医影在线

标题: CT27449:上腹部CT平扫 [打印本页]

作者: 同    时间: 2010-7-2 23:37
标题: CT27449:上腹部CT平扫
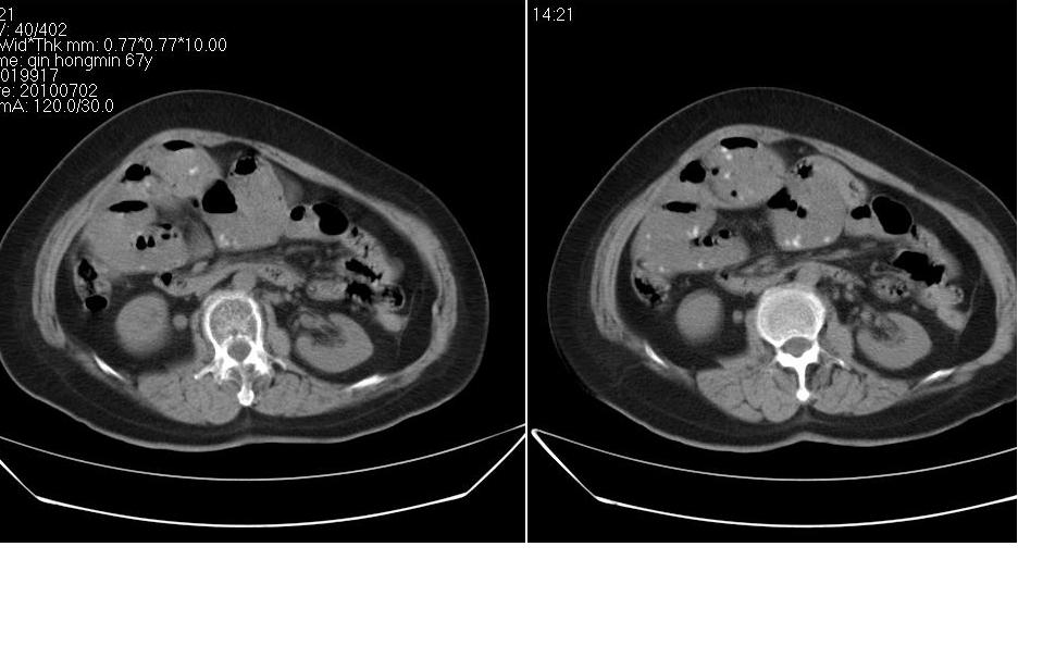
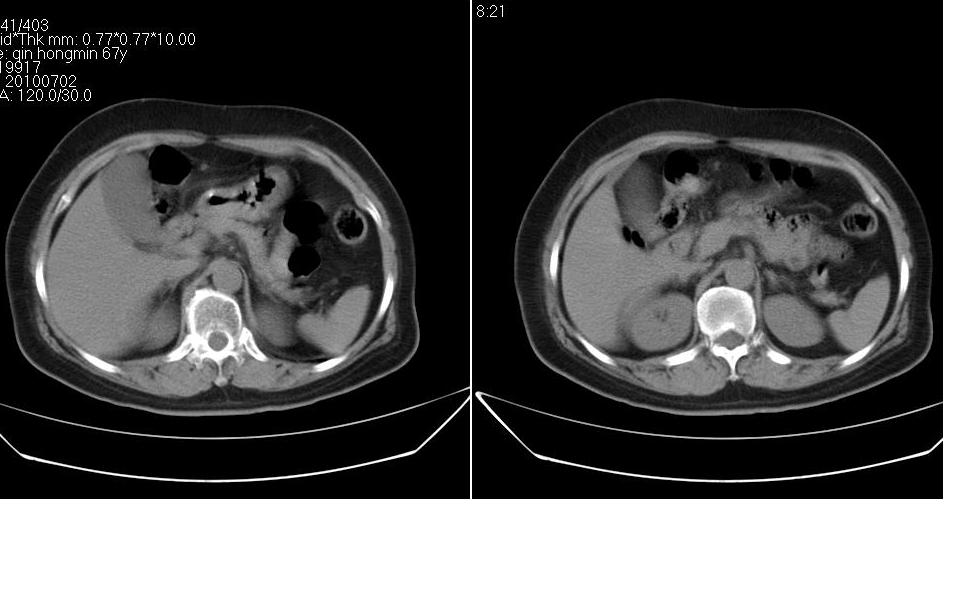
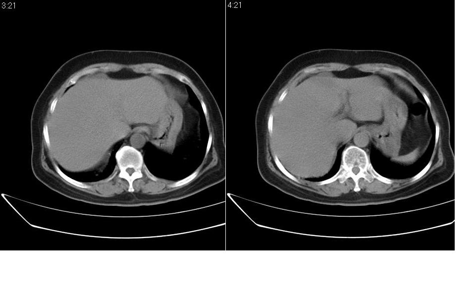
女 67岁,以腹疼就诊,不发热,八年前有肠梗阻病史,炎热的夏天,下午又吃了两块西瓜及两个桃子,以后无大便,不放屁。












[本贴已被 jiajie 于 2010-7-3 6:23:08 修改过]

作者: 卜一    时间: 2010-7-2 23:47
肠梗阻 粪石形成!
作者: 施明    时间: 2010-7-2 23:56
卜一说的对
作者: lyb999    时间: 2010-7-3 00:00
肠梗阻
作者: 随光逐影    时间: 2010-7-3 01:11
考虑:腹内疝并肠梗阻。
作者: jiazhirong    时间: 2010-7-3 01:22
肠梗阻 粪石形成!
作者: yuhongjun    时间: 2010-7-3 02:22
肠梗阻 粪石形成!
作者: jsdtd    时间: 2010-7-3 02:41
肠梗阻
作者: 37度    时间: 2010-7-3 02:47
标题: 回复:上腹部ct平扫
以下是引用随光逐影在2010-7-2 17:11:00的发言:[br]考虑:腹内疝并肠梗阻。

作者: wansheng    时间: 2010-7-3 16:34
标题: 回复:ct27449:上腹部ct平扫
以下是引用yuhongjun在2010-7-2 18:22:00的发言:[br]肠梗阻 粪石形成!  [br] [br]

作者: zxl51642    时间: 2010-7-3 17:40
右侧腹部膨隆左侧塌陷,小肠积气积液扩张,肠袢迂曲扭转,远侧肠曲无异常,考虑高位肠梗阻,小肠扭转可能,具体可能为3、4组,建议扫描全腹。此外胆囊大。先对症保守治疗,必要时手术。
腹内疝很罕见的,此处可发生盲肠旁疝但不符。那个是粪石??




欢迎光临 医影在线 (http://bbs.radida.com/bbs/) Powered by Discuz! X3.2