医影在线
标题: X7679:男,25岁,腰部疼痛查因 [打印本页]
作者: taky 时间: 2010-7-17 04:13
标题: X7679:男,25岁,腰部疼痛查因


[本贴已被 cefcmj 于 2010-7-16 21:56:57 修改过]
作者: zxl51642 时间: 2010-7-17 04:19
as可能,查hla-b27,l4前上缘骨软骨炎。
作者: 随光逐影 时间: 2010-7-17 04:29
1)强直性脊柱炎可能性大;建议查hla-b27。2)l4前上缘许莫氏结节。
作者: 谢建春 时间: 2010-7-17 04:48
标题: 回复:男,25岁,腰部疼痛查因
以下是引用随光逐影在2010-7-16 20:29:00的发言:[br]1)强直性脊柱炎可能性大;建议查hla-b27。2)l4前上缘许莫氏结节。
作者: 蓬莱客 时间: 2010-7-17 04:51
1)强直性脊柱炎可能性大;建议查hla-b27。
2)l4前上缘许莫氏结节。
作者: jsgdoctor 时间: 2010-7-17 05:08
as可能,查hla-b27,l4前上缘骨软骨炎。
作者: wangjie 时间: 2010-7-17 05:16
强直性脊柱炎可能
查人类白细胞抗原(hla-b27)、 血清rf
作者: 学无崖 时间: 2010-7-17 05:18
as,l4考虑骨软骨炎
作者: gjj6818 时间: 2010-7-17 05:30
但骶髂关节未见异常, 这样也可以考虑是强直吗?
作者: zhangkening 时间: 2010-7-17 05:36
不用查了,脊柱都呈竹节样改变了。
作者: 寻芳者 时间: 2010-7-17 06:04
强直性脊柱炎可能---------建议查hla-b27
作者: 曲波 时间: 2010-7-17 06:13
强直性脊柱炎
作者: aa13877358820 时间: 2010-7-17 06:31
标题: 强直性脊柱炎?dish?
强直性脊柱炎?dish?
[本贴已被 aa13877358820 于 2010-7-16 22:36:18 修改过]
作者: yuhongjun 时间: 2010-7-17 06:47
as可能,查hla-b27,l4前上缘骨软骨炎。
作者: 小小医 时间: 2010-7-17 07:03
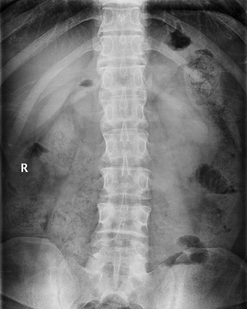
t12-l1、l1-l2、l2-l3椎体前缘骨桥形成,但骶髂关节未见明显异常。虽然as发病年龄较早,dish好发于50岁之后,但本例还是考虑弥漫性特发性骨肥厚(dish)。l4前上缘骨软骨炎。
as发病年龄10-40岁,好发部位 骶髂关节 ;as韧带走行较平直,有骶髂关节有改变
dish发病年龄50岁以后, 好发部位 脊柱;一般有背痛而不放射,可伴强直,后纵韧带及椎关节侧韧带广泛钙化,呈水波样。
诊断标准包括以下3条标准:
(1)连续4个或4个以上椎体的前外侧流水样钙化,伴椎体和椎间盘结合部的骨化;
(2)受累部位椎间盘的高度无明显塌陷;
(3)骶髂关节无侵蚀、硬化或骨性融合。
作者: xiongneo 时间: 2010-7-17 07:22
以下是引用随光逐影在2010-7-16 20:29:00的发言:
1)强直性脊柱炎可能性大;建议查hla-b27。2)l4前上缘许莫氏结节。
作者: linyiming 时间: 2010-7-17 08:05
)强直性脊柱炎可能性大;建议查hla-b27。2)l4前上缘许莫氏结节。
作者: whmy 时间: 2010-7-17 14:55
1)强直性脊柱炎可能性大;建议查hla-b27。2)l4前上缘许莫氏结节。
作者: 余辉 时间: 2010-7-17 16:30
1)强直性脊柱炎可能性大;建议查hla-b27。
2)l4前上缘许莫氏结节。
作者: 吴教授 时间: 2010-7-17 16:40
大家分析的都有道理,支持
作者: jiahui7z 时间: 2010-7-17 19:42
强直性脊柱炎可能
作者: 吴教授 时间: 2010-7-17 23:01
强直性脊柱炎,l4间盘病变,
作者: 医盲 时间: 2010-7-18 01:05
1强直性脊柱炎,查hla-b27
2l4椎体前上缘许莫氏结节
作者: 拾荒者 时间: 2010-7-18 05:49
标题: 回复:x7679:男,25岁,腰部疼痛查因
以下是引用随光逐影在2010-7-16 20:29:00的发言:[br]1)强直性脊柱炎可能性大;建议查hla-b27。2)l4前上缘许莫氏结节。
| 欢迎光临 医影在线 (http://bbs.radida.com/bbs/) |
Powered by Discuz! X3.2 |