

































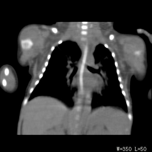
以下是引用改行者在2010-7-8 22:13:00的发言:[br]两肺野透光度降低伴细颗粒状影,两肺下叶见实变影,其内见支气管充气征。 多考虑新生儿肺透明膜病。
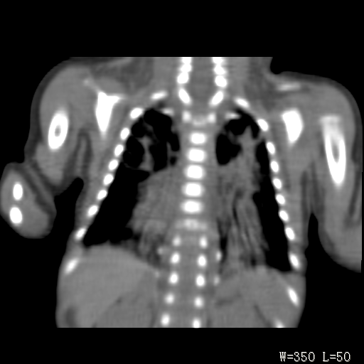
以下是引用改行者在2010-7-8 22:13:00的发言:[br]两肺野透光度降低伴细颗粒状影,两肺下叶见实变影,其内见支气管充气征。 多考虑新生儿肺透明膜病。
以下是引用改行者在2010-7-8 22:13:00的发言:[br]两肺野透光度降低伴细颗粒状影,两肺下叶见实变影,其内见支气管充气征。 多考虑新生儿肺透明膜病。
| 欢迎光临 医影在线 (http://bbs.radida.com/bbs/) | Powered by Discuz! X3.2 |