医影在线

标题: PED3324:男 10岁 右侧 眼不自主抽动 自感颈部不适 [打印本页]

作者: wsqyg    时间: 2010-7-3 04:42
标题: PED3324:男 10岁 右侧 眼不自主抽动 自感颈部不适






















[本贴已被 jiajie 于 2010-7-3 6:55:18 修改过]

作者: 杀毒软件    时间: 2010-7-3 05:05
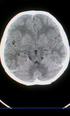
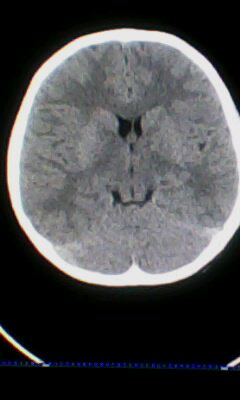
蛛网膜下腔出血。
作者: panyishengct    时间: 2010-7-3 05:56
正常
作者: 37度    时间: 2010-7-3 06:13
未见明显异常。
作者: yuhongjun    时间: 2010-7-3 14:00
未见明显异常。
作者: DDN    时间: 2010-7-3 15:37
蛛网膜下腔出血可能。
作者: 同    时间: 2010-7-3 16:36
未见明显异常!
作者: zxl51642    时间: 2010-7-3 16:44
未见明显异常!
作者: 随光逐影    时间: 2010-7-3 19:01
颅脑ct轴位平扫颅内未见明确异常;建议必要时行mri检查。
作者: 拾荒者    时间: 2010-7-3 22:21
窗调的不好,图像感觉怪怪的,不好说有什么明显异常,可建议mri检查。
作者: lyb999    时间: 2010-7-5 01:06
未见明显异常!
作者: dyqct    时间: 2010-7-5 18:13
颅脑ct轴位平扫颅内未见明确异常。
作者: 吴医师    时间: 2010-7-5 19:37
未见明显异常!




欢迎光临 医影在线 (http://bbs.radida.com/bbs/) Powered by Discuz! X3.2