












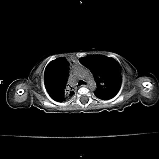
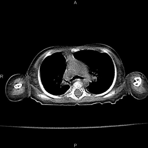
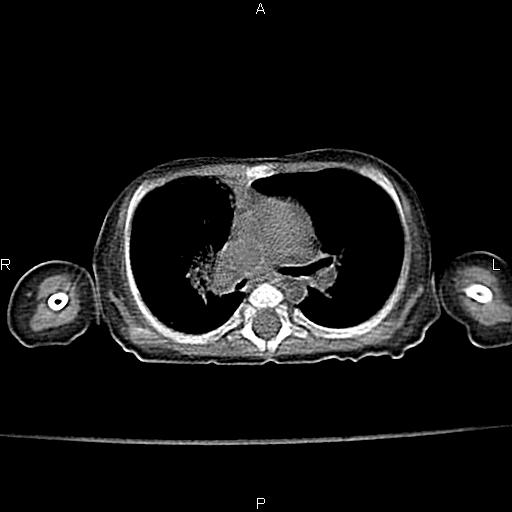
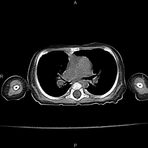
以下是引用jsdtd在2010-7-26 14:42:00的发言:[br]胸腺呈帆状,体位所致,没事。













以下是引用aa13877358820在2010-7-26 12:35:00的发言:[br]男性,三个月,卧位胸片,咳嗽、气促、发热14天,两肺闻及细小水泡音。[br]
[br]
[br]
[br]
[br]
[br]
[br]
[br]
[br]
[br]
[br]
[br]
[br][br][br]
[本贴已被 aa13877358820 于 2010-7-26 19:11:41 修改过]

| 欢迎光临 医影在线 (http://bbs.radida.com/bbs/) | Powered by Discuz! X3.2 |