医影在线

标题: CT27988:胸片容易漏诊啊 [打印本页]

作者: seeqi2008    时间: 2010-7-28 05:59
标题: CT27988:胸片容易漏诊啊
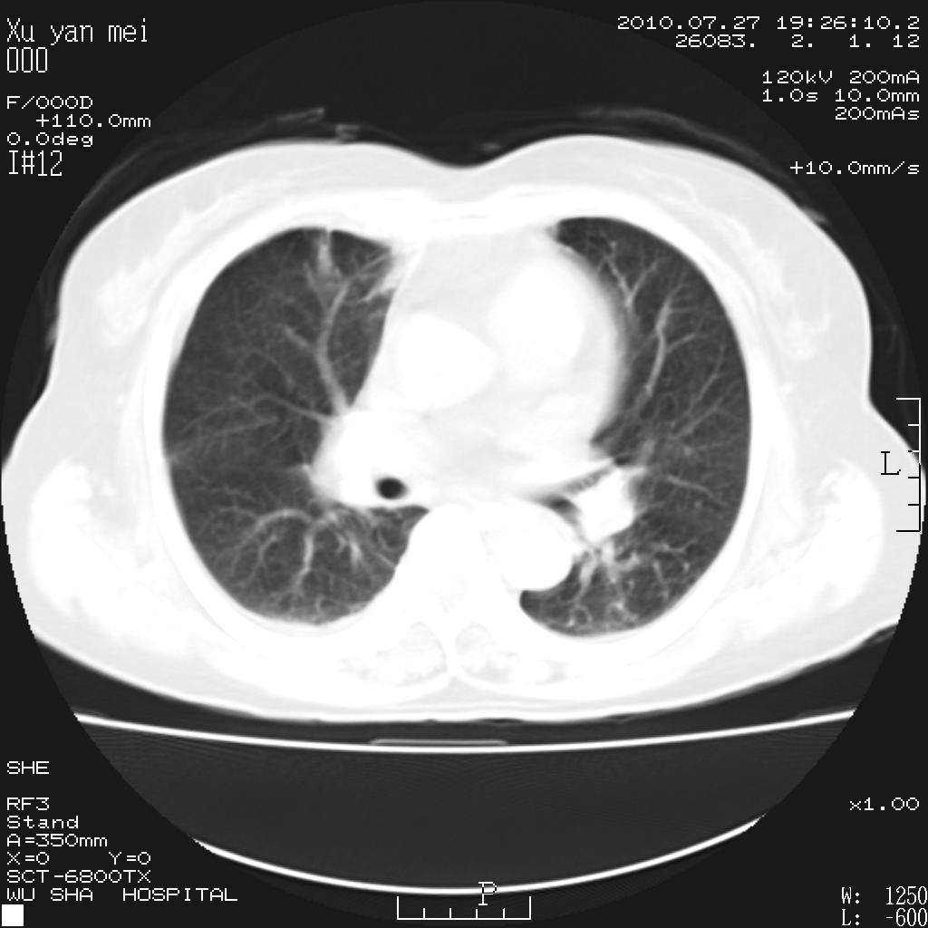
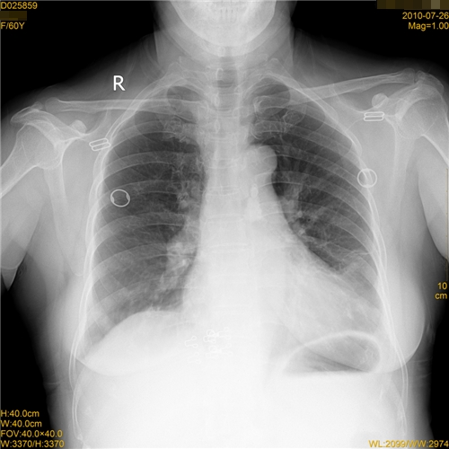
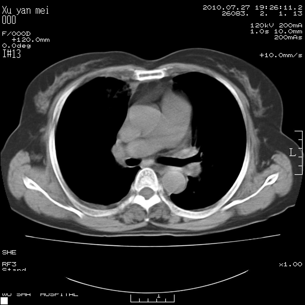
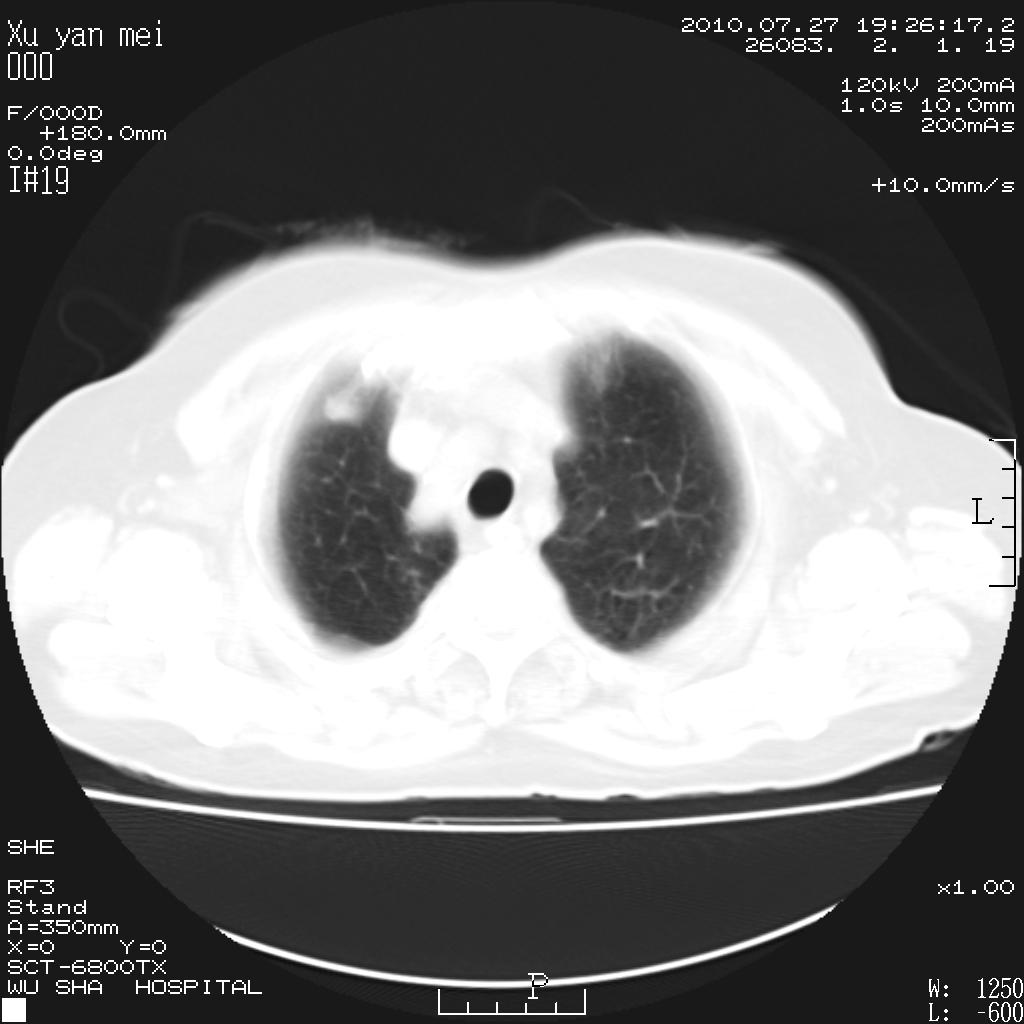
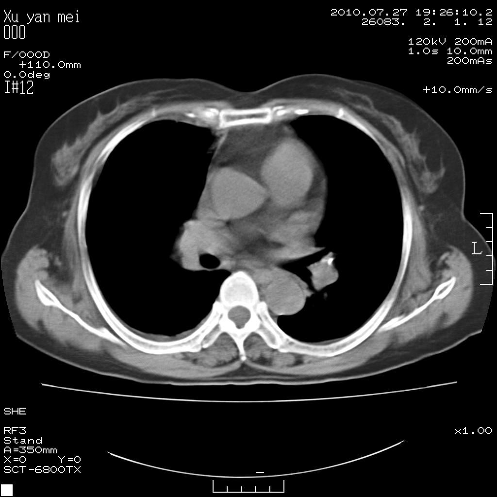
