医影在线

标题: CT27317:脑梗塞? [打印本页]

作者: seeqi2008    时间: 2010-6-24 05:09
标题: CT27317:脑梗塞?
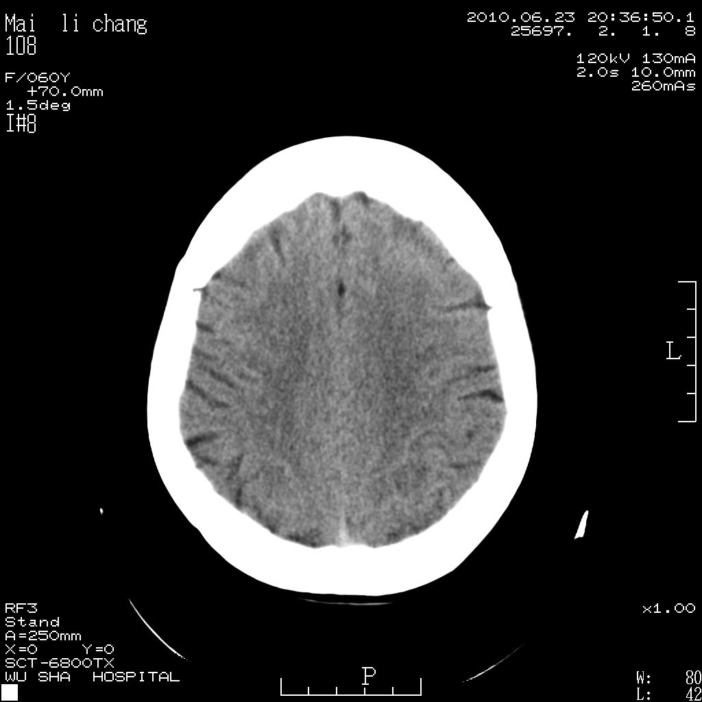
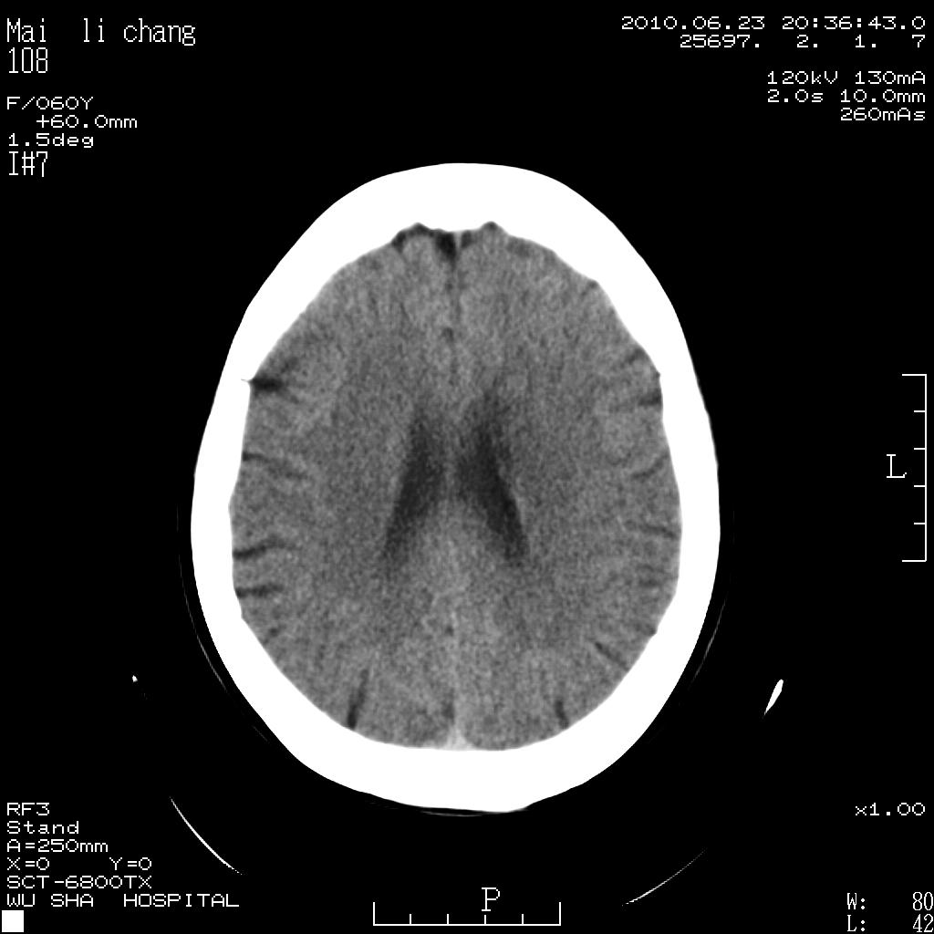
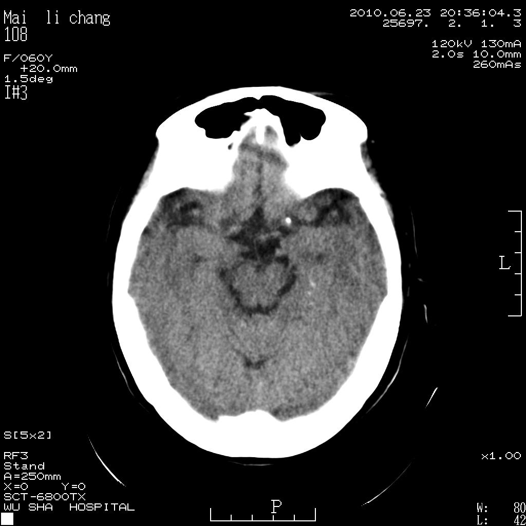
