医影在线
标题: X7640:左肩疼痛。 [打印本页]
作者: 杏林古木 时间: 2010-7-8 05:52
标题: X7640:左肩疼痛。
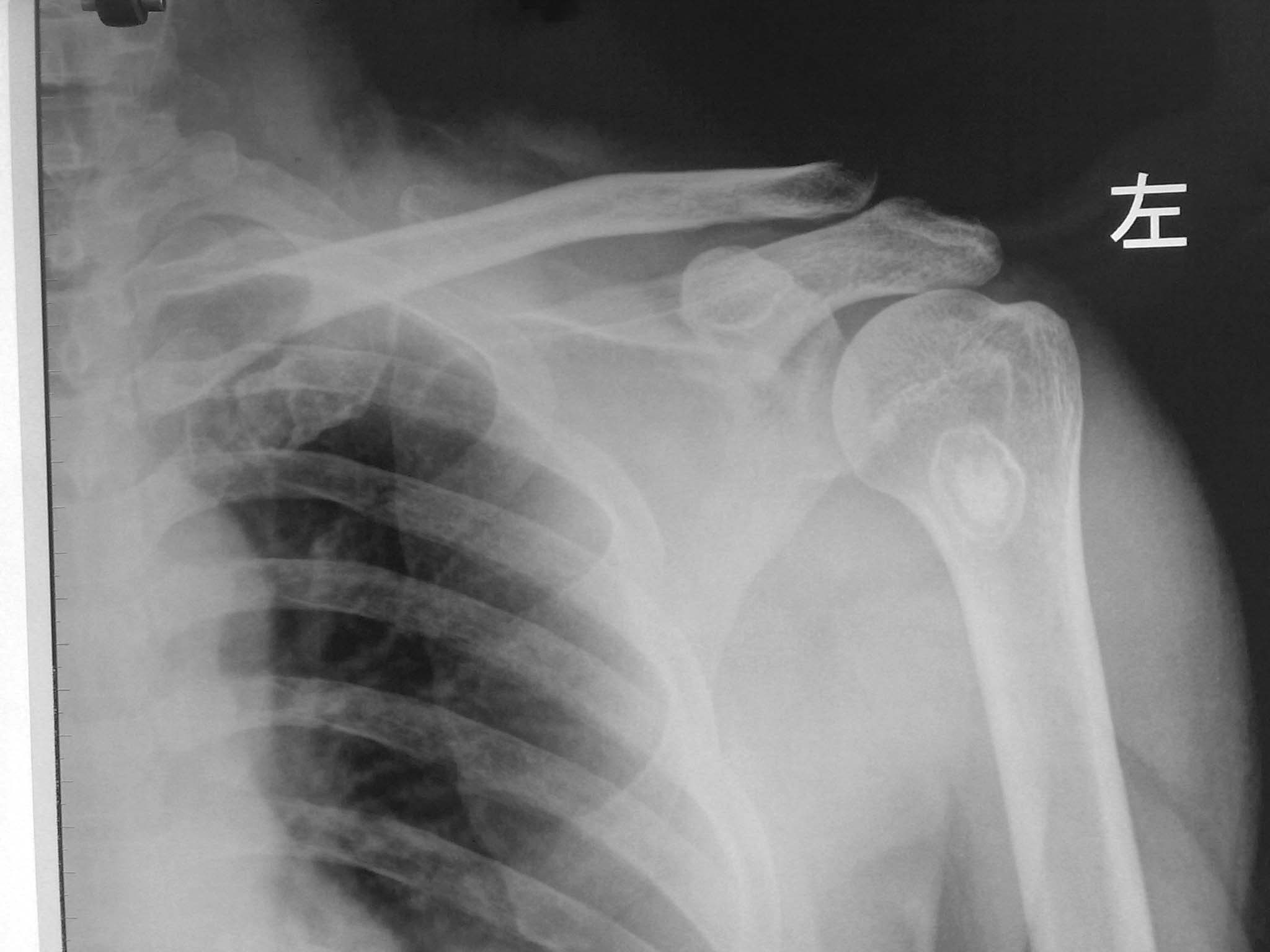
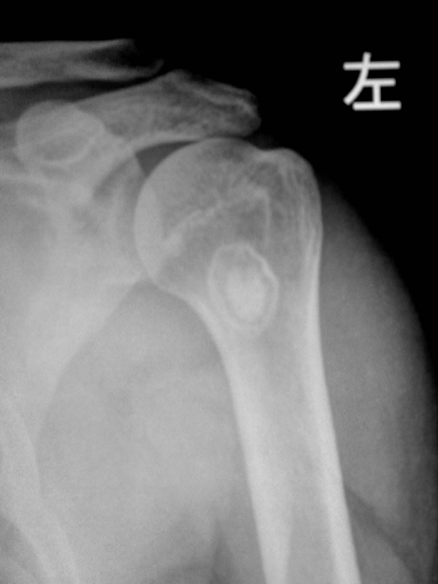
男性,51岁,左肩疼痛一年,活动不受限。


[本贴已被 cefcmj 于 2010-7-7 22:23:29 修改过]
作者: ZHANGZHONGSHOU 时间: 2010-7-8 14:50
内生软骨瘤可能性大,建议mri检查。
作者: 随光逐影 时间: 2010-7-8 15:17
标题: 回复:x7640:左肩疼痛。
以下是引用zhangzhongshou在2010-7-8 6:50:00的发言:[br]内生软骨瘤可能性大,建议mri检查。
作者: DDN 时间: 2010-7-8 16:23
内生软骨瘤可能性大,不除外嗜酸性肉芽肿。
作者: 蓬莱客 时间: 2010-7-8 16:44
内生软骨瘤可能性大,建议mri检查。松质骨内的骨样骨瘤也呈类似表现,只不过年龄较轻。
作者: zxl51642 时间: 2010-7-8 16:48
标题: 222222
一个位置有点少。内生软骨瘤有这么明显硬化边??会有团片状钙化??嗜酸性肉芽肿和骨样骨瘤年龄还考虑??
