医影在线

标题: CT27542:小脑病灶 [打印本页]

作者: aiqinha    时间: 2010-7-8 00:43
标题: CT27542:小脑病灶
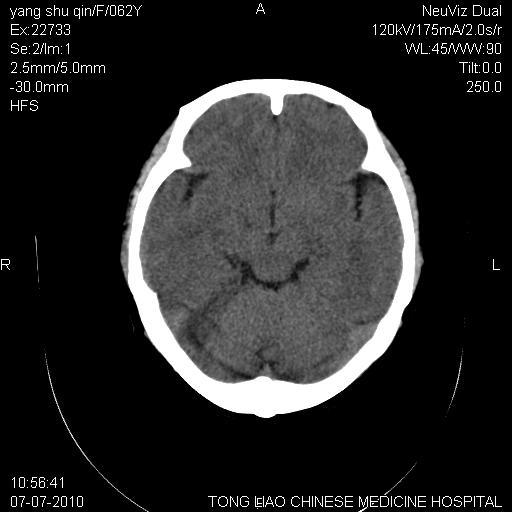
平时经常遇到这样的病例,请问大家,是小脑萎缩还是小脑梗塞?
第一例,头晕、呕吐,复视,左侧肢体麻木




第二例  头晕,头痛


[本贴已被 jiajie 于 2010-7-7 18:12:15 修改过]

作者: aiqinha    时间: 2010-7-8 00:47
都是单侧小脑半球出现片状低密度灶,可以诊断脑萎缩吗?还是小脑梗塞?
作者: 深泽交通    时间: 2010-7-8 01:04
桥---小脑角池 小脑沟增宽 萎缩
作者: zxl51642    时间: 2010-7-8 01:16
局限性脑萎缩,未见明显梗死灶
作者: 随光逐影    时间: 2010-7-8 01:30
小脑萎缩。
作者: 科室第一人    时间: 2010-7-8 02:35
就这几幅图像不好讲
作者: 37度    时间: 2010-7-8 03:01
脑萎缩。
作者: yuhongjun    时间: 2010-7-8 03:04
小脑萎缩。
作者: jsdtd    时间: 2010-7-8 03:21
ct上显示小脑上沟,就提示小脑萎缩
作者: ziyoufeixiang    时间: 2010-7-8 03:23
小脑萎缩。
作者: 施明    时间: 2010-7-8 05:56
不是小脑前下动脉梗塞的形态 所以是萎缩
作者: 卜一    时间: 2010-7-8 07:10
小脑萎缩。
作者: xiongneo    时间: 2010-7-8 07:54
小脑萎缩。
作者: DXM    时间: 2010-7-8 15:00
小脑萎缩
作者: DDN    时间: 2010-7-8 16:07
小脑萎缩 ,所致蛛网膜下腔增宽。
作者: 同    时间: 2010-7-8 16:13
小脑萎缩
作者: caoyuanlang    时间: 2010-7-8 17:04
小脑萎缩
作者: sunxian7526    时间: 2010-7-8 18:23
ct上显示小脑上沟,就提示小脑萎缩,可以做mri
作者: zsj943006    时间: 2010-7-8 18:47
两例病人都未见没显异常,我的老师曾经说过,对一些老年性改变,跟此次发病临床表现无关的东西,只描述不结论,扣了帽子反而加重病人思想负担!
作者: LIAOQIANG    时间: 2010-7-8 19:31
小脑萎缩。




欢迎光临 医影在线 (http://bbs.radida.com/bbs/) Powered by Discuz! X3.2