医影在线
标题: CT27340:肝脏病变? [打印本页]
作者: ayi 时间: 2010-6-25 06:09
标题: CT27340:肝脏病变?
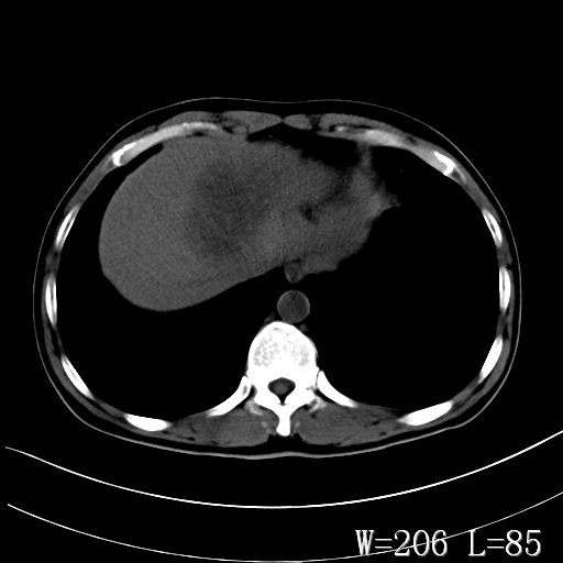
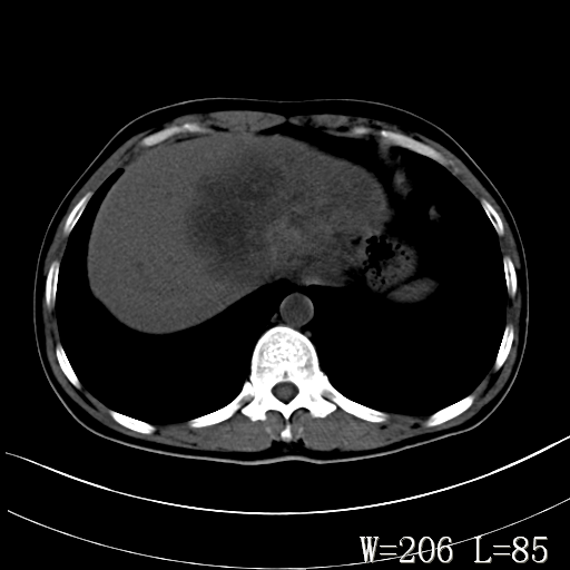
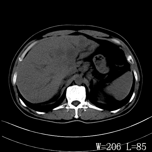
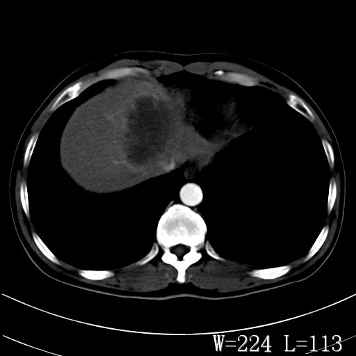
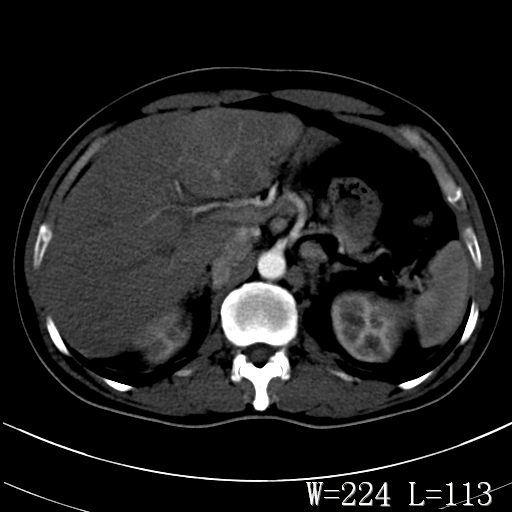
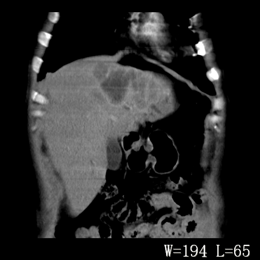
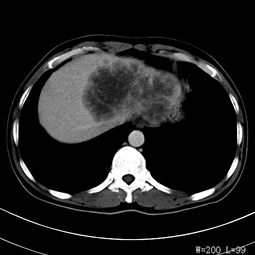
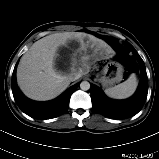
男,45岁,发热、乏力半月,午后为主。






























[本贴已被 翁志蓬 于 2010-6-24 22:35:46 修改过]
作者: 影像尖兵 时间: 2010-6-25 07:07
对比剂快进快出,首先考虑肝左叶巨块型肝癌。
作者: 影像尖兵 时间: 2010-6-25 07:10
其次,感染性病变,如肝脓疡不排除。
作者: zxl51642 时间: 2010-6-25 07:11
标题: 222
肝脓肿可能。
[本贴已被 zxl51642 于 2010-6-24 23:13:58 修改过]
作者: 联众之王 时间: 2010-6-25 07:12
蜂巢,肝脓肿
作者: xiongneo 时间: 2010-6-25 07:57
蜂巢,肝脓肿
作者: yuhongjun 时间: 2010-6-25 13:49
考虑:肝脓肿。
作者: 蓬莱客 时间: 2010-6-25 16:03
肝脓肿。
作者: 施明 时间: 2010-6-25 16:21
感染性病变
作者: DDN 时间: 2010-6-25 16:34
蜂巢状,支持!肝脓肿的诊断。
作者: yuanmeng 时间: 2010-6-25 16:34
考虑肝脓肿,请查血象
作者: jsgdoctor 时间: 2010-6-25 16:52
考虑感染
作者: 吴医师 时间: 2010-6-25 17:34
考虑:肝脓肿。
作者: 随光逐影 时间: 2010-6-26 03:55
考虑肝内胆管细胞癌。
作者: dr.yang 时间: 2013-9-4 22:54
肝脓肿可能。
作者: dr.yang 时间: 2013-9-6 06:56
蜂巢状,支持!肝脓肿的诊断。
| 欢迎光临 医影在线 (http://bbs.radida.com/bbs/) |
Powered by Discuz! X3.2 |