医影在线

标题: 请您会诊,帮我解惑,谢谢 [打印本页]

作者: aa13877358820    时间: 2010-7-3 02:58
标题: 请您会诊,帮我解惑,谢谢
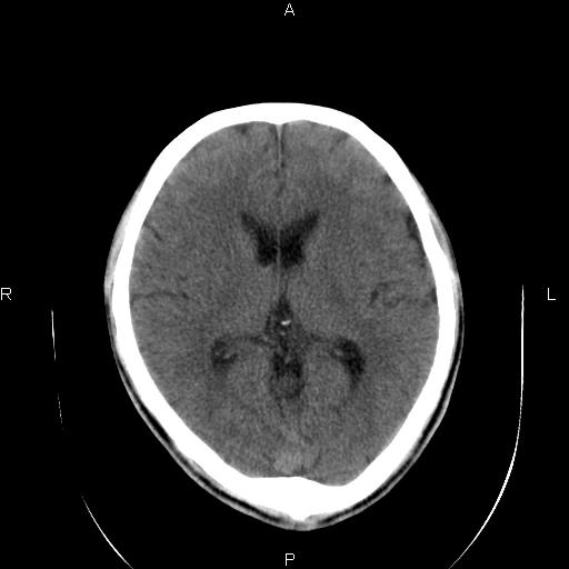
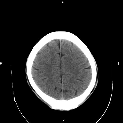
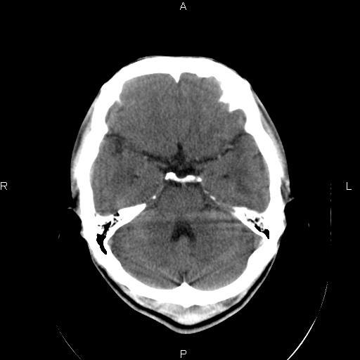
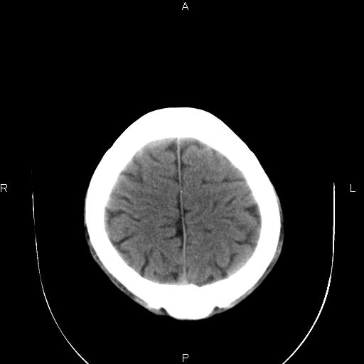
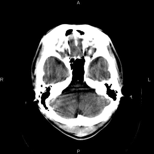
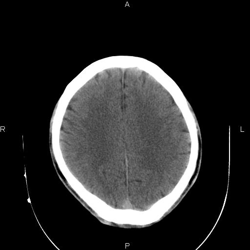
男性,40岁,反复头痛,视物旋转一月余,无呕吐,pe未见明确异常。









作者: aa13877358820    时间: 2010-7-3 03:01
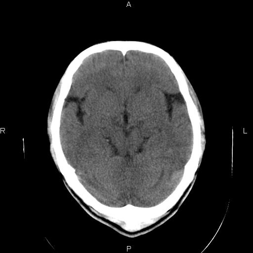
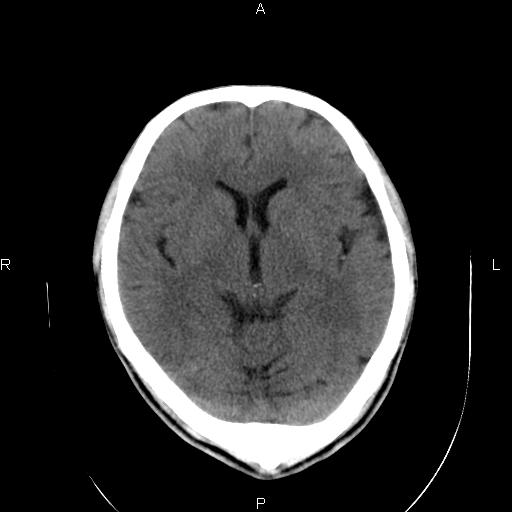
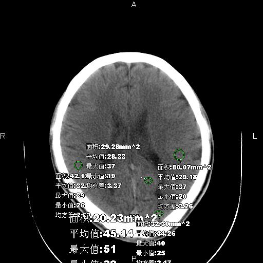
我的问题是上矢状窦高密度怎么解释?请各位专家不吝指教,谢谢!
作者: 拾荒者    时间: 2010-7-3 04:43
可结合增强或mrv检查除外上矢状窦血栓。
作者: zxl51642    时间: 2010-7-3 05:25
未见明显异常,必要时mri
作者: 37度    时间: 2010-7-3 05:33
标题: 回复:请您会诊,帮我解惑,谢谢
以下是引用zxl51642在2010-7-2 21:25:00的发言:[br]未见明显异常,必要时mri

作者: 王国学    时间: 2010-7-3 05:45
未见明显异常,必要时mri
作者: zhanggenliang    时间: 2010-7-3 06:51
未见明显异常改变。必要时mri检查
作者: DDN    时间: 2010-7-3 06:53
未见明显异常改变。必要时mri检查  支持!
作者: 同    时间: 2010-7-3 16:01
颅脑平扫未见异常,必要时mri检查。
作者: 随光逐影    时间: 2010-7-3 16:04
颅脑ct轴位平扫颅内未见明确异常;建议必要时行mri检查。
作者: zsl6918    时间: 2010-7-3 16:07
不放心就做个mr.




欢迎光临 医影在线 (http://bbs.radida.com/bbs/) Powered by Discuz! X3.2