医影在线

标题: CT27489:患者腰疼,其余椎体未见异常! [打印本页]

作者: ZHUOLUOSHISHUI    时间: 2010-7-4 21:39
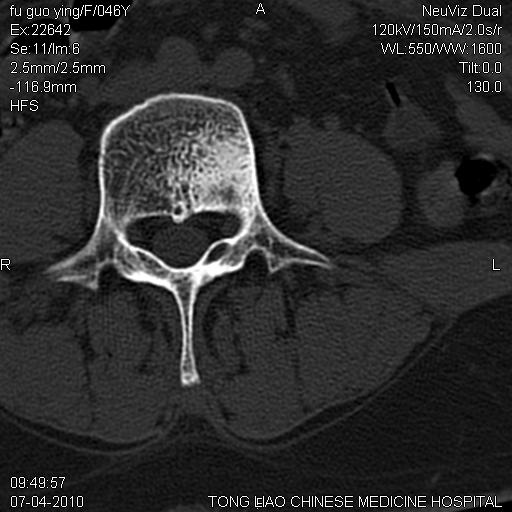
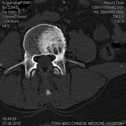
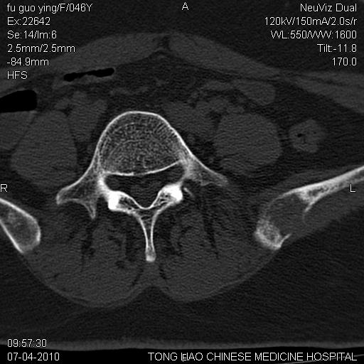
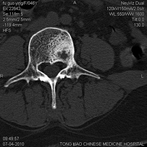
标题: CT27489:患者腰疼,其余椎体未见异常!



















[本贴已被 jiajie 于 2010-7-5 6:44:37 修改过]

作者: ksx1980    时间: 2010-7-5 03:15
转移?
作者: 施明    时间: 2010-7-5 04:44
髂骨考虑转移瘤 椎体病变不像转移瘤
作者: 蓬莱客    时间: 2010-7-5 05:05
转移瘤
作者: zxl51642    时间: 2010-7-5 05:34
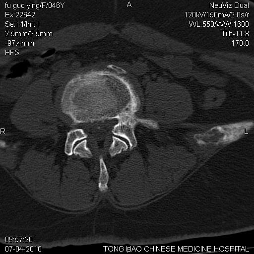
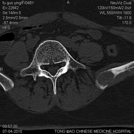
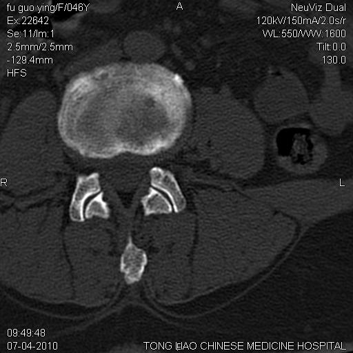
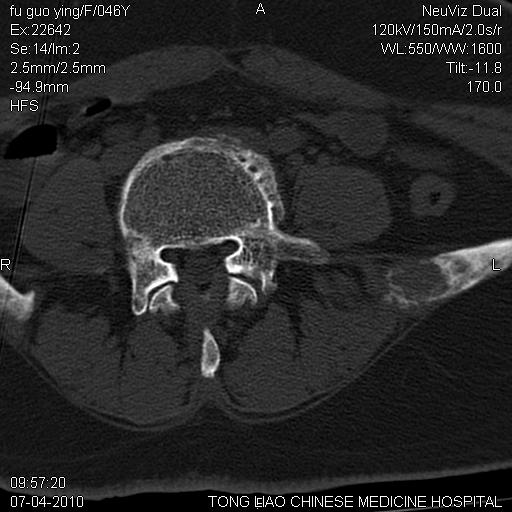
女性46岁,左髂骨溶骨性破坏+软组织肿块,考虑转移瘤,腰椎为退变/增生硬化/软骨下骨囊变。
作者: 随光逐影    时间: 2010-7-5 15:20
不排除多发性骨转移瘤可能;建议行进一步检查。
作者: 同    时间: 2010-7-5 17:40
考虑转移瘤可能性大
作者: 吴医师    时间: 2010-7-5 17:59
考虑转移瘤可能性大 ,建议查原发灶。
作者: CYJ3678089    时间: 2010-7-5 18:16
骨转?骨髓瘤?
作者: dyqct    时间: 2010-7-5 19:30
不排除多发性骨转移瘤可能;建议行进一步检查及查原发灶。
作者: LIAOQIANG    时间: 2010-7-5 19:40
考虑转移瘤可能性大 ,建议查原发灶。
作者: CYJ3678089    时间: 2010-7-6 18:48
穿刺病检确诊?
作者: mohaiyidi    时间: 2010-7-6 19:34
骨转?骨髓瘤?
作者: dhlyq    时间: 2010-7-6 19:43
考虑转移瘤可能性大 ,建议查原发灶。
作者: yuhongjun    时间: 2010-7-7 00:06
考虑转移瘤可能性大 ,建议查原发灶。
作者: hguox    时间: 2010-7-7 01:44
骨转?骨髓瘤
作者: 11030404    时间: 2010-7-8 05:19
考虑转移瘤可能性大




欢迎光临 医影在线 (http://bbs.radida.com/bbs/) Powered by Discuz! X3.2