医影在线

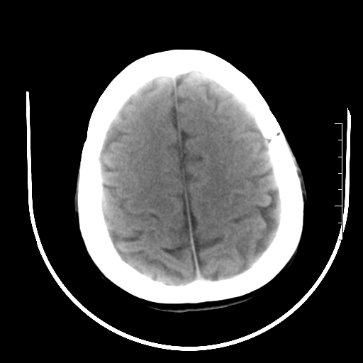
标题: CT27880:f、55y,头痛。 [打印本页]

作者: 731208    时间: 2010-7-23 04:33
标题: CT27880:f、55y,头痛。












[本贴已被 翁志蓬 于 2010-7-22 22:58:26 修改过]

作者: sammycn    时间: 2010-7-23 04:37
标题: 回复:f、55y,头痛。
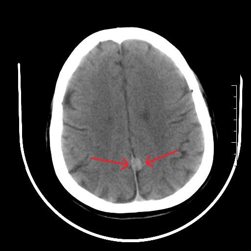
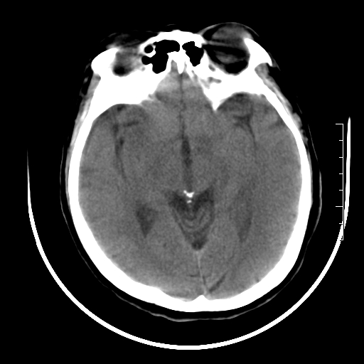
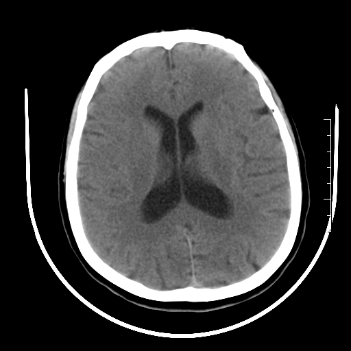
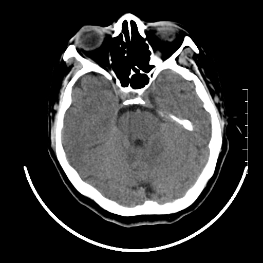
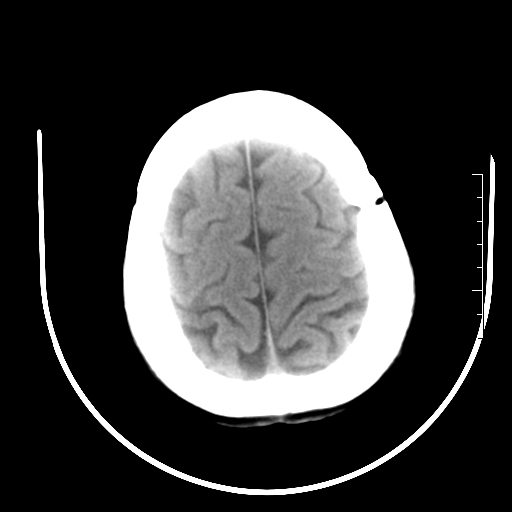
考虑脑膜瘤可能性大
作者: 随光逐影    时间: 2010-7-23 04:38
考虑左侧顶部镰旁脑膜瘤;建议行ct增强扫描检查。
作者: 尔曼    时间: 2010-7-23 06:03
脑膜瘤
作者: xiongneo    时间: 2010-7-23 06:15
考虑脑膜瘤可能性大
作者: 心路寻觅    时间: 2010-7-23 06:49
考虑左侧顶部镰旁脑膜瘤,建议行ct增强扫描检查。  
支持!
作者: 余辉    时间: 2010-7-23 07:02
支持考虑脑膜瘤
作者: huznsiby    时间: 2010-7-23 08:05
支持脑膜瘤
作者: linyiming    时间: 2010-7-23 09:24
考虑左侧顶部镰旁脑膜瘤;建议行ct增强扫描检查
作者: 施明    时间: 2010-7-23 13:38
支持
作者: 科室第一人    时间: 2010-7-23 14:04
大脑镰旁脑膜瘤可能,建议增强或mri
作者: 卜一    时间: 2010-7-23 14:54
考虑左侧顶部镰旁脑膜瘤;建议行ct增强扫描检查。支持!
作者: 蓬莱客    时间: 2010-7-23 15:28
考虑脑膜瘤可能性大
作者: zhou555888    时间: 2010-7-23 16:23
考虑脑膜瘤
作者: 同    时间: 2010-7-23 16:38
镰旁小脑膜瘤可能性大
作者: zxl51642    时间: 2010-7-23 17:34
大脑镰旁脑膜瘤可能,建议增强或mri
作者: jsdtd    时间: 2010-7-23 19:47
左侧顶部镰旁脑膜瘤,增强
作者: 飞扬ydk    时间: 2010-7-23 21:51
支持脑膜瘤
作者: muzi888    时间: 2010-7-23 22:55
考虑左侧顶部镰旁脑膜瘤,建议行ct增强扫描检查。  
支持!
作者: SHUIYUAN    时间: 2010-7-24 01:25
考虑脑膜瘤可能性大




欢迎光临 医影在线 (http://bbs.radida.com/bbs/) Powered by Discuz! X3.2