













































































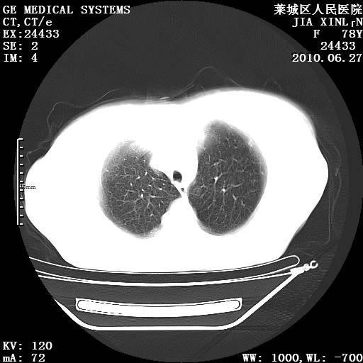
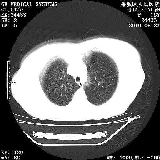
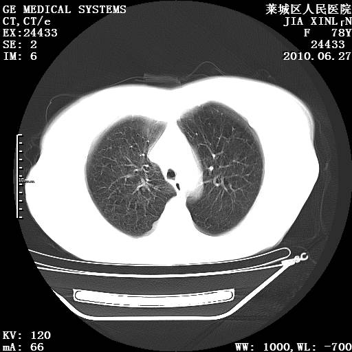
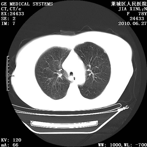
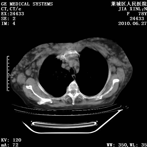
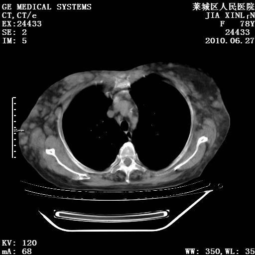
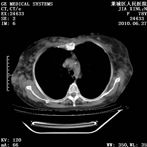
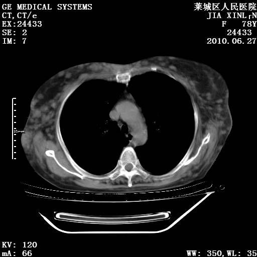
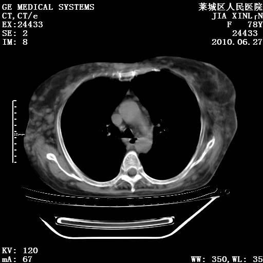
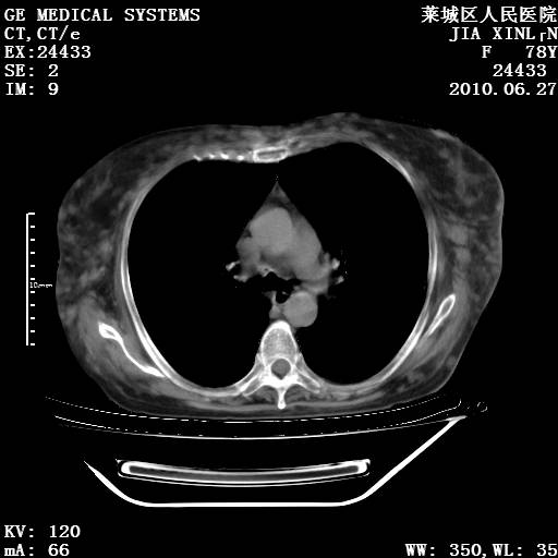
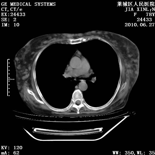
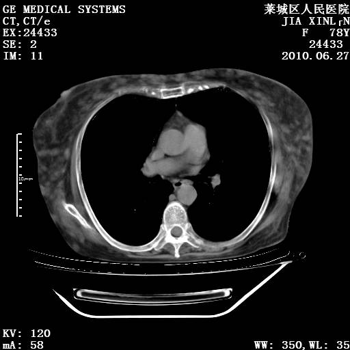
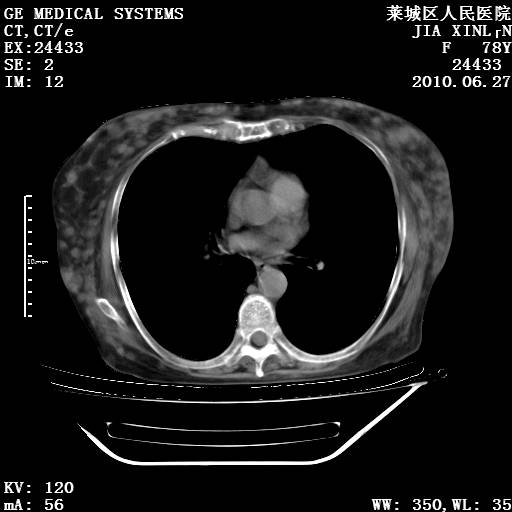
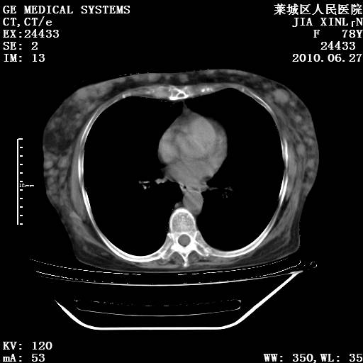
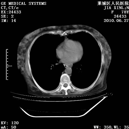
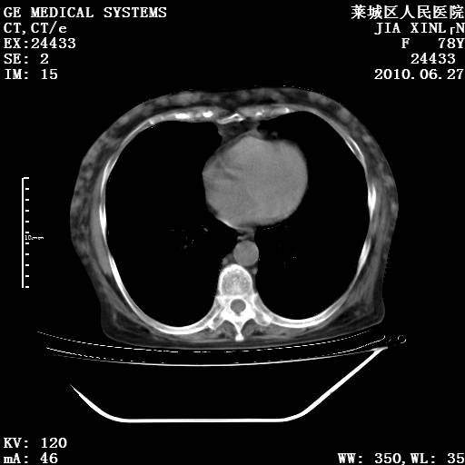
以下是引用胡宇在2010-7-2 19:11:00的发言:[br]神经纤维瘤的特点为:肿块呈多发性、数目不定,少的几个,多的可成百上千难以计数。小的如米粒,大的似拳头,甚至可达十数公斤以上。可松弛地悬挂于皮表,皱褶及松弛可致畸形明显。神经纤维瘤沿神经干的走向生长时呈念珠状,或蚯蚓块状形结节。此外神经纤维瘤皮肤可出现咖啡斑,大小不一,形如雀斑小点状,或大片状,分布与神经纤维瘤肿块的分布无关。肿瘤数目不多的患者,皮肤色素咖啡斑状沉着是纤维神经瘤的重要诊断之一。 本病多发于躯干,有时出现于四肢及面部,患者常合并许多疾病应予重视加以区别。 [br] [br] [br] [br]lyb999说 [br]
| 欢迎光临 医影在线 (http://bbs.radida.com/bbs/) | Powered by Discuz! X3.2 |