


























以下是引用学无崖在2010-7-26 21:10:00的发言:[br]左侧肾ca伴肺、右侧肋骨及肝脏转移?建议增强
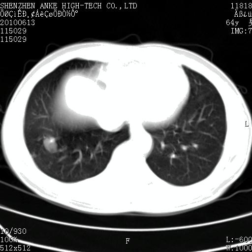
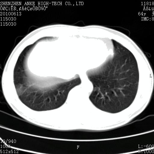
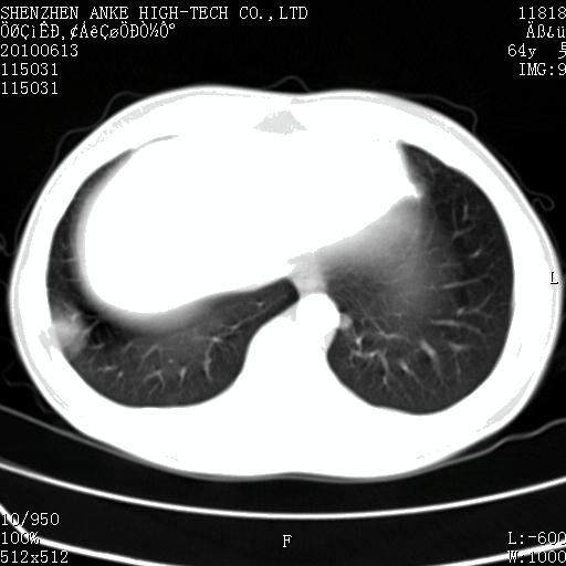
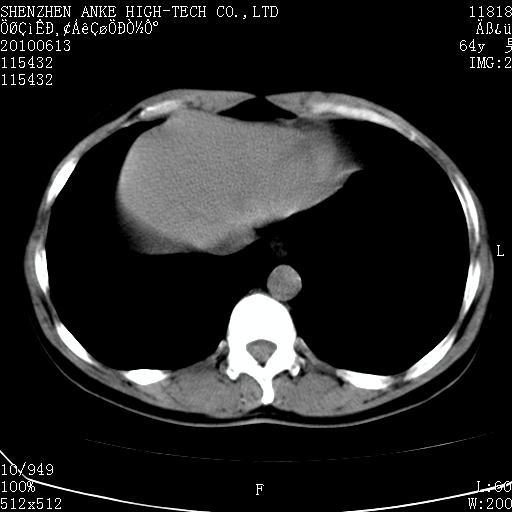
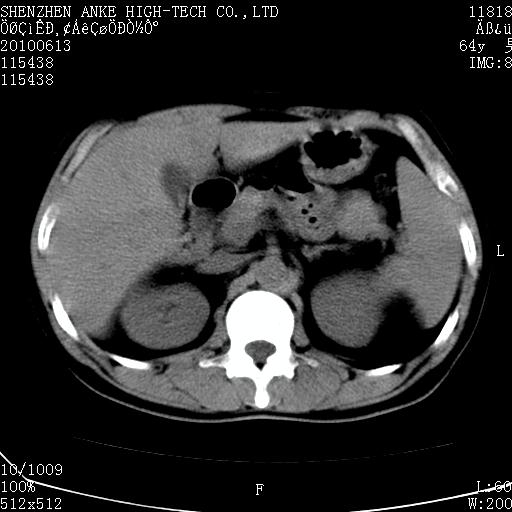
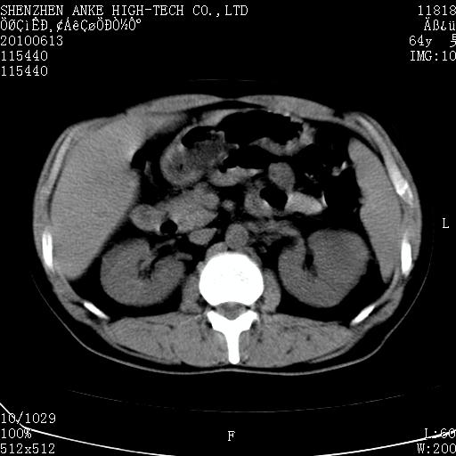
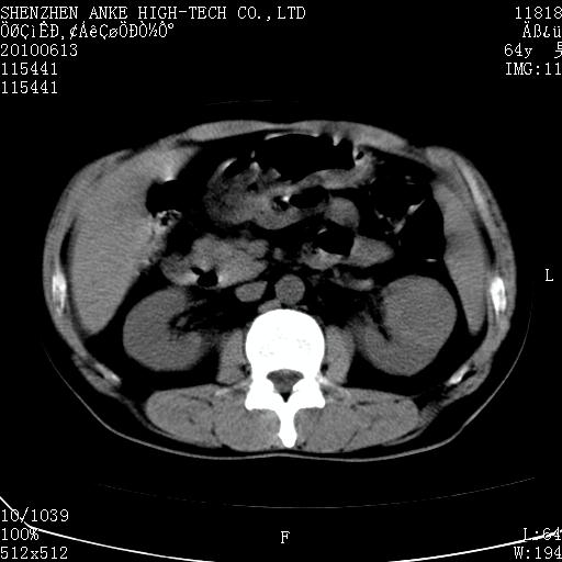
以下是引用beifangren在2010-7-26 22:05:00的发言:[br]左肾中极圆形占位,肾盏肾盂受压移位,建议增强。结合肺部结节。肝低密度灶,多为肾癌并肺部、肝转移。
以下是引用beifangren在2010-7-26 22:05:00的发言:[br]左肾中极圆形占位,肾盏肾盂受压移位,建议增强。结合肺部结节。肝低密度灶,多为肾癌并肺部、肝转移。
| 欢迎光临 医影在线 (http://bbs.radida.com/bbs/) | Powered by Discuz! X3.2 |