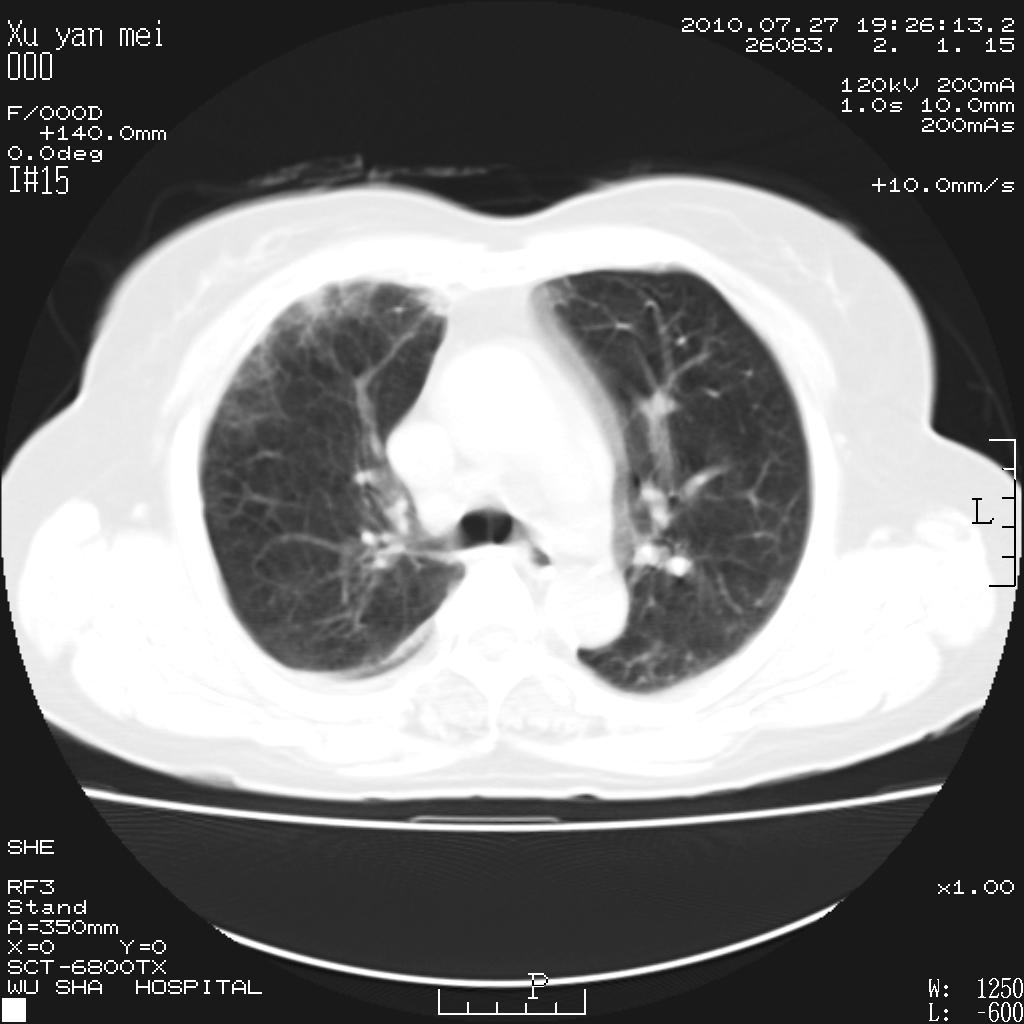
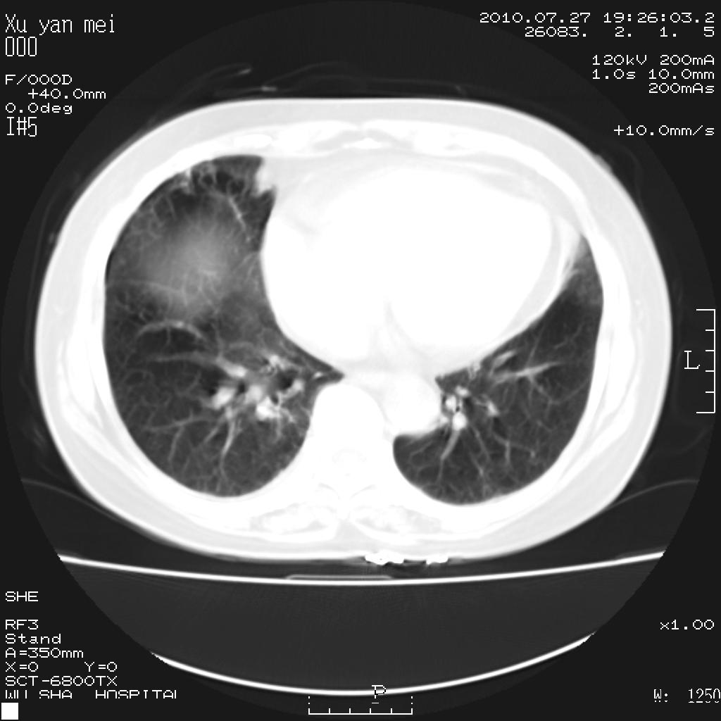
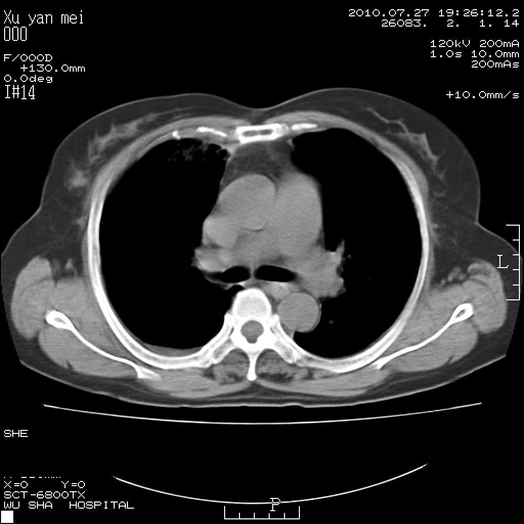
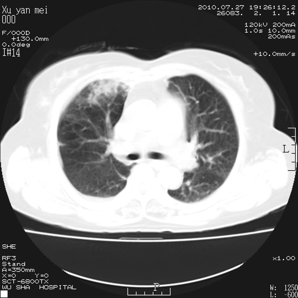
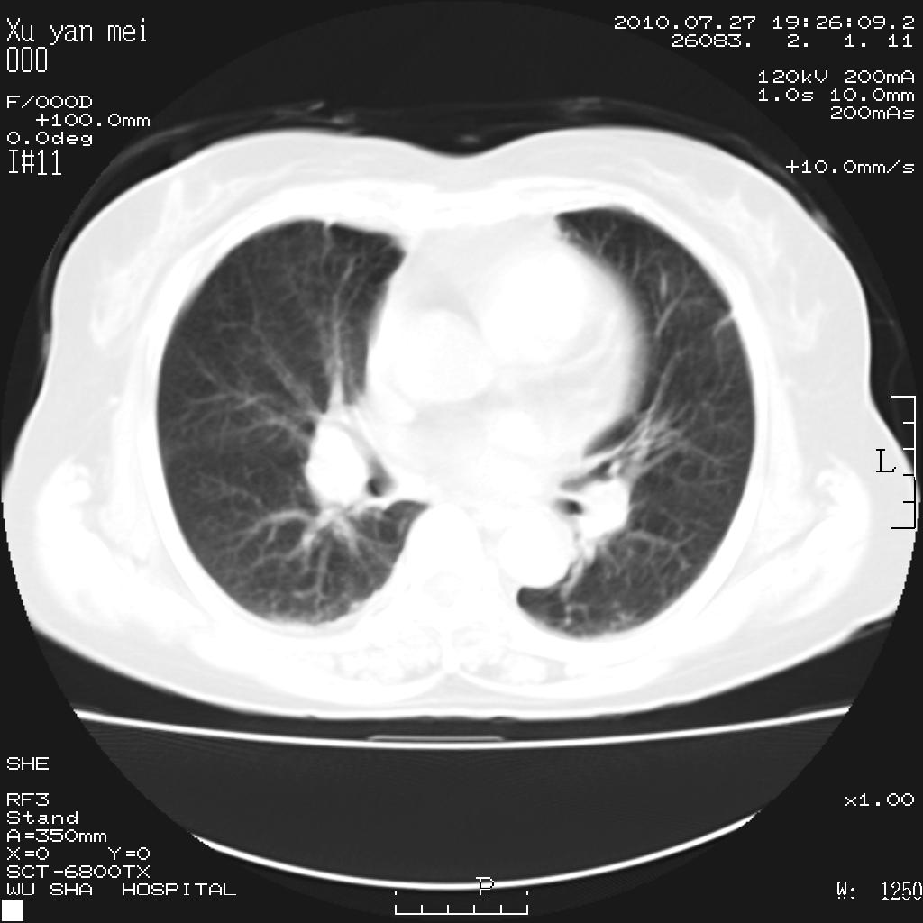
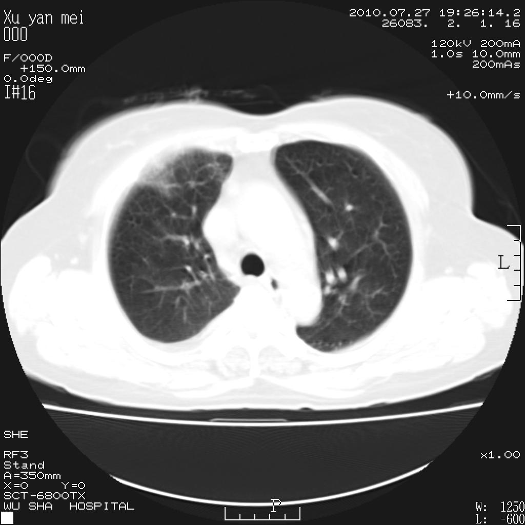
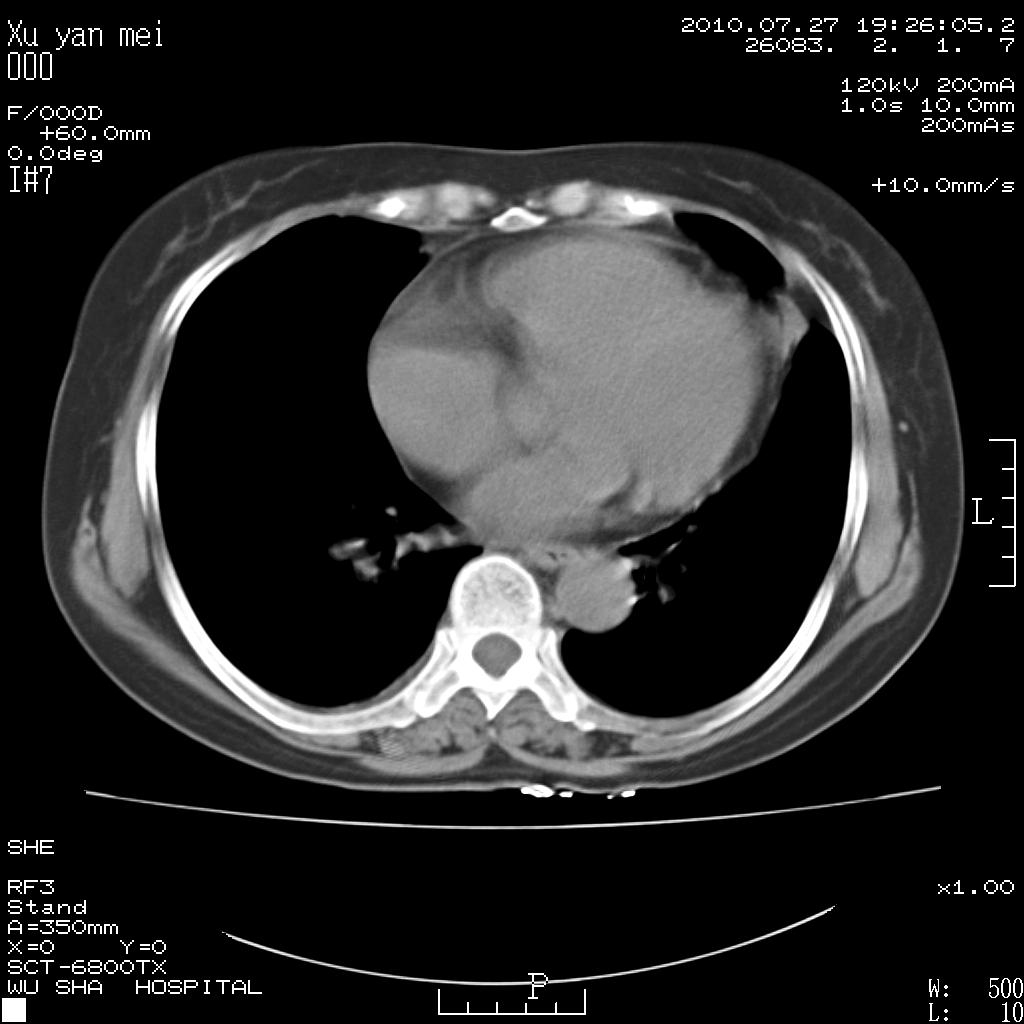
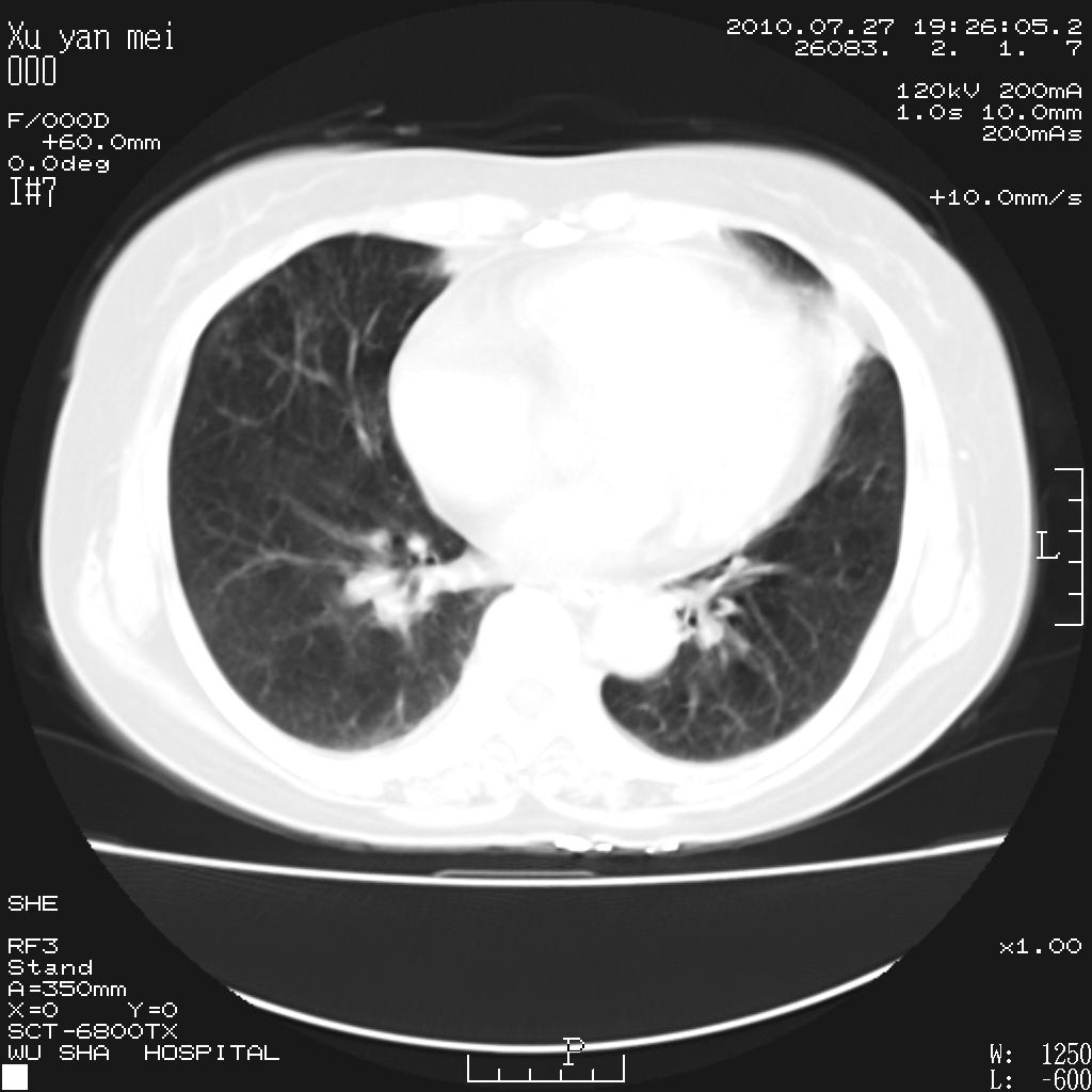
