医影在线

标题: CT27861:膀胱占位! [打印本页]

作者: ayi    时间: 2010-7-22 07:59
标题: CT27861:膀胱占位!
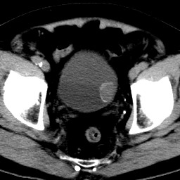
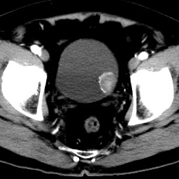
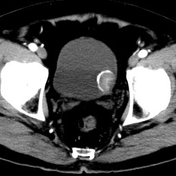
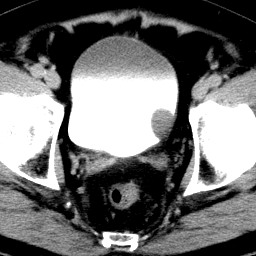
男,79岁,无痛性肉眼血尿1周。







[本贴已被 jiajie 于 2010-7-22 11:42:41 修改过]

作者: 心路寻觅    时间: 2010-7-22 08:59
考虑膀胱癌。
作者: 卜一    时间: 2010-7-22 09:40
由膀胱左侧后壁向内突出一圆形肿物,边缘光滑伴钙化,内密度均匀。支持考虑:膀胱癌!
作者: yuhongjun    时间: 2010-7-22 12:50
由膀胱左侧后壁向内突出一圆形肿物,边缘光滑伴钙化,内密度均匀。支持考虑:膀胱癌!
作者: 科室第一人    时间: 2010-7-22 14:28
肿瘤
作者: 施明    时间: 2010-7-22 14:32

作者: 随光逐影    时间: 2010-7-22 15:13
膀胱癌可能性大。
作者: dhlyq    时间: 2010-7-22 15:25
膀胱癌可能性大。
作者: 蓬莱客    时间: 2010-7-22 15:26
支持楼上观点,
作者: DDN    时间: 2010-7-22 15:34
蛋壳样钙化------应该是良性病变的影像表现。期待病理。
作者: ziyoufeixiang    时间: 2010-7-22 15:43
膀胱癌可能性大。
作者: CYJ3678089    时间: 2010-7-22 16:15
除了膀胱癌,你还能考虑啥,都知道?
作者: 同    时间: 2010-7-22 16:26
膀胱癌可能性大
作者: muzi888    时间: 2010-7-22 17:16
膀胱癌可能性大。
作者: cfililiu    时间: 2010-7-22 19:03
乳头状瘤?
作者: 王国学    时间: 2010-7-22 20:21
膀胱癌可能性大
作者: LIAOQIANG    时间: 2010-7-22 22:25
考虑膀胱癌可能性大。
作者: lyb999    时间: 2010-7-22 22:53
考虑膀胱癌可能性大。
作者: zxl51642    时间: 2010-7-22 23:37
标题: 回复:ct27861:膀胱占位!
以下是引用ddn在2010-7-22 7:34:00的发言:[br]蛋壳样钙化------应该是良性病变的影像表现。期待病理。

作者: jsgdoctor    时间: 2010-7-23 00:23
考虑膀胱癌。
作者: sdzyy    时间: 2010-7-23 00:24
膀胱癌可能性大。
作者: 学无崖    时间: 2010-7-23 00:31
膀胱ca并肿瘤表面钙质沉积
作者: xiaofangsheyuan    时间: 2010-7-23 00:36
考虑膀胱癌可能性大。
作者: SUNBIN    时间: 2010-7-23 00:38
膀胱左后侧壁可见软组织块影宊向腔内,边缘钙化,考虑膀胱占位,癌可能性大。
作者: ayi    时间: 2010-7-24 08:06
术后病理示:膀胱乳头状癌。




欢迎光临 医影在线 (http://bbs.radida.com/bbs/) Powered by Discuz! X3.2