医影在线
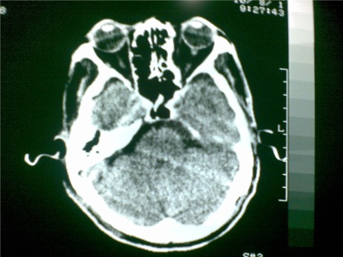
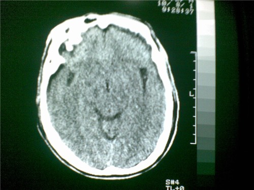
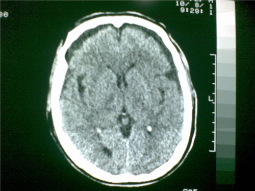
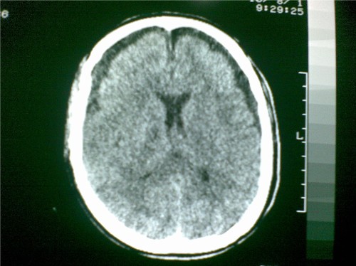
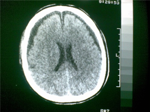
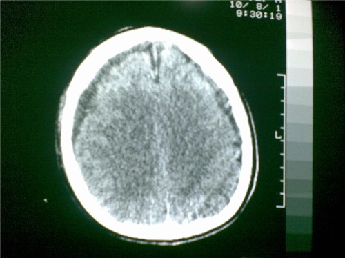
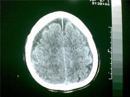
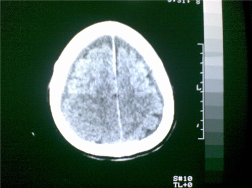
标题: CT28096:男,75岁,外伤10天后,现在恶心、呕吐。是硬膜下积 [打印本页]
作者: znxyyctyy 时间: 2010-8-1 18:38
标题: CT28096:男,75岁,外伤10天后,现在恶心、呕吐。是硬膜下积









[本贴已被 jiajie 于 2010-8-1 15:26:29 修改过]
作者: 杀毒软件 时间: 2010-8-1 18:44
标题: 1
硬膜下积液、右侧基底节、左侧放射冠腔梗。
[本贴已被 杀毒软件 于 2010-8-1 10:48:42 修改过]
作者: jsdtd 时间: 2010-8-1 18:51
硬膜下积液、多发性腔梗。
作者: 红玉 时间: 2010-8-1 20:35
支持硬膜下积液!
作者: 联众之王 时间: 2010-8-1 21:35
支持硬膜下积液!
作者: dynzl859 时间: 2010-8-1 21:54
支持硬膜下积液!
作者: 蓬莱客 时间: 2010-8-1 22:44
支持硬膜下积液!
作者: 科室第一人 时间: 2010-8-1 23:22
支持
作者: 王国学 时间: 2010-8-1 23:23
支持硬膜下积液!
作者: linyiming 时间: 2010-8-1 23:23
硬膜下积液、右侧基底节、左侧放射冠腔梗
作者: zsl6918 时间: 2010-8-2 00:16
硬膜下积液
作者: shihai 时间: 2010-8-2 00:43
支持硬膜下积液。
作者: 随光逐影 时间: 2010-8-2 00:54
1)双侧额颞顶部硬膜下积液;建议必要时复查。2)多发性腔隙性脑梗塞。
作者: 施明 时间: 2010-8-2 02:24
积液
作者: 地球上的 时间: 2010-8-2 05:29
支持硬膜下积液!
作者: xiongneo 时间: 2010-8-2 07:05
硬膜下积液、右侧基底节、左侧放射冠腔梗。
作者: 小小医 时间: 2010-8-2 17:55
支持硬膜下积液。
| 欢迎光临 医影在线 (http://bbs.radida.com/bbs/) |
Powered by Discuz! X3.2 |