医影在线
标题: X7569:男19Y,48天前曾被诊断右 [打印本页]
作者: dr.yang 时间: 2010-6-25 03:23
标题: X7569:男19Y,48天前曾被诊断右
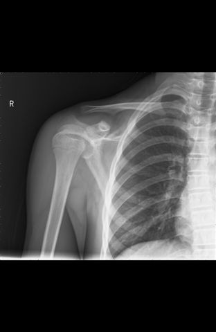
高处跌落,48天前曾被诊断右肱骨外科颈骨折,
一月前及今天复查,我感觉是骨骺线呀……
48天前第一次拍片:


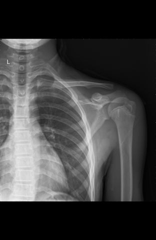
当天对侧对比:

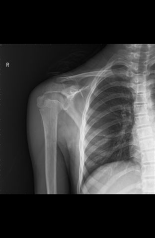
1月前复查:

今天:

[本贴已被 dr.yang 于 2010-6-24 19:25:31 修改过]
[本贴已被 jiajie 于 2010-6-24 20:39:59 修改过]
作者: 奥特之父 时间: 2010-6-25 04:10
正常,复查未见骨膜影,再结合临床症状,不行多角度看一下。
作者: 拾荒者 时间: 2010-6-25 04:38
标题: 回复:男19y,48天前曾被诊断右
以下是引用奥特之父在2010-6-24 20:10:00的发言:[br]正常,复查未见骨膜影,再结合临床症状,不行多角度看一下。
支持正常表现。
作者: zxl51642 时间: 2010-6-25 05:01
不好说,感觉原始片不太顺眼,颈部内侧要考虑骨折,结合受伤部位及疼痛点。
作者: 康鹏 时间: 2010-6-25 05:03
不能除外骨折
作者: 随光逐影 时间: 2010-6-25 05:20
不排除骨折;建议行ct扫描或mri检查。
作者: 黑白光影 时间: 2010-6-25 05:32
第一片及一月前复查片肱骨外科颈下内缘均象有骨折,因为每次肱骨体位不同所显示不同,应维持考虑骨折诊断,建议复查或作ct或mri检查。
作者: 谢建春 时间: 2010-6-25 05:40
标题: 回复:x7569:男19y,48天前曾被诊断右
以下是引用黑白光影在2010-6-24 21:32:00的发言:[br]第一片及一月前复查片肱骨外科颈下内缘均象有骨折,因为每次肱骨体位不同所显示不同,应维持考虑骨折诊断,建议复查或作ct或mri检查。
作者: dr.yang 时间: 2010-6-25 07:23
这么年轻,果是骨折48天也应该有骨痂生成吧,而不是像现在:样低密度影这样光滑
作者: xiongneo 时间: 2010-6-25 07:33
一片及一月前复查片肱骨外科颈下内缘均象有骨折,因为每次肱骨体位不同所显示不同,应维持考虑骨折诊断,建议复查或作ct或mri检查。
作者: 张辉9999 时间: 2010-6-25 15:21
不排除骨折;建议行ct扫描或mri检查。
作者: 吴医师 时间: 2010-6-25 17:00
标题: 回复:x7569:男19y,48天前曾被诊断右
以下是引用dr.yang在2010-6-24 23:23:00的发言:[br]这么年轻,果是骨折48天也应该有骨痂生成吧,而不是像现在:样低密度影这样光滑
作者: zhanggenliang 时间: 2010-6-25 17:14
标题: 回复:x7569:男19y,48天前曾被诊断右
以下是引用黑白光影在2010-6-24 21:32:00的发言:[br]第一片及一月前复查片肱骨外科颈下内缘均象有骨折,因为每次肱骨体位不同所显示不同,应维持考虑骨折诊断,建议复查或作ct或mri检查。
肱骨外科颈内下缘走形不自然,还是应该考虑到骨折
作者: luoxinjun 时间: 2010-6-25 19:22
一片及一月前复查片肱骨外科颈下内缘均象有骨折,因为每次肱骨体位不同所显示不同,应维持考虑骨折诊断,建议复查或作ct或mri检查。
作者: sunbin 时间: 2010-6-25 19:49
右肱骨骨骺骨折治疗前后改变。
作者: nakatashi 时间: 2010-6-25 23:46
支持正常!
作者: 谨言慎行 时间: 2010-6-26 00:11
标题: 回复:x7569:男19y,48天前曾被诊断右
以下是引用黑白光影在2010-6-24 21:32:00的发言:[br]第一片及一月前复查片肱骨外科颈下内缘均象有骨折,因为每次肱骨体位不同所显示不同,应维持考虑骨折诊断,建议复查或作ct或mri检查。
作者: JSDTD 时间: 2010-6-26 00:38
第一张片感觉外科不顺,提示外科颈骨折可能。随访
作者: whmy 时间: 2010-6-26 01:07
第一片及一月前复查片肱骨外科颈下内缘均象有骨折,因为每次肱骨体位不同所显示不同,应维持考虑骨折诊断,建议复查或作ct或mri检查。
作者: wangjie 时间: 2010-6-26 03:19
要考虑骨折。
作者: 王宛龙 时间: 2010-6-26 04:19
是骨折,裂纹骨折,小孩48天就长好不奇怪。
作者: ctl258 时间: 2010-6-26 04:34
标题: 回复:x7569:男19y,48天前曾被诊断右
以下是引用黑白光影在2010-6-24 21:32:00的发言:[br]第一片及一月前复查片肱骨外科颈下内缘均象有骨折,因为每次肱骨体位不同所显示不同,应维持考虑骨折诊断,建议复查或作ct或mri检查。
作者: 江广1996 时间: 2010-6-26 06:47
第一次诊断为骨折是正确的,看左侧对比,右肱骨上段内侧的骨质有轻微凹陷。
作者: yongbest 时间: 2010-6-28 02:18
标题: 回复:x7569:男19y,48天前曾被诊断右
以下是引用黑白光影在2010-6-24 21:32:00的发言:[br]第一片及一月前复查片肱骨外科颈下内缘均象有骨折,因为每次肱骨体位不同所显示不同,应维持考虑骨折诊断,建议复查或作ct或mri检查。
作者: fanxinyu 时间: 2010-6-28 02:18
右肱骨颈部内侧要考虑骨折,结合受伤部位及疼痛点。
作者: dr.yang 时间: 2010-6-30 07:19
我院ct诊断结果考虑骨骺线。
请看同样的http://www.radida.com/radinet/read.php?tid=67833
作者: kerry999 时间: 2010-7-3 07:34
我觉得还是维持原诊断好
| 欢迎光临 医影在线 (http://bbs.radida.com/bbs/) |
Powered by Discuz! X3.2 |