




























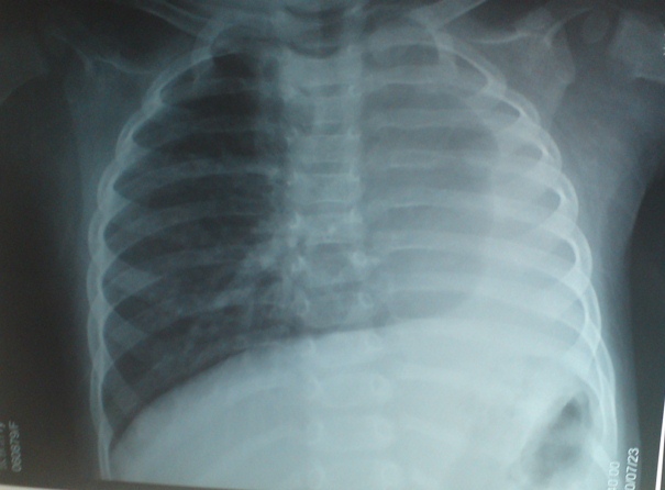
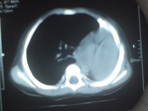
以下是引用liaoqiang在2010-7-26 13:10:00的发言:[br]左侧主支气管未显示,左肺体积明显缩小。右肺体积大。肋间隙不窄。考虑左肺不发育伴右肺代偿性肺气肿、纵隔疝。
以下是引用江广1996在2010-7-26 10:34:00的发言:[br]因为胸廓对称,肋间隙基本正常,故考虑为先天性左肺不发育。[br]如为异物,也会有临床病史。另,这与双胞胎有什么关系,另一个情况怎样?有无检查过?
| 欢迎光临 医影在线 (http://bbs.radida.com/bbs/) | Powered by Discuz! X3.2 |