医影在线

标题: CT27993:男 83岁 头晕伴双下肢无力一天 [打印本页]

作者: lijinglei    时间: 2010-7-28 18:52
标题: CT27993:男 83岁 头晕伴双下肢无力一天

















[本贴已被 jiajie 于 2010-7-28 18:26:09 修改过]

作者: DDN    时间: 2010-7-28 19:15
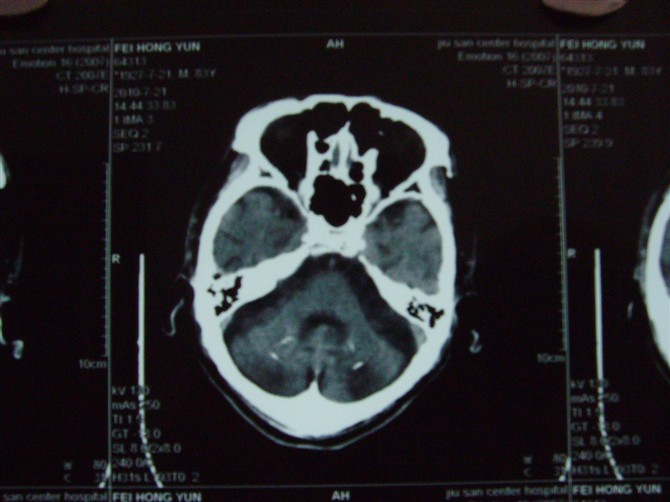
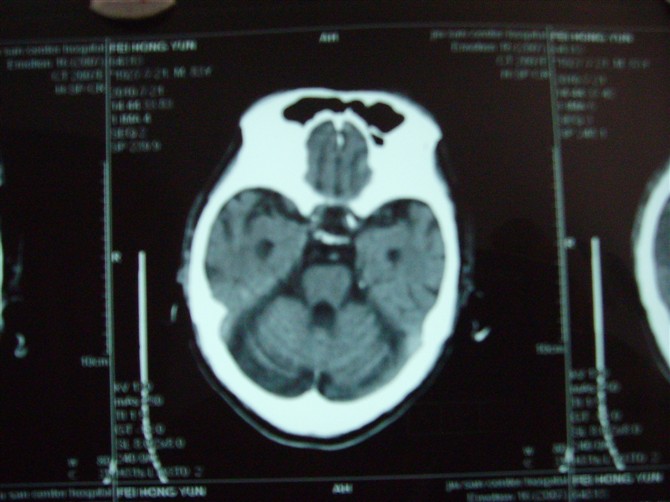
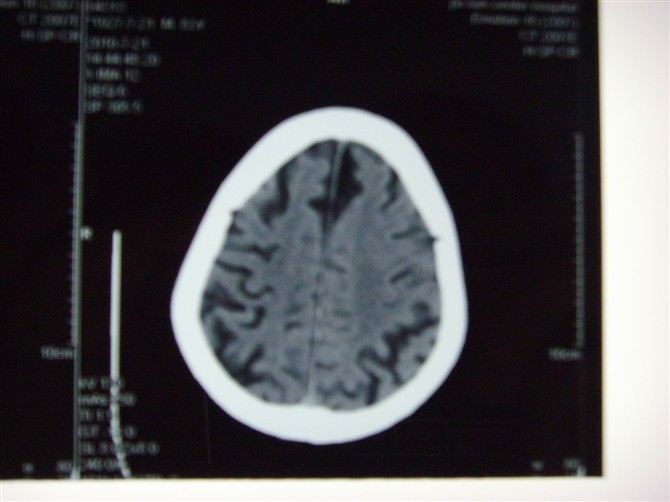
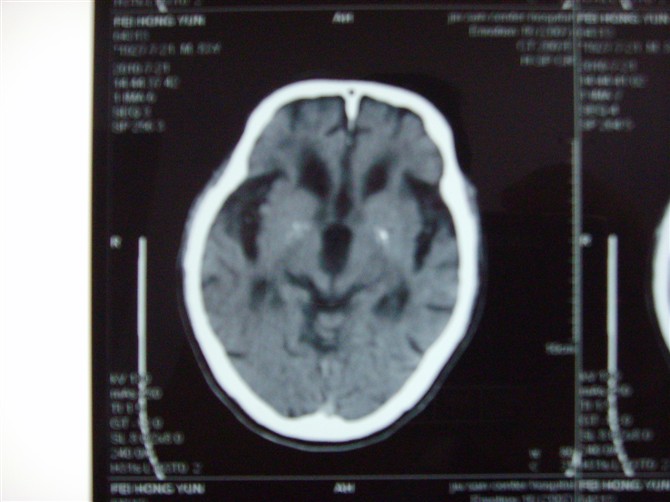
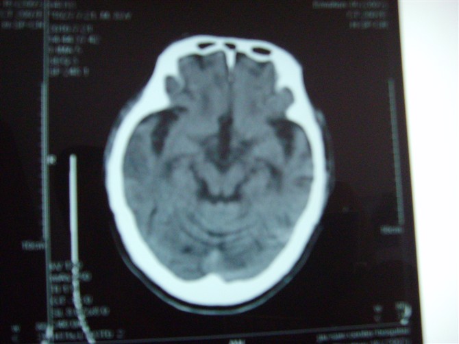
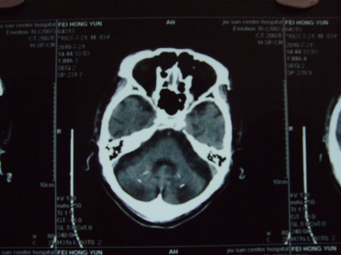
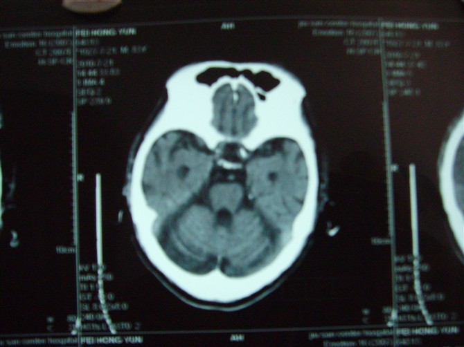
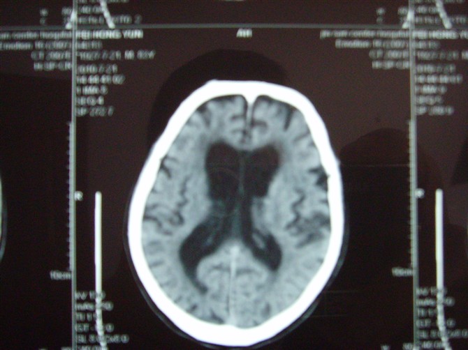
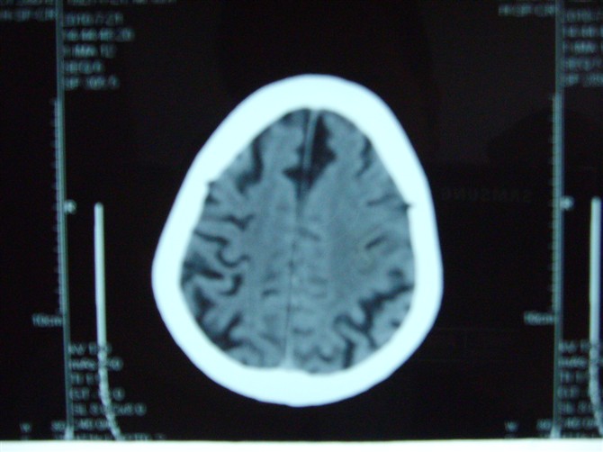
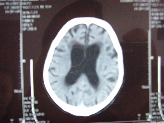
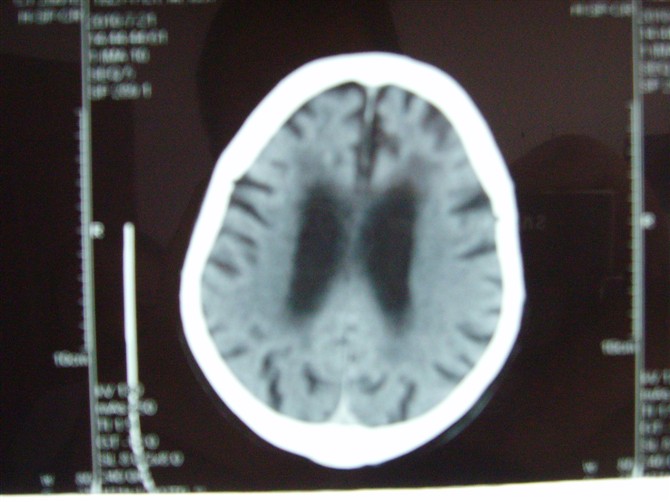
