医影在线

标题: CT27971:盆腔CT平扫 [打印本页]

作者: 同    时间: 2010-7-27 19:09
标题: CT27971:盆腔CT平扫
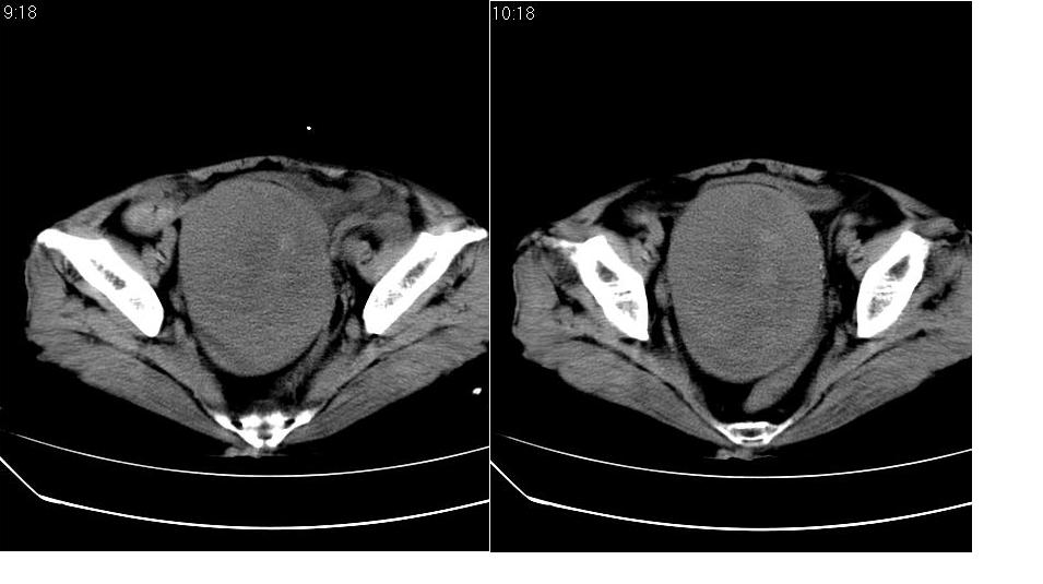
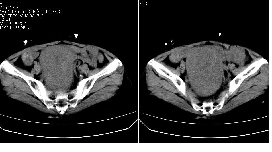
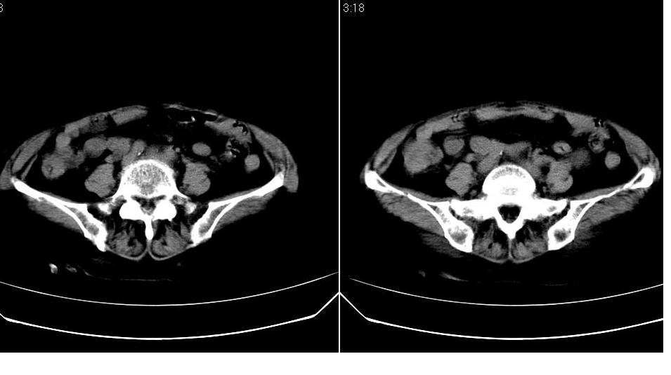
女,70岁,十天前在上级医院确诊宫颈癌,具体病史不详。










[本贴已被 jiajie 于 2010-7-27 19:26:00 修改过]

作者: 随光逐影    时间: 2010-7-27 19:59
考虑子宫内膜癌侵犯宫颈部。
作者: 道哥    时间: 2010-7-27 20:17
子宫形态增大,其内密度不均匀,宫颈部未见异常
作者: 地球上的    时间: 2010-7-27 20:19
子宫形态增大,其内密度不均匀,宫颈部未见异常,建议增强。
作者: 沉默是金    时间: 2010-7-27 20:28
标题: 回复:盆腔ct平扫
以下是引用随光逐影在2010-7-27 11:59:00的发言:[br]考虑子宫内膜癌侵犯宫颈部。

作者: jsdtd    时间: 2010-7-27 20:40
以下是引用随光逐影在2010-7-27 11:59:00的发言:
考虑子宫内膜癌侵犯宫颈部。
作者: 学无崖    时间: 2010-7-27 21:11
考虑子宫内膜癌侵犯宫颈部。
作者: 卜一    时间: 2010-7-27 22:30
考虑子宫内膜癌侵犯宫颈部。
作者: 江广1996    时间: 2010-7-27 23:00
支持
作者: zxl51642    时间: 2010-7-27 23:10
相信病理,宫颈癌
作者: cfililiu    时间: 2010-7-27 23:43
子宫内膜癌
作者: sdzyy    时间: 2010-7-27 23:53
子宫形态增大,其内密度不均匀,宫颈部未见异常,建议增强。
作者: 科室第一人    时间: 2010-7-28 00:11
子宫肿瘤性病变
作者: lxq2000    时间: 2010-7-28 00:48
子宫体积增大,其内密度不均,考虑子宫内膜癌侵犯宫颈
作者: 王国学    时间: 2010-7-28 00:56
子宫形态增大,其内密度不均匀,宫颈部未见异常,建议增强。
作者: jsdtd    时间: 2010-7-28 01:34
子宫形态增大,其内密度不均匀,宫颈部未见异常,建议增强。
作者: jsdtd    时间: 2010-7-28 04:29
宫颈癌阻塞性宫腔积液?累及宫腔?
作者: 影象小辈    时间: 2010-7-28 04:31
相信病理,宫颈癌
作者: zsl6918    时间: 2010-7-28 05:35
子宫增大可以是肌瘤的改变,宫颈癌多为鳞癌,子宫内膜癌多为腺癌。
作者: panyishengct    时间: 2010-7-28 06:11
相信病理,宫颈癌




欢迎光临 医影在线 (http://bbs.radida.com/bbs/) Powered by Discuz! X3.2