗炎治疗后复查;结核不排外。
作者: 浪哥    时间: 2010-6-23 20:15
双肺炎性渗出病变,以右下肺为著。考虑金葡菌感染。
作者: 学者~『风    时间: 2010-6-23 20:29
支持:双肺炎性病灶,考虑金葡菌感染。
作者: lyb999    时间: 2010-6-23 20:37
双肺多发炎性病灶,考虑金葡菌感染。
作者: 心路寻觅    时间: 2010-6-23 22:16
支持:两肺感染性病变,建议抗炎治疗后复查!
作者: jsdtd    时间: 2010-6-23 22:19
多灶性肺炎可能大,建议治疗后复查。
没给全肺窗,在纵隔窗im27-31左膈上结节灶,倒可提示肺ca肺内转移可能,右肺炎。
作者: 施明    时间: 2010-6-23 22:24
炎症
作者: 卜一    时间: 2010-6-23 23:00
病灶位于两上肺及右肺下叶背段,建议抗炎治疗后复查;结核不排外。支持!
作者: 帅河马    时间: 2010-6-23 23:34
病灶位于两上肺及右肺下叶背段,建议抗炎治疗后复查;结核不排外。
支持
作者: 同    时间: 2010-6-24 00:53
多灶性肺炎可能性大,建议抗炎后复查。
作者: tao772    时间: 2010-6-24 00:59
病灶位于两上肺及右肺下叶背段,建议抗炎治疗后复查;结核不排外。支持!
作者: ct诊断高手    时间: 2010-6-24 01:05
支持大家
作者: sunbin    时间: 2010-6-24 01:13
两肺多发结节斑块影,右下见支气管气相,支持两肺多灶性感染,抗炎治疗后复查。
作者: muzi888    时间: 2010-6-24 01:38
病灶位于两上肺及右肺下叶背段,建议抗炎治疗后复查;结核不排外。
支持
作者: 随光逐影    时间: 2010-6-24 02:10
两肺上叶及右肺下叶感染性病变;建议抗炎治疗后复查。
作者: jiajie    时间: 2010-6-24 05:10
双肺多发大小不等的团片状病灶,周围较模糊可见晕征,未见明显分叶征,纵膈淋巴结未见肿大。
考虑炎性病变。
作者: 向医生    时间: 2010-6-24 06:00
双肺多发大小不等的团片状病灶可见于肺部炎性肉芽肿,也可见于肺淋巴瘤、肺淋巴瘤样肉芽肿、肺结核、肺部肿瘤,本例的影像表现结合临床考虑肺部炎性病灶。
作者: zxl51642    时间: 2010-6-24 07:45
先考虑常见病。两肺上叶及右肺下叶感染性病变;建议抗炎治疗后复查。
作者: lihuuuu    时间: 2010-6-26 17:07
痰培养+药敏试验结果
耐甲氧西林金黄色葡萄球菌生长
敏感:头孢哌酮、舒巴坦、头孢曲松、头孢噻肟、阿齐酶素
耐药:万古霉素、笨唑西林、
中介:克林霉素
作者: lihuuuu    时间: 2010-6-27 22:14
ppd试验阴性
作者: lihuuuu    时间: 2010-7-13 17:19
标题: 回复:ct27299:胸部ct发热 38-39度
患者消炎治疗(第三代头孢类)两周后复查ct片






















































































作者: ctkz987    时间: 2010-7-13 17:46
有结果,好病例,学习了,支持楼主多发这样的好贴
作者: dr.yang    时间: 2013-9-10 23:54
两肺上叶及右肺下叶感染性病变;建议抗炎治疗后复查。结果消炎吸收




欢迎光临 医影在线 (http://bbs.radida.com/bbs/) Powered by Discuz! X3.2