医影在线

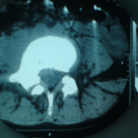
标题: CT27836:女 ,13岁,腰痛数月,加重一月,检查下腰部明显压 [打印本页]

作者: muzi888    时间: 2010-7-21 19:08
标题: CT27836:女 ,13岁,腰痛数月,加重一月,检查下腰部明显压
该患中医按风湿治疗数月。


























[本贴已被 jiajie 于 2010-7-21 19:25:52 修改过]

作者: 曲军    时间: 2010-7-21 19:51
结核可能性大
作者: HG-XXF    时间: 2010-7-21 19:56
考虑腰椎结核,建议做椎体扫描。
作者: 秋儿    时间: 2010-7-21 20:21
腰椎结核可能性大
作者: LIAOQIANG    时间: 2010-7-21 20:39
考虑腰4椎体结核伴右侧椎旁及椎管右侧硬脊膜外脓肿形成。
作者: 沉默是金    时间: 2010-7-21 22:45
标题: 回复:女 ,13岁,腰痛数月,加重一月,检查下腰部明显压
以下是引用liaoqiang在2010-7-21 12:39:00的发言:[br]考虑腰4椎体结核伴右侧椎旁及椎管右侧硬脊膜外脓肿形成。

作者: 科室第一人    时间: 2010-7-21 23:09
骨质破坏+脓肿=结核
作者: jsgdoctor    时间: 2010-7-21 23:37
腰椎结核可能性大
作者: cfililiu    时间: 2010-7-21 23:42
结核
作者: zxl51642    时间: 2010-7-21 23:59
建议椎体扫描连续层面观察或mri看看,是脓肿还是软组织肿块,tb脓肿很少到后方来的,肺部有无tb灶。
化脓性间盘炎症也有可能。
作者: 随光逐影    时间: 2010-7-22 02:01
考虑腰椎结核伴右侧椎旁及椎管右侧硬脊膜外寒性脓肿形成;建议必要时行mri检查。
作者: yuhongjun    时间: 2010-7-22 13:57
腰椎结核可能性大 。
作者: dhlyq    时间: 2010-7-22 15:42
腰椎结核可能性大




欢迎光临 医影在线 (http://bbs.radida.com/bbs/) Powered by Discuz! X3.2