医影在线

标题: X7638:请教 [打印本页]

作者: 5583861    时间: 2010-7-7 03:58
标题: X7638:请教



鼻骨外伤   体检气管右移无症状  跟骨骨折望告知轴位摄片的办法[emb18]


[本贴已被 cefcmj 于 2010-7-6 21:11:20 修改过]

作者: 拾荒者    时间: 2010-7-7 04:13
楼主再虚心,我们也帮不上忙。
作者: 黑白光影    时间: 2010-7-7 04:20
[emb12]
作者: 蓬莱客    时间: 2010-7-7 05:03
兄弟:图像太小,看不清楚。我只会浏览图像,不会传送图像,否则帮你处理一下。抱歉!
作者: zhangkening    时间: 2010-7-7 16:24
鼻骨骨折,胸部未见外伤,跟骨轴位怎么摆你可以查一下投照书。
作者: zhengfaming    时间: 2010-7-7 17:10
普通摄片方法就可以满足啊,取坐位,下肢平放,脚尖上翘背伸,足与下肢成直角,机架打30-45度,斜射跟骨就可以了,条件比普通四肢片大一点
作者: D.xu002    时间: 2010-7-7 17:16
鼻骨骨折,胸部未见外伤,普通摄片方法就可以满足啊,取坐位,下肢平放,脚尖上翘背伸,足与下肢成直角,机架打30-45度,斜射跟骨就可以了,条件比普通四肢片大一点
作者: 王国学    时间: 2010-7-7 17:40
鼻骨骨折,胸部未见外伤,普通摄片方法就可以满足啊,取坐位,下肢平放,脚尖上翘背伸,足与下肢成直角,机架打30-45度,斜射跟骨就可以了,条件比普通四肢片大一点
作者: jsdtd    时间: 2010-7-7 18:16
支持,实在不行建议ct
作者: 吴医师    时间: 2010-7-7 19:23
学习就能进步!
作者: zxl51642    时间: 2010-7-8 01:27
标题: 回复:x7638:请教
以下是引用jsdtd在2010-7-7 10:16:00的发言:[br]支持,实在不行建议ct

作者: whmy    时间: 2010-7-8 06:09
鼻骨骨折,胸部未见外伤,跟骨轴位怎么摆你可以查一下投照书。
作者: fymldfcyd    时间: 2010-7-8 06:11
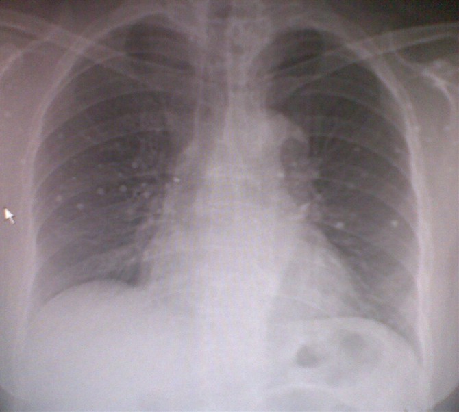
气管右侧移位,并轻度变窄,其临近左侧纵隔内似见不规则斑块状致密影,是否纵隔内有肿块,胸内甲状腺?ct吧,或结合病史。其它不再缀述。
作者: xiongneo    时间: 2010-7-8 07:35
鼻骨骨折,胸部未见外伤,普通摄片方法就可以满足啊,取坐位,下肢平放,脚尖上翘背伸,足与下肢成直角,机架打30-45度,斜射跟骨就可以了,条件比普通四肢片大一点
作者: ZHANGZHONGSHOU    时间: 2010-7-8 14:52
标题: 回复:x7638:请教
以下是引用d.xu002在2010-7-7 9:16:00的发言:[br]鼻骨骨折,胸部未见外伤,普通摄片方法就可以满足啊,取坐位,下肢平放,脚尖上翘背伸,足与下肢成直角,机架打30-45度,斜射跟骨就可以了,条件比普通四肢片大一点

作者: 自贡刘剑    时间: 2010-7-9 04:18
请指点一下,鼻骨骨折在哪?
作者: 寻芳者    时间: 2010-7-9 05:55
也来温习下----------
作者: 杏林古木    时间: 2010-7-9 06:19
病人坐位,脚尖上翘背伸,足与下肢成直角,机架打30-45度,斜射跟骨就可以了,条件比普通四肢片大一点 。如病人因疼痛不能背伸足时,可用繃带兜住脚掌,由患者向上拉,就可以拍照了。
作者: SUNBIN    时间: 2010-7-10 22:09
鼻骨骨折,胸部未见明显异常,跟骨轴位投照法可参照6楼意见。




欢迎光临 医影在线 (http://bbs.radida.com/bbs/) Powered by Discuz! X3.2