医影在线
标题: PED3366:女性,11岁,发现左足第五趾肿物2年 [打印本页]
作者: myb6677139 时间: 2010-7-19 02:13
标题: PED3366:女性,11岁,发现左足第五趾肿物2年
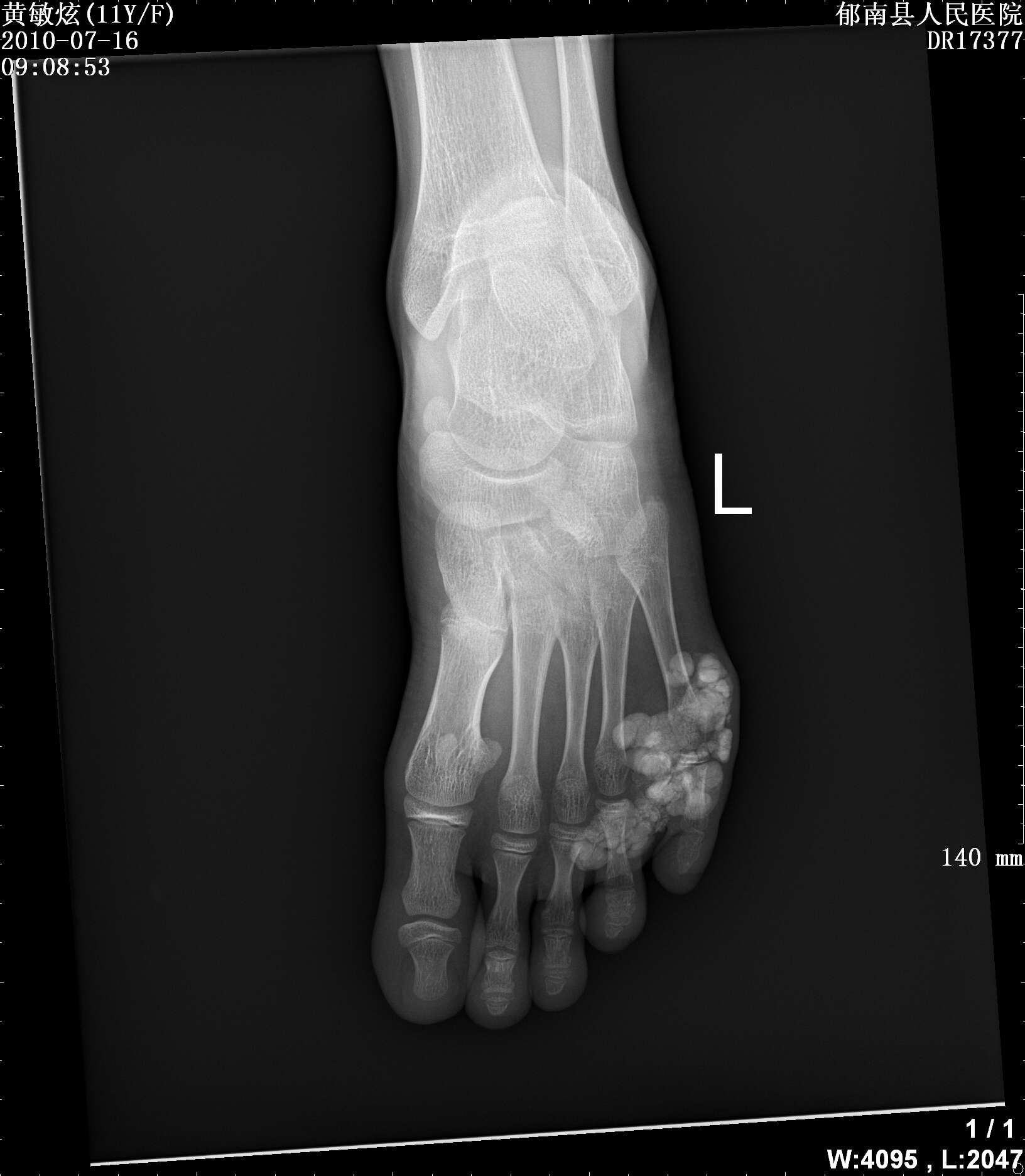
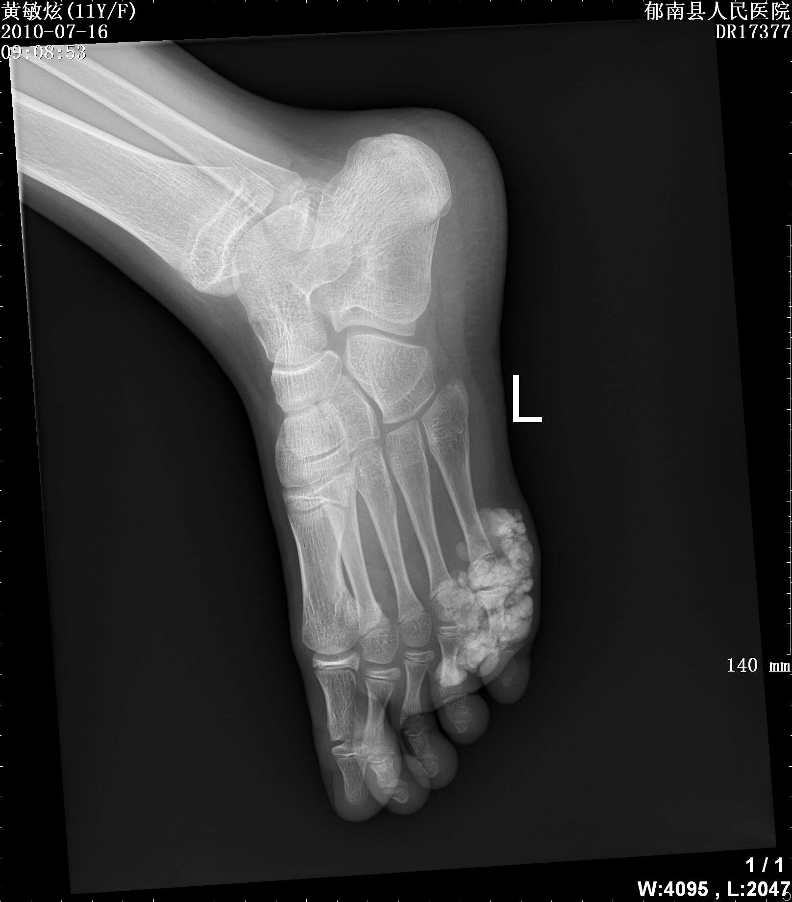
女性,11岁,发现左足第五趾肿物2年,压之不痛,质软,无红肿,无外伤史,请各位老师指点下


[本贴已被 myb6677139 于 2010-7-18 18:16:41 修改过]
[本贴已被 翁志蓬 于 2010-7-19 22:30:35 修改过]
作者: yongwang 时间: 2010-7-19 02:37
肿瘤样钙质沉着症?
作者: 拾荒者 时间: 2010-7-19 04:10
支持肿瘤样钙质沉着症。
作者: zxl51642 时间: 2010-7-19 04:39
肿瘤样钙质沉着症
作者: 蓬莱客 时间: 2010-7-19 04:57
支持肿瘤样钙质沉着症。
作者: wsmg-自在 时间: 2010-7-19 06:05
学习了!
作者: xiongneo 时间: 2010-7-19 06:14
支持肿瘤样钙质沉着症。
学习了!
作者: yuhongjun 时间: 2010-7-19 14:04
支持肿瘤样钙质沉着症。
学习了!
作者: 同 时间: 2010-7-19 16:46
支持肿瘤样钙质沉着症。
作者: ws31669147 时间: 2010-7-19 21:06
学习了,谢谢分享。
作者: 随光逐影 时间: 2010-7-19 23:15
支持 肿瘤样钙质沉着症。
作者: dyqct 时间: 2010-7-19 23:47
支持肿瘤样钙质沉着症。
作者: cwx053 时间: 2010-7-21 02:30
学习了,肿瘤样钙质沉着症
作者: 37度 时间: 2010-7-22 05:49
支持 肿瘤样钙质沉着症。
作者: myb6677139 时间: 2010-8-13 21:23
病理结果是钙化性腱膜纤维瘤,请问各位老师这个病与肿瘤样钙质沉着症怎么区别呢?
| 欢迎光临 医影在线 (http://bbs.radida.com/bbs/) |
Powered by Discuz! X3.2 |