






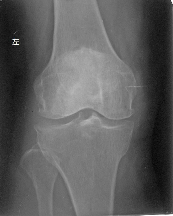
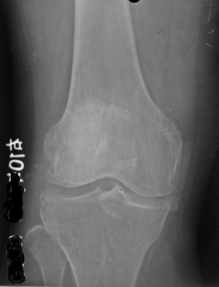
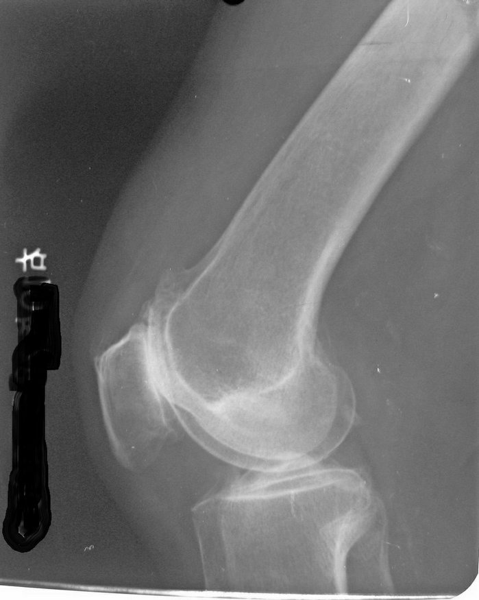
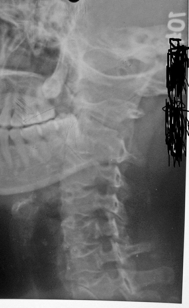
以下是引用拾荒者在2010-7-5 21:08:00的发言:[br]1.膝关节退行性变;2.颈椎未见明显异常。
以下是引用hexue在2010-7-5 22:47:00的发言:[br]1.膝关节退行性变;2.颈椎未见明显异常。 [br] [br]
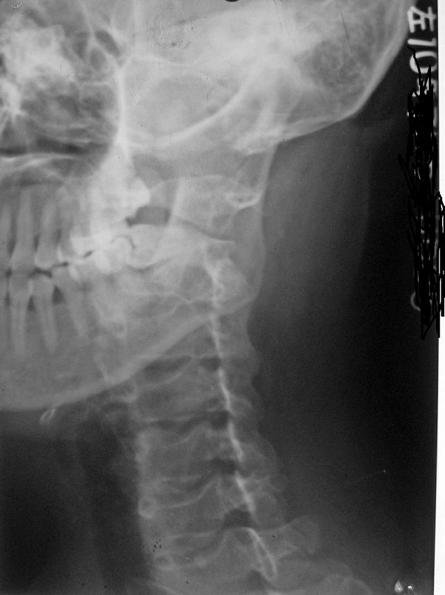
以下是引用随光逐影在2010-7-6 7:11:00的发言:[br]病例1:双膝关节退行性骨关节病。[br]病例2:1)颈椎未见明确异常。2)一侧下颌智齿横位阻生。
| 欢迎光临 医影在线 (http://bbs.radida.com/bbs/) | Powered by Discuz! X3.2 |