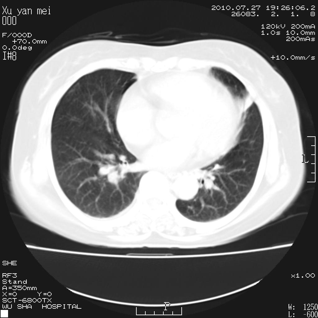
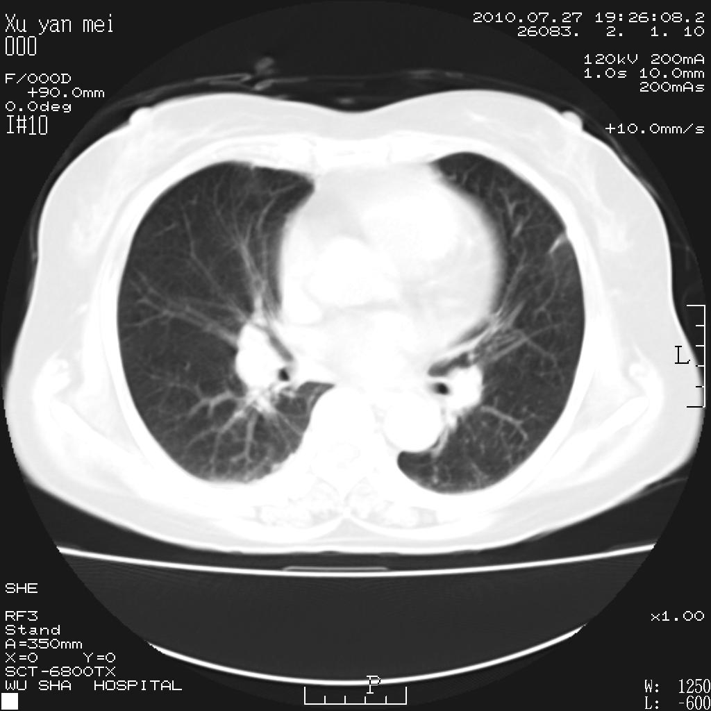
女,60岁,胸痛就诊,右肺结核?炎症?其它?(胸片右侧中上肺野确实看不到什么啊)




























[本贴已被 jiajie 于 2010-7-28 18:20:32 修改过]

作者: liaizhi    时间: 2010-7-28 06:26
考虑右侧胸膜炎,右侧炎症。
作者: 随光逐影    时间: 2010-7-28 06:33
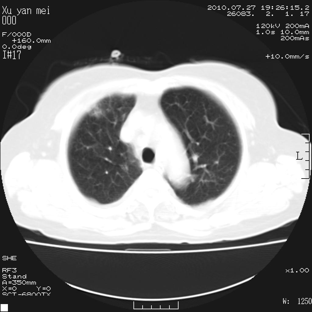