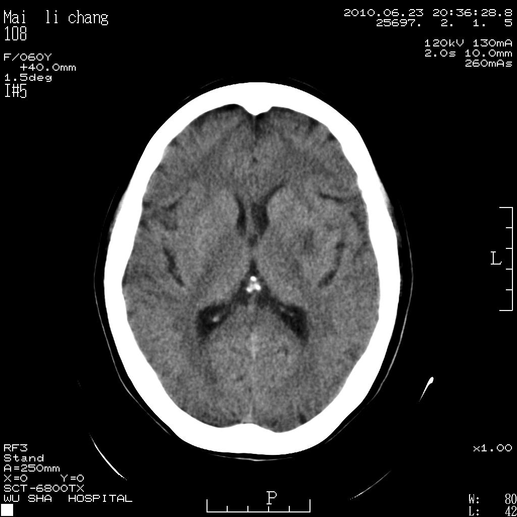
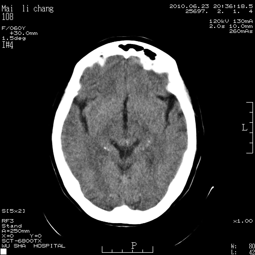
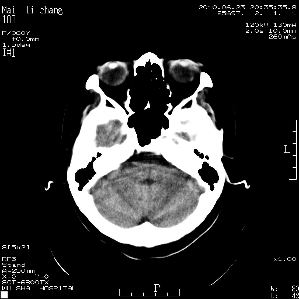
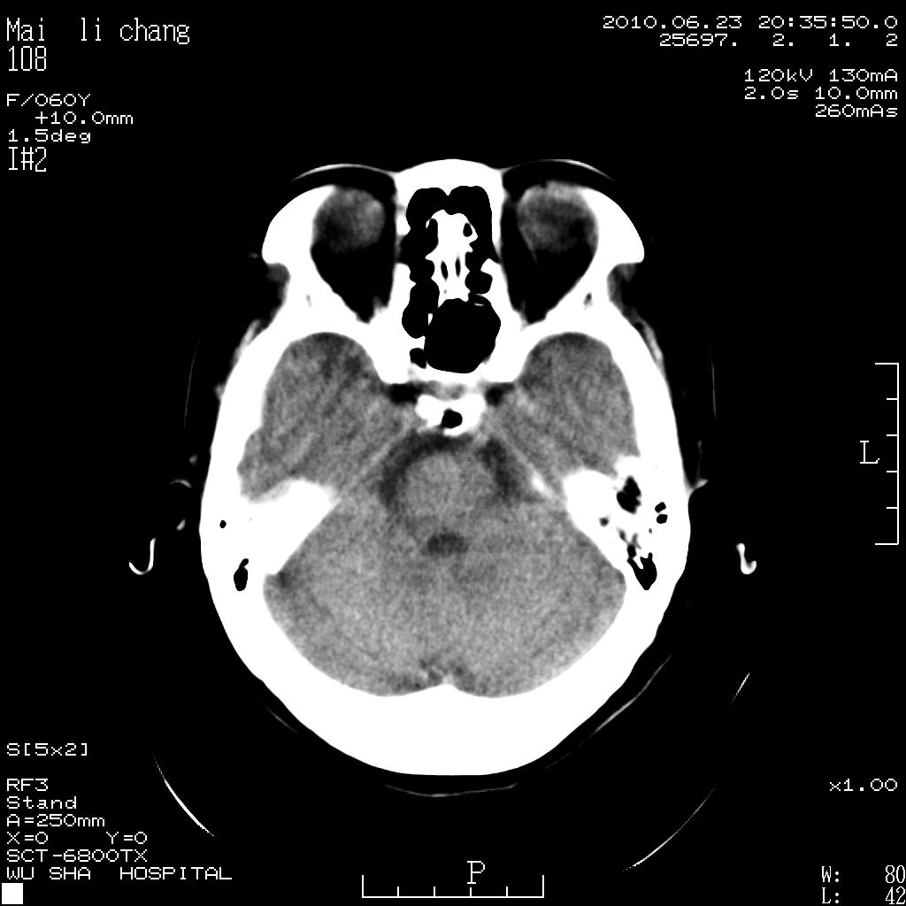
女性,60岁,右手无力一天
脑梗塞?并皮层下动脉硬化性脑病?还需要考虑什么?请大家指导,先谢了。













