
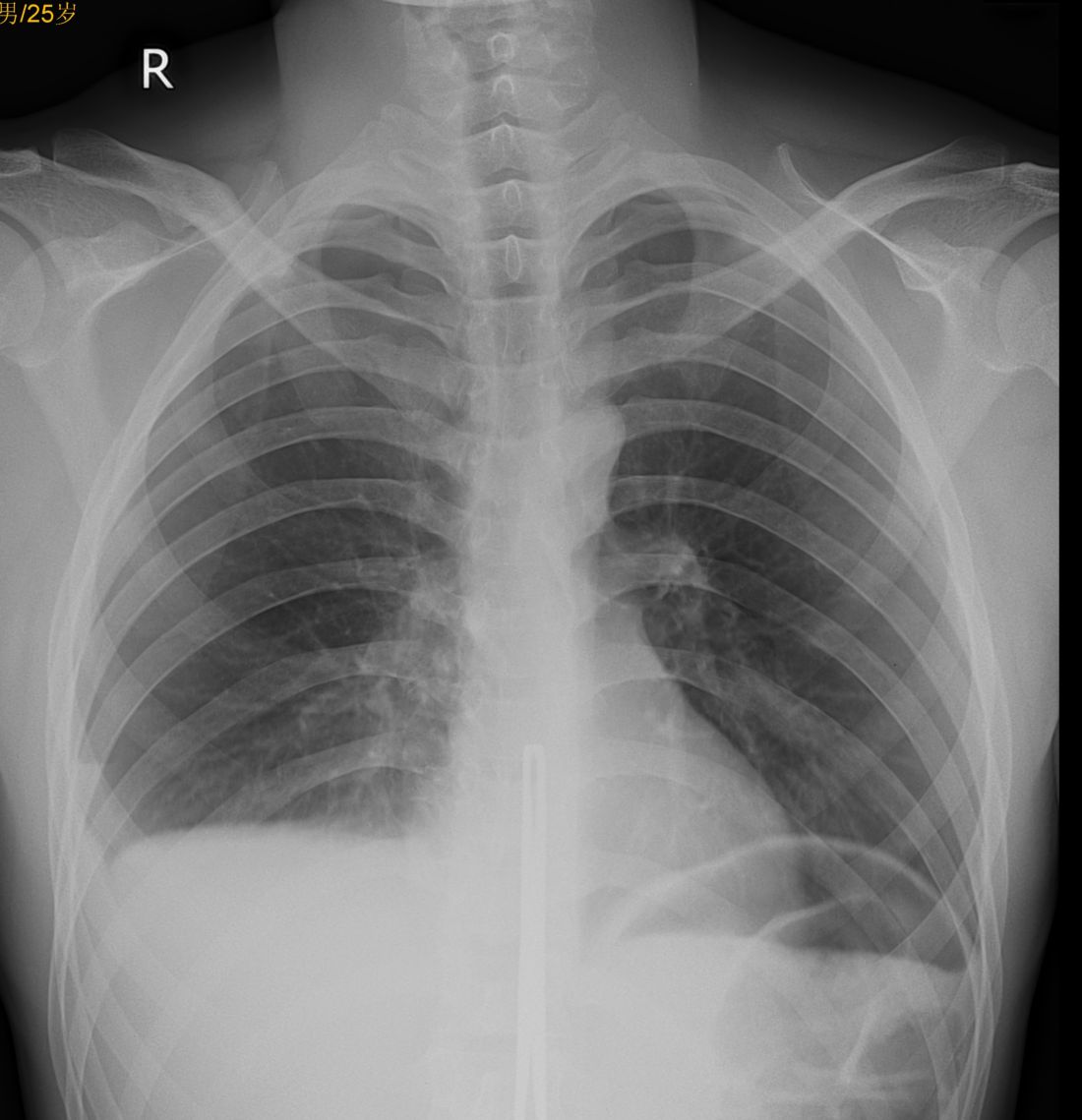
以下是引用zxl51642在2010-6-24 23:19:00的发言:[br]右侧胸腔积液,左侧膈下为间位结肠。[br]
以下是引用sunbin在2010-6-25 12:49:00的发言:[br]右侧胸腔积液(血),建议ct检查。
以下是引用dr.yang在2010-6-24 23:11:00的发言:[br]右侧血胸;[br]左侧膈下气腹;[br]胸腰段重叠处金属异物影
以下是引用sunbin在2010-6-25 12:49:00的发言:[br]右侧胸腔积液(血),建议ct检查。
| 欢迎光临 医影在线 (http://bbs.radida.com/bbs/) | Powered by Discuz! X3.2 |