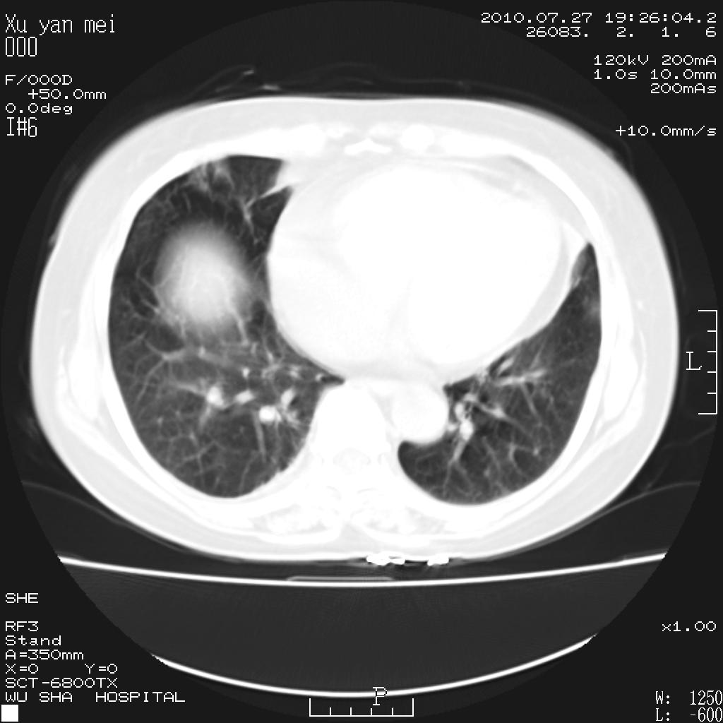
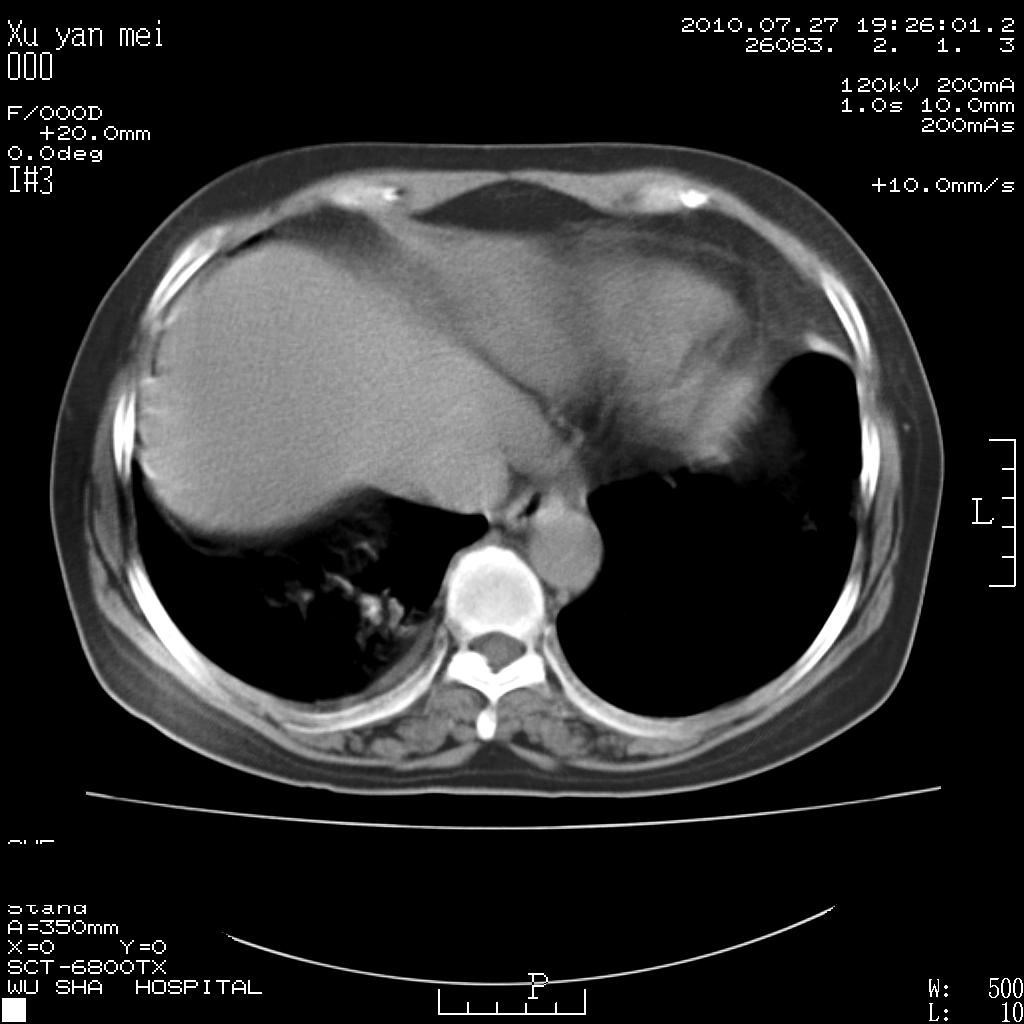
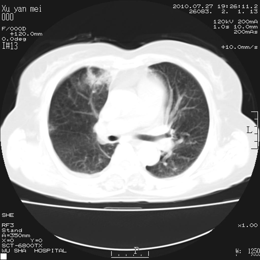
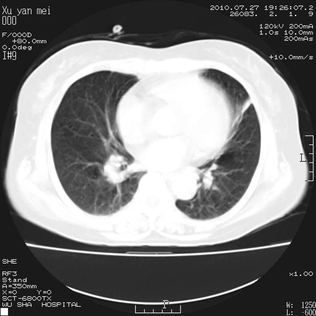
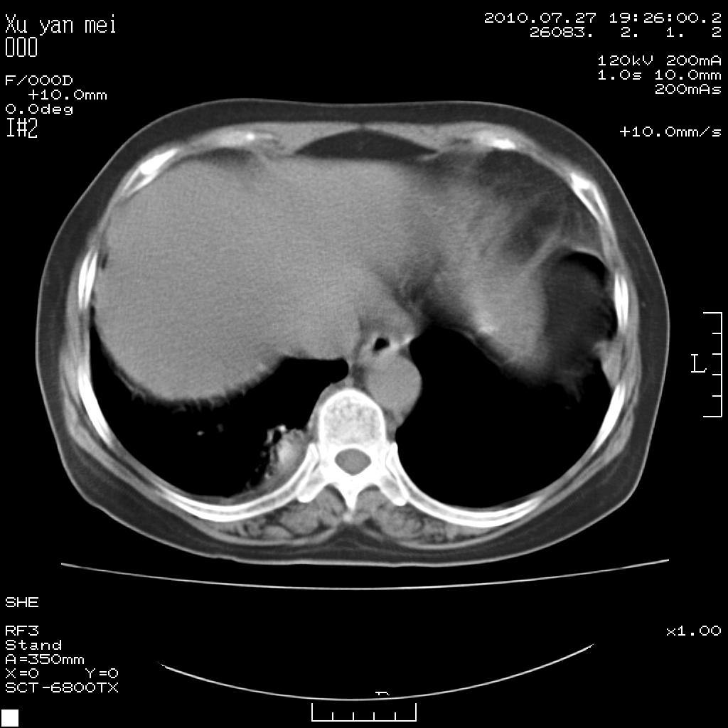
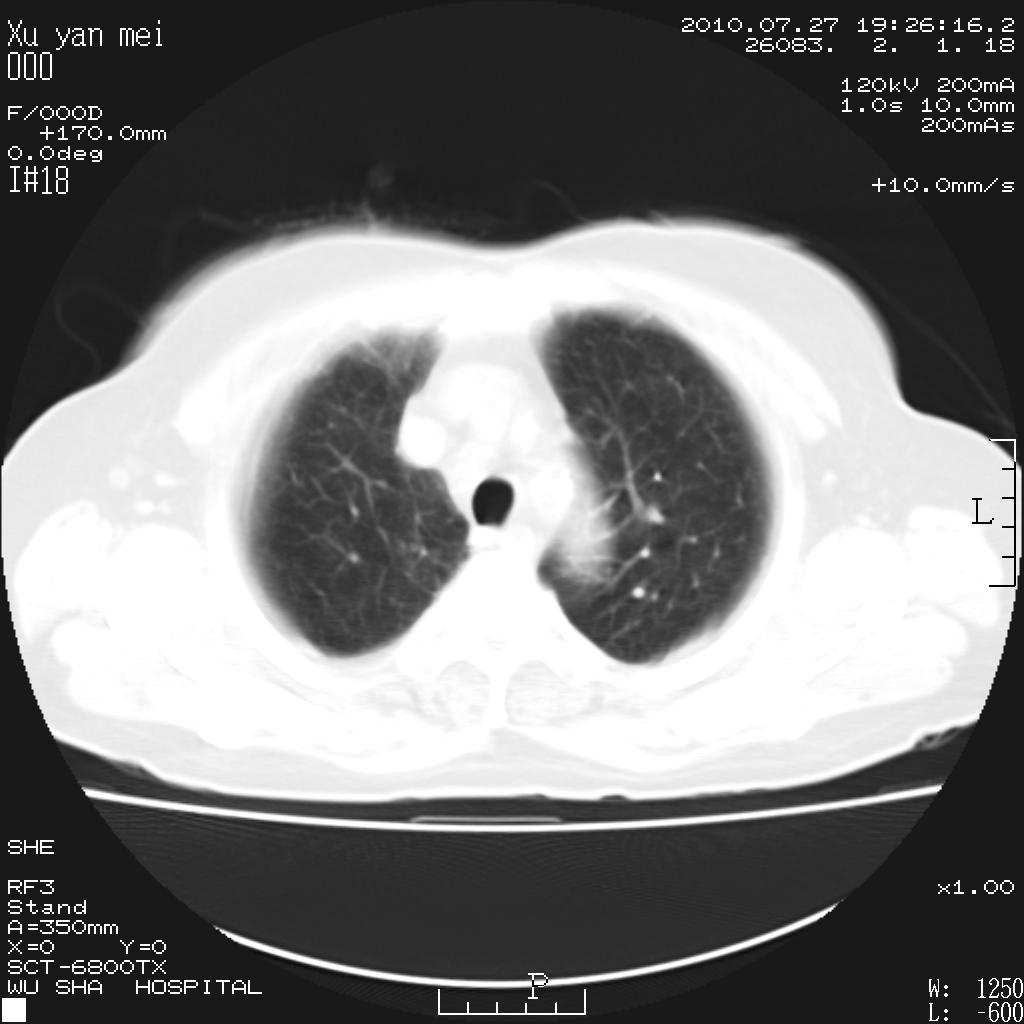
1)考虑两肺感染性病变;建议抗炎治疗后复查。2)双侧少量胸腔积液。
作者: panyishengct    时间: 2010-7-28 06:36
