医影在线

标题: CT27522:主动脉瘤CT增强扫描 [打印本页]

作者: frzh    时间: 2010-7-6 20:03
标题: CT27522:主动脉瘤CT增强扫描
男、72、胸痛、咯血二天。

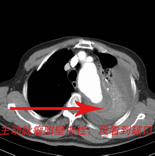
主动脉ct增强扫描,请问是否有破裂出血,ct未见明显破口,但是胸腔积液较昨天ct明显增多,密度增高,ct值达47hu左右。请大家帮助会诊。












































[本贴已被 jiajie 于 2010-7-6 19:31:48 修改过]

作者: hongtao    时间: 2010-7-6 21:20
大量胸腔积液,主动脉夹层。
作者: 卜一    时间: 2010-7-6 21:46
夹层主动脉瘤破裂不排除!
作者: 施明    时间: 2010-7-6 21:53
夹层
作者: jsdtd    时间: 2010-7-6 22:02
主动脉瘤,伴破裂可能。
左胸腔大量积液。
作者: caobaoguo    时间: 2010-7-6 22:06
标题: 回复:主动脉瘤ct增强扫描
以下是引用hongtao在2010-7-6 13:20:00的发言:[br]大量胸腔积液,主动脉夹层。

作者: 落叶留痕    时间: 2010-7-6 23:02
主动脉瘤,伴破裂可能。
左胸腔大量积液。
作者: 王国学    时间: 2010-7-6 23:06
夹层主动脉瘤破裂不排除
作者: D.xu002    时间: 2010-7-6 23:09
穿点胸水看看什么性状
作者: yuhongjun    时间: 2010-7-6 23:11
夹层主动脉瘤破裂不排除!
作者: DDN    时间: 2010-7-6 23:22
1.夹层主动脉瘤破裂不排除! 伴胸腔积液以左侧为主。2.异位胆囊。
作者: zxl51642    时间: 2010-7-7 00:09
夹层主动脉瘤破裂,左侧胸腔积液积血,左肺膨胀不全
作者: 同    时间: 2010-7-7 00:10
主动脉瘤破裂出血不排除,大量胸腔积液。
作者: 求知若渴    时间: 2010-7-7 00:36
标题: 回复:主动脉瘤ct增强扫描

作者: ziyoufeixiang    时间: 2010-7-7 01:23
夹层主动脉瘤破裂不排除
作者: CYJ3678089    时间: 2010-7-7 01:26
夹层ao瘤,并附壁血栓形成。
作者: jiazhirong    时间: 2010-7-7 02:17
大量胸腔积液,主动脉夹层
作者: 随光逐影    时间: 2010-7-7 02:32
胸主动脉夹层动脉瘤破裂并左侧胸腔积液(血),左肺膨胀不全。
作者: 吴医师    时间: 2010-7-7 03:06
夹层主动脉瘤破裂,左侧胸腔积液积血,左肺膨胀不全
作者: jsgdoctor    时间: 2010-7-7 04:59
主动脉瘤伴破裂,左胸腔大量积液。
作者: avatar    时间: 2010-7-7 05:01
主动脉瘤破裂。
作者: xiongneo    时间: 2010-7-7 05:03
主动脉瘤,伴破裂可能。
左胸腔大量积液。
作者: aa13877358820    时间: 2010-7-7 07:03
请教各位专家,这个病例是主动脉瘤还是夹层主动脉瘤,希望图例说明,谢谢。
作者: jsdtd    时间: 2010-7-7 18:03
真性主动脉瘤,伴有破裂,无明确夹层动脉瘤征。
作者: shuiyuan    时间: 2010-7-7 23:59
主动脉瘤伴附壁血栓。左侧胸腔积液,左肺段性肺不张。如果破裂,病人的症状应该很严重。




欢迎光临 医影在线 (http://bbs.radida.com/bbs/) Powered by Discuz! X3.2