局限性硬化型骨纤可能,下来骨化性纤维瘤、骨梗死、慢性低毒力感染。
[本贴已被 zxl51642 于 2010-7-8 20:21:29 修改过]
作者: ncy888888 时间: 2010-7-8 18:08
倒像是骨样骨瘤
作者: yongbest 时间: 2010-7-8 18:13
标题: 回复:x7640:左肩疼痛。
以下是引用zhangzhongshou在2010-7-8 6:50:00的发言:[br]内生软骨瘤可能性大,建议mri检查。
作者: LIAOQIANG 时间: 2010-7-8 18:24
考虑内生软骨瘤可能性大。
作者: wangjie 时间: 2010-7-8 19:28
考虑内生软骨瘤
作者: chengjiaqiu1 时间: 2010-7-8 21:54
标题: 回复:x7640:左肩疼痛。
以下是引用ncy888888在2010-7-8 10:08:00的发言:[br]倒像是骨样骨瘤[br]
作者: caobaoguo 时间: 2010-7-8 22:33
标题: 回复:x7640:左肩疼痛。
以下是引用liaoqiang在2010-7-8 10:24:00的发言:[br]考虑内生软骨瘤可能性大。
作者: 王国学 时间: 2010-7-8 23:27
考虑内生软骨瘤可能性大
作者: jiazhirong 时间: 2010-7-9 02:36
考虑内生软骨瘤可能性大
作者: linyiming 时间: 2010-7-9 02:43
内生软骨瘤可能性大,不除外嗜酸性肉芽肿
作者: 拾荒者 时间: 2010-7-9 05:18
内生软骨瘤可能,要与骨梗死鉴别。
作者: zhanggenliang 时间: 2010-7-9 05:34
肱骨上端类圆形低密度影,边缘硬化,其中可见圆形高密度影。我考虑骨化性纤维瘤可能性大,不除外局限性硬化性骨纤
作者: ziyoufeixiang 时间: 2010-7-9 05:41
考虑内生软骨瘤可能性大。
作者: zhangkening 时间: 2010-7-9 05:41
首先考虑骨梗死,其次考虑内生软骨瘤或者骨纤。
作者: 寻芳者 时间: 2010-7-9 05:51
首先考虑内生软骨瘤-------------------
作者: 余辉 时间: 2010-7-9 15:59
标题: 回复:x7640:左肩疼痛。
以下是引用zhangzhongshou在2010-7-8 6:50:00的发言:[br]内生软骨瘤可能性大,建议mri检查。
作者: mq_lenovo 时间: 2010-7-9 16:35
学习中...
作者: 吴医师 时间: 2010-7-9 18:58
向大家学习
作者: 拂晓 时间: 2010-7-10 01:36
向大家学习
作者: ct诊断高手 时间: 2010-7-10 18:01
考虑内生软骨瘤可能性大。
作者: SUNBIN 时间: 2010-7-10 22:28
左肱骨上端髓腔内可见环状低密度影,周边硬化,内见圆形高密度影,肱骨皮质及软组织未见异常,支持考虑内生性软骨瘤可能性大,骨梗死??
作者: whmy 时间: 2010-7-11 13:08
考虑内生软骨瘤可能性大
作者: 37度 时间: 2010-7-13 04:25
骨岛、钙化性内生软骨瘤、骨梗,引起疼痛症状原因不见得是它。
作者: hexue 时间: 2010-7-13 04:57
内生软骨瘤可能性大,不除外嗜酸性肉芽肿。
作者: 张辉9999 时间: 2010-7-13 15:14
考虑内生软骨瘤可能性大。
作者: 张辉9999 时间: 2010-7-13 15:26
考虑内生软骨瘤可能性大。
| 欢迎光临 医影在线 (http://bbs.radida.com/bbs/) |
Powered by Discuz! X3.2 |