医影在线

标题: PED3377:m、9y,恶心、呕吐,每月发作2-3次。 [打印本页]

作者: 731208    时间: 2010-7-22 13:57
标题: PED3377:m、9y,恶心、呕吐,每月发作2-3次。



















[本贴已被 jiajie 于 2010-7-22 11:56:13 修改过]

作者: 科室第一人    时间: 2010-7-22 14:27
正常
作者: 随光逐影    时间: 2010-7-22 15:15
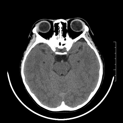
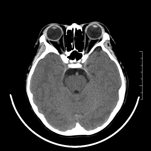
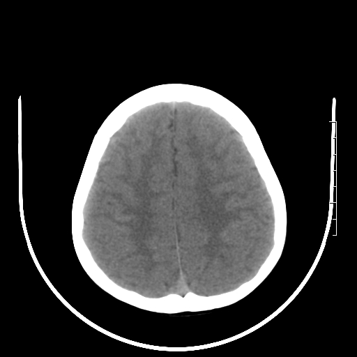
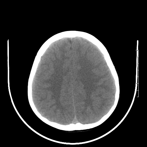
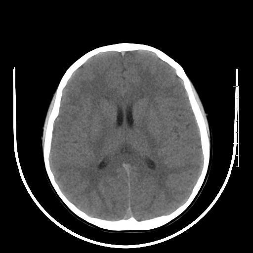
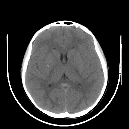
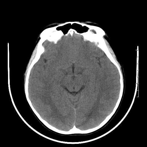
颅脑ct轴位平扫颅内未见明确异常。
作者: dhlyq    时间: 2010-7-22 15:20
右侧基底节区见钙化灶
作者: DDN    时间: 2010-7-22 15:30
右侧壳核多枚点状钙化灶。去请结合临床。
作者: ziyoufeixiang    时间: 2010-7-22 15:41
头颅ct平扫未见异常
作者: CYJ3678089    时间: 2010-7-22 16:13
未见异常,钙化有何意义,讨论的给真的一样?没意思
作者: 同    时间: 2010-7-22 16:28
颅脑ct平扫未见异常。
作者: muzi888    时间: 2010-7-22 17:15
右侧壳核多枚点状钙化灶。去请结合临床。
作者: yuhongjun    时间: 2010-7-23 00:39
颅脑ct平扫未见异常。
作者: zxl51642    时间: 2010-7-23 02:11
右侧壳核多枚点状钙化灶,请结合临床。
作者: 华威    时间: 2010-7-23 06:28
右侧壳核多发钙化灶,请结合临床。
作者: 拾荒者    时间: 2010-7-24 06:41
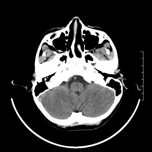
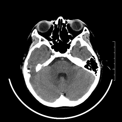
桥前池是不是有点大?




欢迎光临 医影在线 (http://bbs.radida.com/bbs/) Powered by Discuz! X3.2