1)考虑两肺感染性病变;建议抗炎治疗后复查。2)右侧少量胸腔积液。
作者: caobaoguo    时间: 2010-7-28 06:37
右侧少量胸腔积液,段性肺炎。
作者: 蓬莱客    时间: 2010-7-28 06:38
肺内炎症
作者: 卜一    时间: 2010-7-28 06:52
1)考虑两肺感染性病变;建议抗炎治疗后复查。2)右侧少量胸腔积液。
作者: jsdtd    时间: 2010-7-28 14:42
1)考虑两肺感染性病变;建议抗炎治疗后复查。2)右侧少量胸腔积液。
作者: 施明    时间: 2010-7-28 14:51
多发炎症
作者: ziyoufeixiang    时间: 2010-7-28 15:31
1)考虑两肺感染性病变;建议抗炎治疗后复查。2)右侧少量胸腔积液。
作者: DDN    时间: 2010-7-28 15:46
1)考虑两肺感染性病变;建议抗炎治疗后复查。2)右侧少量胸腔积液。  支持!
作者: 王显瑞    时间: 2010-7-28 16:12
1)考虑两肺感染性病变;建议抗炎治疗后复查。2)右侧少量胸腔积液。
作者: 同    时间: 2010-7-28 16:39
标题: 回复:胸片容易漏诊啊
以下是引用panyishengct在2010-7-27 22:36:00的发言:[br]1)考虑两肺感染性病变;建议抗炎治疗后复查。2)右侧少量胸腔积液。