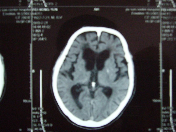
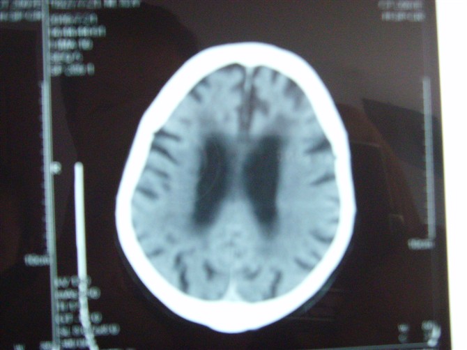
脑萎缩。伴小脑齿状核、苍白球钙化。必要是mri进一步检查。
作者: zxl51642    时间: 2010-7-28 19:20
脑白质疏松症,脑萎缩,复查
作者: 学无崖    时间: 2010-7-28 20:44
脑萎缩
作者: shihai    时间: 2010-7-29 00:28
标题: 回复:男 83岁 头晕伴双下肢无力一天
以下是引用学无崖在2010-7-28 12:44:00的发言:[br]脑萎缩

作者: 王国学    时间: 2010-7-29 01:37
脑萎缩。伴小脑齿状核、苍白球钙化.脑白质脱髓鞘病变
作者: dongjingmou    时间: 2010-7-29 03:36
脑白质变性、脑萎缩。甲状旁腺功能减退。
作者: 卜一    时间: 2010-7-29 03:42
脑白质疏松症,脑萎缩!
作者: zsl6918    时间: 2010-7-29 05:36
老年脑改变
作者: LIAOQIANG    时间: 2010-7-29 20:40
脑萎缩,脑白质疏松症。
作者: 随光逐影    时间: 2010-7-30 03:20
1)双侧小脑半球脑软化灶。2)全脑萎缩。3)脑白质病。




欢迎光临 医影在线 (http://bbs.radida.com/bbs/) Powered by Discuz! X3.2