[本贴已被 jiajie 于 2010-6-23 22:09:04 修改过]

作者: 山东凡人    时间: 2010-6-24 05:24
结合临床考虑梗塞,但看图片又不太像,面积太大,上下层面太少、
作者: 光线    时间: 2010-6-24 05:35
考虑左侧基底节区脑梗塞。

从提供的临床资料及影像检查不考虑皮层下动脉硬化性脑病。
作者: 卜一    时间: 2010-6-24 05:57
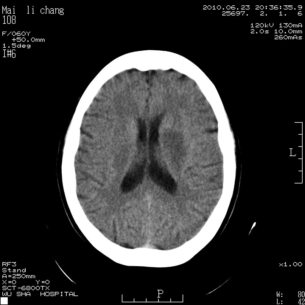
左侧基底节区及放射冠区多发脑梗塞。
作者: leon.lu    时间: 2010-6-24 06:14
左侧基底节区及侧脑室旁多发脑梗塞
作者: caobaoguo    时间: 2010-6-24 06:23
标题: 回复:ct27317:脑梗塞?
以下是引用leon.lu在2010-6-23 22:14:00的发言:[br]左侧基底节区及侧脑室旁多发脑梗塞

作者: jsgdoctor    时间: 2010-6-24 06:34
考虑左侧基底节区脑梗塞。
作者: liangshusheng    时间: 2010-6-24 06:58
考虑左侧梗塞灶
作者: zxl51642    时间: 2010-6-24 07:18
左侧基底节区及侧脑室旁多发脑梗塞
作者: 医中人    时间: 2010-6-24 07:30
左侧基底节区腔隙性脑梗塞。
作者: xiaoniu684    时间: 2010-6-24 08:03
1.病人60岁,右手无力一天。
2.左侧基底节区可见片状低密度病灶。
意见考虑脑梗塞。
建议测量ct值及病灶大小
作者: 施明    时间: 2010-6-24 12:57
梗塞
作者: yuhongjun    时间: 2010-6-24 13:44
左侧基底节区及放射冠区多发脑梗塞。
作者: DDN    时间: 2010-6-24 15:57
左侧基底节区脑梗塞。支持!
作者: 柯建生    时间: 2010-6-24 17:04
左侧基底节区大面积梗塞,必要增强扫描协诊
作者: muzi888    时间: 2010-6-24 17:15
左侧基底节区及侧脑室旁多发脑梗塞
作者: 随光逐影    时间: 2010-6-24 18:07
左侧基底节及放射冠区脑梗塞。
作者: 吴医师    时间: 2010-6-24 19:06
左侧基底节区及侧脑室旁多发脑梗塞
作者: sdzyy    时间: 2010-6-24 20:08
左侧基底节区及侧脑室旁多发脑梗塞
作者: chinanyd    时间: 2010-6-25 00:46
多发性脑梗死
作者: jiazhirong    时间: 2010-6-25 02:37
左侧基底节区脑梗塞。




欢迎光临 医影在线 (http://bbs.radida.com/bbs/) Powered by Discuz! X3.2