作者: 巩宁    时间: 2010-7-28 17:10
考虑两肺感染性病变;建议抗炎治疗后复查。2)右侧少量胸腔积液。
作者: 深泽交通    时间: 2010-7-28 18:06
渗出性 炎性或tb【esr]
作者: 王国学    时间: 2010-7-28 18:35
1)考虑两肺感染性病变;建议抗炎治疗后复查。2)右侧少量胸腔积液。
作者: zxl51642    时间: 2010-7-28 18:45
1)考虑两肺感染性病变;建议抗炎治疗后复查。2)右侧少量胸腔积液。
作者: 学无崖    时间: 2010-7-28 20:02
1)考虑两肺感染性病变;建议抗炎治疗后复查。2)右侧少量胸腔积液。
作者: 秋儿    时间: 2010-7-29 01:12
双肺炎症可能性大,建议抗炎后复查。右侧胸腔少量积液。双侧胸膜轻度增厚。
作者: zsl6918    时间: 2010-7-29 05:47
抗炎治疗复查
作者: LIAOQIANG    时间: 2010-7-29 20:58
考虑两肺感染性病变;不除外肺栓;建议抗炎治疗后复查。
作者: panyishengct    时间: 2010-8-3 05:57
1)考虑两肺感染性病变;建议抗炎治疗后复查。2)双侧少量胸腔积液。




欢迎光临 医影在线 (http://bbs.radida.com/bbs/) Powered by Discuz! X3.2